「歯医者さんが苦手」な、あなたへ
アロマ香る完全個室で、エステのように癒されるホワイトニング体験を
デンタルサロンFuuに関して
デンタルサロンFuuは、ごとう歯科・矯正歯科クリニック内に令和6年8月26日OPENしました。
エステサロンや美容室とは異なり、『歯医者さんは怖い、緊張する』といったイメージをお持ちの方が多いのではないでしょうか。
当サロンでは、そんな歯科に対する苦手意識をお持ちの方でも、安心して気持ち良く施術をお受けいただけるよう、歯科院併設のサロンとしてオープンいたしました。
サロン名の『Fuu』には、安心してご来院いただき、思わず『フ〜ッ』と一息付けるような、そんなリラックス空間を提供したいという想いが込められています。
アロマ香る完全個室で、周囲を気にせずゆっくりとした時間をお過ごしいただけます。
施術に使用する薬剤は、香りや成分にもこだわり、安心・安全なものだけを厳選しています。
『気持ちよかった』『ほっとした』『安心する』ーー
そんなお声のあとに自然と出る『フ〜ッ』という安堵の吐息。
それこそが、私たちの目指すサロンの姿であり、サロン名の由来でもあります。
サロンメニューでは、プロフェッショナルクリーニングやホワイトニングをご用意しておりますが、ただ白くするのではなく『歯質を強化しながら美しく整える』ことにこだわって施術をしております。
カウンセリングのお時間も十分に確保しておりますので、歯に関するお悩みや不安がある方もぜひお気軽にご相談ください。
お一人おひとりに寄り添い、丁寧にサポートしながら施術を進めてまいります。
皆さまのご来院を心よりお待ちしております。
ボーテ式ホワイトニングの特徴
1.歯を強くしながら、白くできる画期的なホワイトニング
ボーテ式ホワイトニングは、歯を白くするだけでなく、同時に歯を強くできるのが大きな特徴です。特別なアパタイトペーストを使用することで、歯のエナメル質を再石灰化し、虫歯になりにくい健康な歯へと導きます。
2.研修を受けたプロフェッショナルによる安心の施術
ホワイトニング専門クリニック「ホワイトニングサロンBeaute」で徹底した研修を受け、合格した歯科医師や歯科衛生士のみが施術を担当します。国家資格を持つプロフェッショナルが、高い技術力とおもてなしの心で、全国の導入歯科医院で質の高いホワイトニングを提供します。
3.歯科医院で行う、結果にこだわる本物のホワイトニング
ボーテ式ホワイトニングは、セルフホワイトニングやエステサロンとは異なり、専門的な研修を受けた歯科医院でのみ受けられる「本物のホワイトニング」です。高品質なサービスでありながら、従来のホワイトニングに比べてリーズナブルな料金設定で、どなたでも気軽に通っていただけます。
4.施術後の飲食制限が不要!
「ホワイトニング後はコーヒーや紅茶を控えるべき」という話を聞いたことがあるかもしれません。しかし、ボーテ式ホワイトニングなら心配無用です!施術後にアパタイト配合ペーストで歯の表面をコーティングするため、着色しにくくなります。これにより、施術直後からコーヒーや紅茶なども気にせずお楽しみいただけます。
ホワイトニングの種類
①オフィスホワイトニング
院内で歯にホワイトニングのお薬を塗布しLEDライトを照射して短時間で歯の黄ばみを白くするホワイトニング法です。
80時間以上ホワイトニングの研修を受けた、国家資格者である歯科衛生士が施術を行う安全なホワイトニングです。
特徴
- 研修を受けたプロフェッショナルが施術
- リラックスできる空間で寝ている間に終わる
- 即効性がある
デメリット
- 色戻りしやすい
- 通院回数が必要
②ホームホワイトニング
オーダーメイドのマウスピースを使って自宅でホワイトニングをする方法です。
マウスピースにホワイトニングの薬剤を入れて1日1回30分~2時間装着していただきます。
特徴
- 歯の内部の黄ばみまで白く
- 後戻りしにくい
- 食事以外いつでもどこでもできる
デメリット
- 時間がかかる
③デュアルホワイトニング
オフィスとホームを併用した方法。
最短で目標の色へ到達しやすく、色持ちがいいのが特徴。
特徴
- 最短で目標の色へ到達しやすい
- 色持ちがよく効果が持続しやすい・専門スタッフの管理のもと行うことができる
デメリット
- 費用がかかる
ホワイトニング比較表
| ホームホワイトニング | オフィスホワイトニング | デュアルホワイトニング | |
|---|---|---|---|
| 即効性 | ホームホワイトニング ★☆☆☆☆ |
オフィスホワイトニング ★★★★☆ |
デュアルホワイトニング ★★★★★ |
| 持続力 | ホームホワイトニング ★★★★☆ |
オフィスホワイトニング ★★★☆☆ |
デュアルホワイトニング ★★★★★ |
| 効果実感 | ホームホワイトニング 〇(徐々に白く) |
オフィスホワイトニング ◎(1回でも実感) |
デュアルホワイトニング ◎(即効+定着) |
治療の流れ
ホームホワイトニング
①カウンセリング
専門の歯科衛生士がホワイトニングについての説明と、現在の歯のお色と目標となるお色に関して丁寧にご説明します。
②オーダーメイドのマウスピースを作成
歯の型とりをおこない、マウスピースの作成のプロである歯科技工士によりオーダーメイドのマウスピースを作成します。型取りが苦手な方は、口腔内をスキャンすることも可能です。ご相談ください。
③ホワイトニング方法とマウスピースの取り扱いの説明
専門の歯科衛生士から、ホームホワイトニングの方法とマウスピースの取り扱いに関して説明しホワイトニングセットをお渡しします。
④ホームホワイトニングスタート!
オーダーメイドのマウスピースにご自身でホワイトニングの薬剤を注入し、1日1回、食事以外のお好きなお時間に30分~2時間ホームホワイトニングをおこなっていただきます。
⑤シェードチェック
口腔内写真を見ながら、元の歯の色からどのくらい色が上がったか一緒に確認をして目標のお色までサポートいたします。
何かご不安なことがあってもしっかりサポートいたします!
オフィスホワイトニング
①カウンセリング
専門の歯科衛生士がホワイトニングについての説明と、現在の歯のお色と目標となるお色に関して丁寧にご説明します。
②歯のクリーニング
ホワイトニングの薬剤を浸透させやすくするために歯の表面の細菌の膜を落としていきます。
③リップセラム塗布
唇の乾燥を防ぐためオーガニックのリップセラムを塗布します。
④ホワイトニング剤塗布
歯の表面にホワイトニングの専用の薬剤を塗布していきます。
⑤LEDライト照射
専用のLEDライトを当てていきます。
⑥コーティング
LED照射後、歯の表面をコーティングするためアパタイト配合のペーストを塗布していきます。
⑦シェードチェック
口腔内写真を見ながら、元の歯の色からどのくらい色が上がったか一緒に確認をして目標のお色までサポートいたします。
何かご不安なことがあってもしっかりサポートいたします!
料金表
Whitening Menu
| 項目 | 内容 | 説明 | 価格(税込) |
|---|---|---|---|
| オフィスホワイトニング | 基本16本を8分×3回照射 | 痛みがない、歯に安全なホワイトニングです。エステ感覚で施術を受けられ、回数を重ねるごとに白さを実感できます。 | 60分 15,400円 |
| スペシャルホワイトニング | 基本16本を15分×3回照射 | 最大限に歯を白くしたい方、イベントなどでお急ぎの方におすすめのホワイトニングです。 | 90分 31,900円 |
| オフィスホワイトニング回数券 | 各回数分のオフィスホワイトニング | 定期的にオフィスホワイトニングを受けたい方向けのお得な回数券です。有効期限は4回券・6回券が2年、12回券が4年です。 | 4回券 57,200円 (1回あたり14,300円) 6回券 82,500円 (1回あたり13,750円) 12回券 158,400円 (1回あたり13,200円) |
| ホームホワイトニングスターターセット | マウストレー上下、付属品、ホームジェル約5日分×2本、NBベリーホワイト、NBトゥースペースト | ご自宅で手軽に行えるホワイトニングです。歯の深部の黄ばみを取り除き、白さの継続が可能です。 | 31,900円 |
| マウスピース製作料 | マウスピース(片顎分) | ホームホワイトニングに必要なマウスピースを製作します。 | 片顎 5,500円 |
| ホームジェル追加分 | ホームジェル2本 | ホームホワイトニング用のジェルです。濃度は10%と16%から選択できます。 | 2本/10日分 7,700円 |
Course Menu
| 項目 | 内容 | 説明 | 価格(税込) |
|---|---|---|---|
| トライアルプラン | オフィスホワイトニング2回、プロフェッショナルクリーニング(スタンダードケア)1回、マウスピーストレー上下・付属品、ホームジェル5日分×6本、NBベリーホワイト1本、NBトゥースペースト1本 | ホワイトニングを試してみたい方におすすめの1ヶ月間のプランです。有効期限は半年間です。 | 1ヶ月分 77,200円 (13,000円OFF) |
| ナチュラル美白プラン | オフィスホワイトニング4回、プロフェッショナルクリーニング(スタンダードケア)1回、マウスピーストレー上下・付属品、ホームジェル5日分×12本、NBベリーホワイト1本、NBトゥースペースト1本 | 自然な白さを目指したい方向けの2ヶ月間のプランです。有効期限は半年間です。 | 2ヶ月分 124,100円 (20,000円OFF) |
| パーフェクト美白プラン | オフィスホワイトニング6回、プロフェッショナルクリーニング(スタンダードケア)1回、マウスピーストレー上下・付属品、ホームジェル5日分×18本、NBベリーホワイト1本、NBトゥースペースト1本 | 徹底的に歯を白くしたい方向けの3ヶ月間のプランです。有効期限は半年間です。 | 3ヶ月分 168,300円 (29,700円OFF) |
| プラチナ美白プラン | オフィスホワイトニング9回、プロフェッショナルクリーニング(スタンダードケア)4回分、マウスピーストレー上下・付属品、ホームジェル5日分×18本、NBベリーホワイト1本、NBトゥースペースト1本 | 長期間にわたり最高の白さを維持したい方向けのプランです。有効期限は2年間です。 | 238,500円 (42,000円OFF) |
Cleaning Menu
| 項目 | 内容 | 説明 | 価格(税込) |
|---|---|---|---|
| プロフェッショナルクリーニング | 歯と歯の間のそうじ、歯石とり、茶渋やにとり、バイオフィルム除去、トリートメント、歯茎マッサージ、口臭予防、フッ素塗布 | 歯の健康と美しさを保つための総合的なクリーニングです。 | 各クイックケア、スタンダードケア、スペシャルケアの料金をご参照ください。 |
| クイックケア | 前歯上下12本の見える範囲のみ施術 | お急ぎの方で、部分的な汚れが気になる方におすすめの短時間クリーニングです。 (歯茎マッサージは含まれません) |
30分 6,600円 |
| スタンダードケア | 自宅では取りきれないバイオフィルム除去 | 虫歯予防や歯周病予防のため、ご自宅では難しいバイオフィルム除去を行います。汚れの程度により回数を分けさせていただく場合がございます。 | 60分 12,100円 |
| スペシャルケア | 着色汚れ・歯石の徹底除去 | 着色汚れや歯石が多い方、一度でクリーニングを終わらせたい方、お口の大掃除をしたい方におすすめのクリーニングです。 | 90分 17,600円 |
| プロフェッショナルクリーニング回数券 | 各回数分のプロフェッショナルクリーニング | 定期的にプロフェッショナルクリーニングを受けたい方向けのお得な回数券です。有効期限は4回券・6回券が2年、12回券が4年です。 | 4回券 44,000円 (1回あたり11,000円) 6回券 61,500円 (1回あたり10,250円) 12回券 116,100円 (1回あたり9,675円) |
ホワイトニングQ&A
Q. ホワイトニングをして痛みはないですか?
A. 基本的に痛みはございません。
ただ、お水でうがいをされて知覚過敏が出るような方であれば、一時的にしみる可能性はあります。その際の対処法もご用意しておりますのでご安心ください。
Q. いままでホワイトニングをして痛くてやめてしまったことがあるのですが…。
A. 当院では日本全国でも数少ないホワイトニングシステムを導入しております。このホワイトニングは歯と歯茎に優しい薬剤を使用しているため、歯茎の保護もいらず、痛みが出ることもほとんどありません。
Q. 歯がもろくなったり、歯に害はないですか?
A. ホワイトニングをすることで歯がもろくなったり、害がでることはございませんのでご安心ください。
ホワイトニング自体は、30年以上前から様々な研究・発表により安全性が確立されております。ジェルの成分は「過酸化水素または過酸化尿素」で、体やお口の消毒にも使用されているものです。FDA(アメリカ食品医薬品局)でも安全性が保証されており、その他の成分も食品添加物や化粧品として許可を得たものを使用しています。
また、ホワイトニングはコーラを飲むよりも安全と言われています。(ホワイトニングは中世、コーラは酸性なので歯が溶ける)
神奈川歯科大学保存修復科のデータでは、ホワイトニング後、より積極的に再石灰化が促進されることも発表されています。
Q. 1回のホワイトニングで白くなりますか?
A. 1回でもご自身でもトーンが上がったとご実感していただけます。
ですが、その方の歯の黄ばみの原因や色の段階によって、必要な回数が異なってきますので、お口の中を見せていただけますと正確にお答えできます。
Q. 1回のホワイトニングで理想的な白さ(A3→B1以上)にしたいのですが?
A. 強いお薬を使えば1回で白くはなりますが、強いお薬を使いますので激しい痛みがでてしまいます。また、すぐに色戻りしたり、歯の表面が乾燥しすぎて歯の汚れが逆につきやすくなったりします。
ですので、当院ではあえて何回かに分けて、歯に負担のない方法でホワイトニングしていただけるように配慮しております。
Q. 1回のホワイトニングで白さはどれくらい持ちますか?
A. 個人差がございますが、およそ3ヶ月から10ヶ月くらい白さが持つといわれています。一度集中的に白くした後、専用の歯磨き粉などを使って白さをより維持させる方法もございますのでご安心ください。
Q. コーヒーやタバコはやめないといけませんか?
A. 当院のホワイトニングでは、飲食制限がございませんので、コーヒーや煙草などをお控えいただかなくても大丈夫です。施術直後でもお好きなものをお召し上がりいただけます。
特に着色が気になる方の場合は、専用の歯磨き粉もございますのでご安心ください。
Q. クリーニングとホワイトニングの違いは何ですか?
A. 煙草のヤニや食品による着色など、歯の表面についている汚れをとりたい場合はクリーニングで対応できますが、本来の歯の色を取り戻すだけですので、もともとの歯の色より白くはなりません。
もともとの歯の色を白くしていきたい場合や、内部にしみこんだ着色や黄ばみを白くしていきたい場合はホワイトニングが必要です。
Q. 妊娠していてもホワイトニングは可能ですか?
A. 妊娠中、授乳中の方は、薬剤を使用するのでお控えいただいております。
Q. 未成年なのですが、ホワイトニングは可能ですか?
A. ホワイトニングをしていただけるのは永久歯が完全に生え揃った16歳以上の方が目安ですが、当院では18歳以上の方を対象としております。
Q. オフィスとホームの違いは何ですか?
A. オフィスホワイトニングは高濃度の薬剤を使用しますので即効性はありますが、色戻りも早いです。逆にホームホワイトニングは低濃度の薬剤でじっくりと白くしていきますので効果が現れるのは遅いですが、色戻りしにくいです。
オフィスとホームを組み合わせるデュアルホワイトニングという方法もございます。これは両方の良いところを合わせた方法ですので、最も白くなり、色戻りしにくいのが特徴です。
Q. ホワイトニングで歯の詰め物も白くなりますか?
A.歯の詰め物やかぶせ物は、ホワイトニングを行っても白くなりません。
詰め物の色が気になられる場合は、ホワイトニングを行った後に詰め物を白さに合わせてやり直すことで、お口全体の色を白くすることができます。
Q. 神経のない歯もホワイトニングで白くなりますか?
A. 神経のない歯は、通常のホワイトニングで白くすることができません。
Q. 矯正治療をしているのですが、ホワイトニングができますか?
A.ブラケットの装置がついている矯正治療中の方は、オフィスホワイトニングができませんが、当院ではブラケット矯正中でもお使いになれるホームホワイトニングのセットをご準備しております。
マウスピース矯正の方や、保定期間中の方はオフィスホワイトニング、ホームホワイトニングどちらも対応しております。
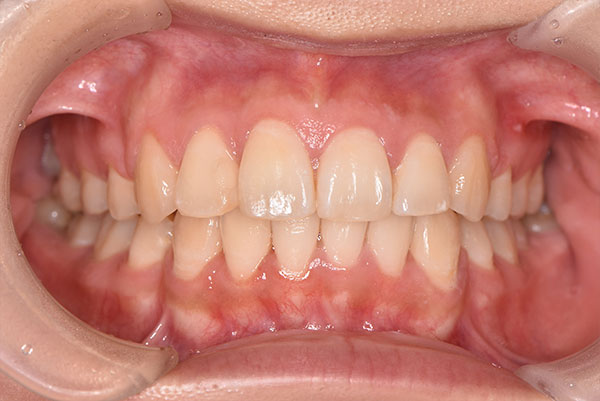
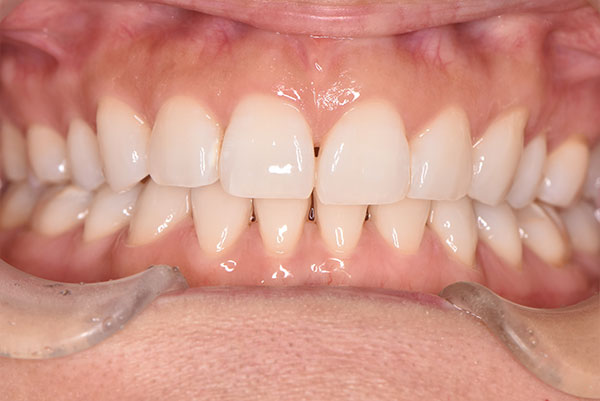
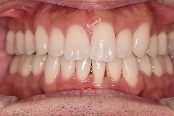
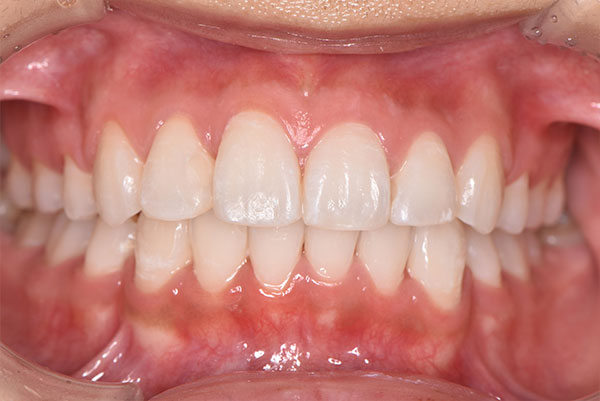
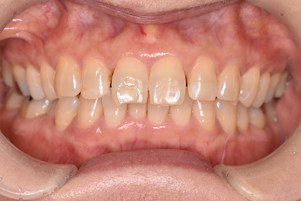
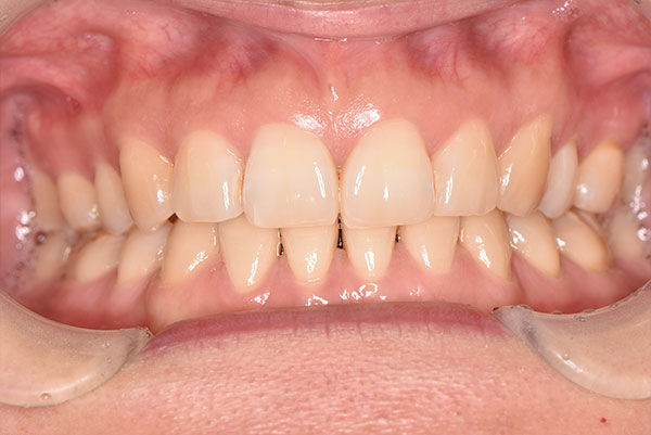
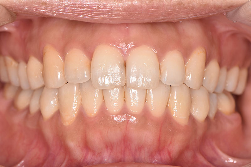
ホワイトニング症例
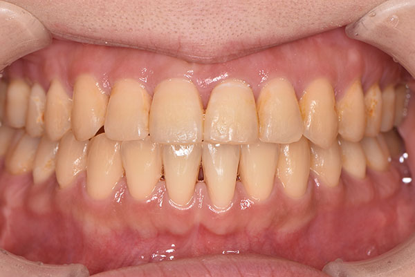
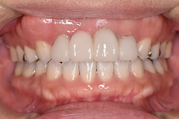
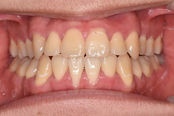
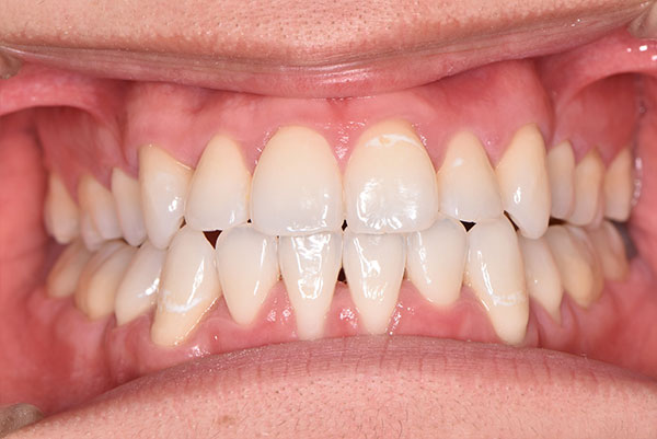
20代女性 パーフェクト美白プラン3ヶ月コース
術前正面
術後正面
| 主訴 | 以前から歯の色は気になっていたが、矯正後特に気になってきた |
|---|---|
| 患者様 | 20代女性 |
| 治療内容 | プロフェッショナルクリーニング オフィスホワイトニング ホームホワイトニング ※オフィスホワイトニングとホームホワイトニングを並行して行うデュアルホワイトニング |
| 治療期間・回数 | プロフェッショナルクリーニング1回 オフィスホワイトニング6回 ホームホワイトニング3ヶ月間 |
| コース内容 | パーフェクト美白プラン3ヶ月コース プロフェッショナルクリーニング1回 オフィスホワイトニング6回 ホームホワイトニング3ヶ月分 マウスピース作成 マウスピース付属品 ベリーホワイト(歯磨剤) NBトゥースペースト(歯磨剤/トリートメント) |
| 費用 | 168,300円-(税込) ※自由診療となります |
| 治療のリスク・副作用 | 知覚過敏様症状、歯茎、舌、口唇、粘膜等に違和感 |
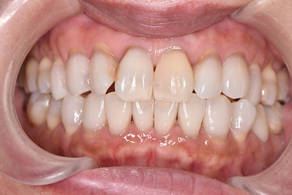
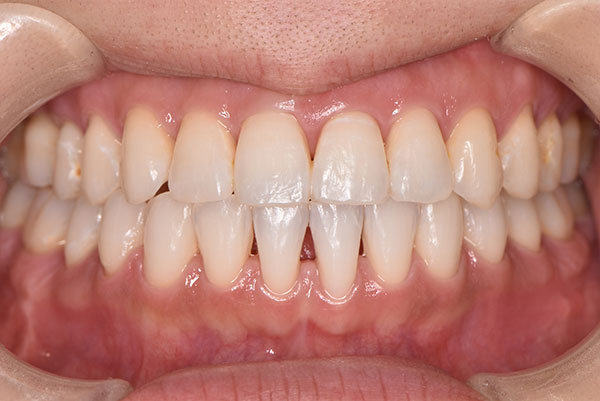
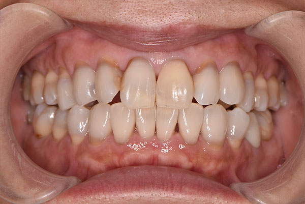
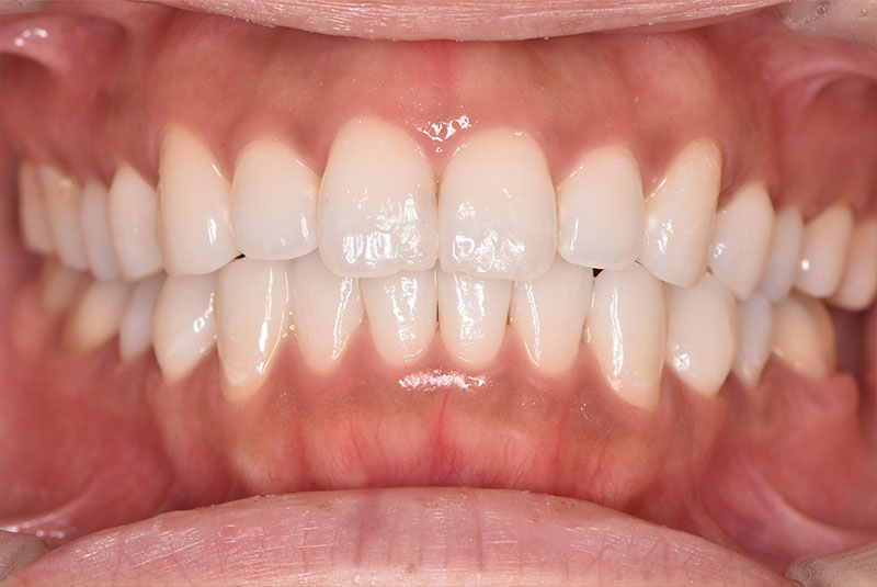
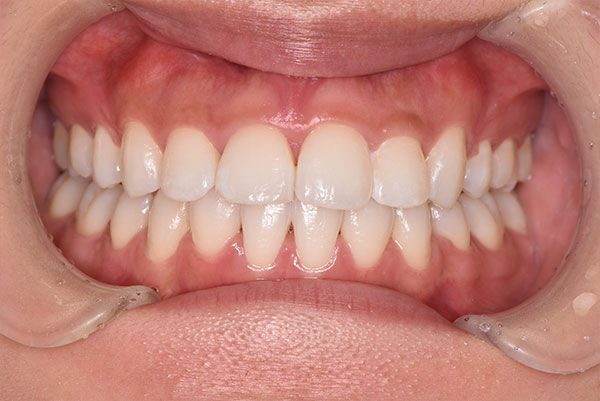
20代女性 パーフェクト美白プラン3ヶ月コース
術前正面
術後正面
| 主訴 | 矯正を始めてから色も気になってきた 不自然でない白さが希望 |
|---|---|
| 患者様 | 20代女性 |
| 治療内容 | プロフェッショナルクリーニング オフィスホワイトニング ホームホワイトニング ※オフィスホワイトニングとホームホワイトニングを並行して行うデュアルホワイトニング |
| 治療期間・回数 | プロフェッショナルクリーニング1回 オフィスホワイトニング6回 ホームホワイトニング3ヶ月間 |
| コース内容 | パーフェクト美白プラン3ヶ月コース プロフェッショナルクリーニング1回 オフィスホワイトニング6回 ホームホワイトニング3ヶ月分 マウスピース作成 マウスピース付属品 ベリーホワイト(歯磨剤) NBトゥースペースト(歯磨剤/トリートメント) |
| 費用 | 168,300円-(税込) ※自由診療となります |
| 治療のリスク・副作用 | 知覚過敏様症状、歯茎、舌、口唇、粘膜等に違和感 |
20代女性 パーフェクト美白プラン3ヶ月コース
術前正面
術後正面
| 主訴 | 矯正治療で装置をつけてから気になり出し、装置を外したらより気になってきた 歯を明るくしたい |
|---|---|
| 患者様 | 20代女性 |
| 治療内容 | プロフェッショナルクリーニング オフィスホワイトニング ホームホワイトニング ※オフィスホワイトニングとホームホワイトニングを並行して行うデュアルホワイトニング |
| 治療期間・回数 | プロフェッショナルクリーニング1回 オフィスホワイトニング6回 ホームホワイトニング3ヶ月間 |
| コース内容 | パーフェクト美白プラン3ヶ月コース プロフェッショナルクリーニング1回 オフィスホワイトニング6回 ホームホワイトニング3ヶ月分 マウスピース作成 マウスピース付属品 ベリーホワイト(歯磨剤) NBトゥースペースト(歯磨剤/トリートメント) |
| 費用 | 168,300円-(税込) ※自由診療となります |
| 治療のリスク・副作用 | 知覚過敏様症状、歯茎、舌、口唇、粘膜等に違和感 |
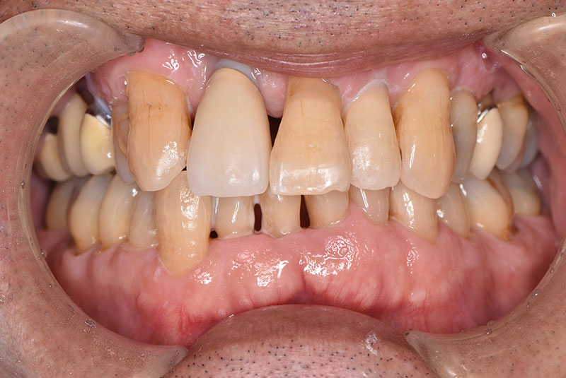
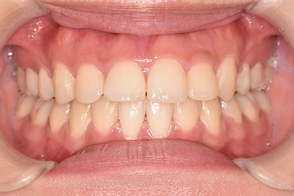
20代男性 パーフェクト美白プラン3ヶ月コース
術前正面
術後正面
| 主訴 | 矯正を始めてから歯の色が気になってきた 結構明るくしたい |
|---|---|
| 患者様 | 20代男性 |
| 治療内容 | プロフェッショナルクリーニング オフィスホワイトニング ホームホワイトニング ※オフィスホワイトニングとホームホワイトニングを並行して行うデュアルホワイトニング |
| 治療期間・回数 | プロフェッショナルクリーニング1回 オフィスホワイトニング6回 ホームホワイトニング3ヶ月間 |
| コース内容 | パーフェクト美白プラン3ヶ月コース プロフェッショナルクリーニング1回 オフィスホワイトニング6回 ホームホワイトニング3ヶ月分 マウスピース作成 マウスピース付属品 ベリーホワイト(歯磨剤) NBトゥースペースト(歯磨剤/トリートメント) |
| 費用 | 168,300円-(税込) ※自由診療となります |
| 治療のリスク・副作用 | 知覚過敏様症状、歯茎、舌、口唇、粘膜等に違和感 |
20代女性 パーフェクト美白プラン3ヶ月コース
術前正面
術後正面
| 主訴 | ここ数年歯の色が気になってきた パッとみて白く、自然な綺麗な歯にしたい |
|---|---|
| 患者様 | 20代女性 |
| 治療内容 | プロフェッショナルクリーニング オフィスホワイトニング ホームホワイトニング ※オフィスホワイトニングとホームホワイトニングを並行して行うデュアルホワイトニング |
| 治療期間・回数 | プロフェッショナルクリーニング1回 オフィスホワイトニング6回 ホームホワイトニング3ヶ月間 |
| コース内容 | パーフェクト美白プラン3ヶ月コース プロフェッショナルクリーニング1回 オフィスホワイトニング6回 ホームホワイトニング3ヶ月分 マウスピース作成 マウスピース付属品 ベリーホワイト(歯磨剤) NBトゥースペースト(歯磨剤/トリートメント) |
| 費用 | 168,300円-(税込) ※自由診療となります |
| 治療のリスク・副作用 | 知覚過敏様症状、歯茎、舌、口唇、粘膜等に違和感 |
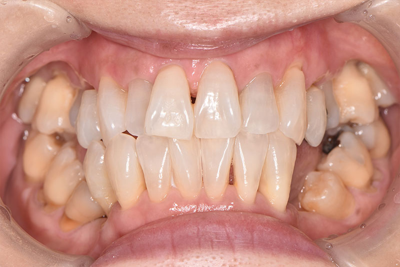
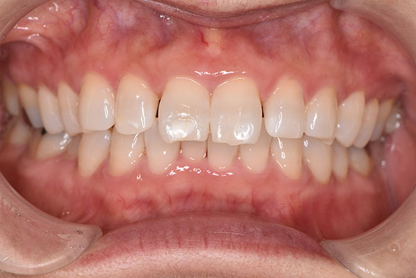
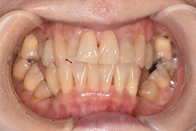
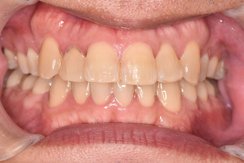
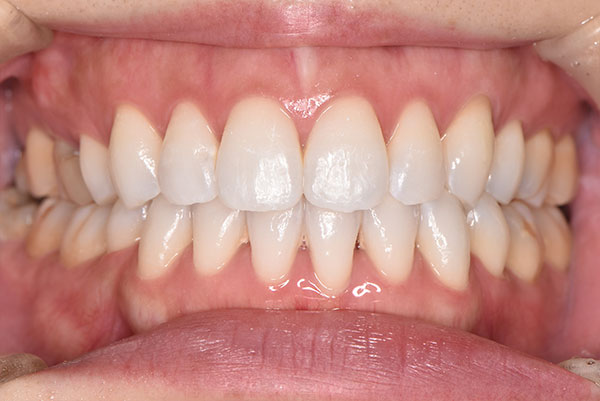
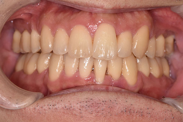
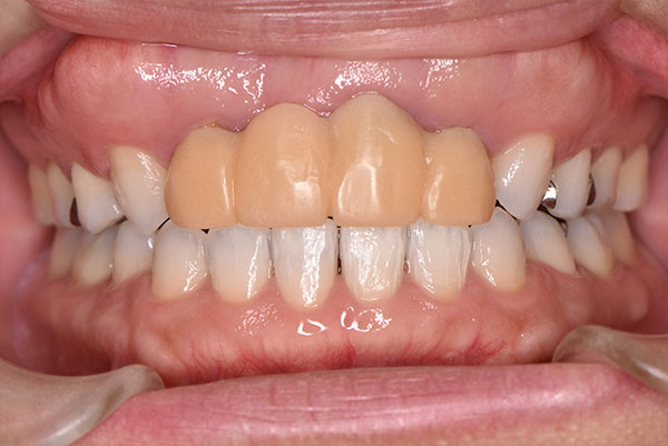
30代女性 ナチュラル美白プラン2ヶ月コース+セラミック治療
ホワイトニング前
ホワイトニング後
補綴SET後
| 主訴 | 以前から歯の色が気になっており、歯科矯正後より気になるようになった 前歯に仮歯が入っているので歯の色を自然な白さにしてから入れ替えたい |
|---|---|
| 患者様 | 30代女性 |
| 治療内容 | プロフェッショナルクリーニング オフィスホワイトニング ホームホワイトニング ※オフィスホワイトニングとホームホワイトニングを並行して行うデュアルホワイトニング セラミック治療 |
| 治療期間・回数 | プロフェッショナルクリーニング1回 オフィスホワイトニング4回 ホームホワイトニング2ヶ月間 |
| コース内容 | ナチュラル美白プラン2ヶ月コース プロフェッショナルクリーニング1回 オフィスホワイトニング4回 ホームホワイトニング2ヶ月分 マウスピース作成 マウスピース付属品 ベリーホワイト(歯磨剤) NBトゥースペースト(歯磨剤/トリートメント) |
| 費用 | ホワイトニング費用:168,300円-(税込) オールセラミックブリッジ費用:476,300円-(税込) ※自由診療となります |
| 治療のリスク・副作用 | 知覚過敏様症状、歯茎、舌、口唇、粘膜等に違和感 |
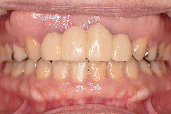
20代女性 パーフェクト美白プラン3ヶ月コース
ホワイトニング前
ホワイトニング後
| 主訴 | 最近歯の色が気になってきた 白くなりすぎず自然な感じの白さになりたい |
|---|---|
| 患者様 | 20代女性 |
| 治療内容 | プロフェッショナルクリーニング オフィスホワイトニング ホームホワイトニング ※オフィスホワイトニングとホームホワイトニングを並行して行うデュアルホワイトニング |
| 治療期間・回数 | プロフェッショナルクリーニング1回 オフィスホワイトニング6回 ホームホワイトニング3ヶ月間 |
| コース内容 | パーフェクト美白プラン3ヶ月コース プロフェッショナルクリーニング1回 オフィスホワイトニング6回 ホームホワイトニング3ヶ月分 マウスピース作成 マウスピース付属品 ベリーホワイト(歯磨剤) NBトゥースペースト(歯磨剤/トリートメント) |
| 費用 | ホワイトニング費用:168,300円-(税込) ※自由診療となります |
| 治療のリスク・副作用 | 知覚過敏様症状、歯茎、舌、口唇、粘膜等に違和感 |
60代女性 ナチュラル美白プラン2ヶ月コース
ホワイトニング前
ホワイトニング後
| 主訴 | TVで見る人の歯の白さと自分の歯の白さを比べた時に気になった 年齢的にあまり白すぎるのは恥ずかしい気がする 歯が黄ばむ前の歯の色に戻したい |
|---|---|
| 患者様 | 60代女性 |
| 治療内容 | プロフェッショナルクリーニング オフィスホワイトニング ホームホワイトニング ※オフィスホワイトニングとホームホワイトニングを並行して行うデュアルホワイトニング |
| 治療期間・回数 | プロフェッショナルクリーニング1回 オフィスホワイトニング4回 ホームホワイトニング2ヶ月間 |
| コース内容 | ナチュラル美白プラン2ヶ月コース プロフェッショナルクリーニング1回 オフィスホワイトニング4回 ホームホワイトニング2ヶ月分 マウスピース作成 マウスピース付属品 ベリーホワイト(歯磨剤) NBトゥースペースト(歯磨剤/トリートメント) |
| 費用 | ホワイトニング費用:124,100円-(税込) ※自由診療となります |
| 治療のリスク・副作用 | 知覚過敏様症状、歯茎、舌、口唇、粘膜等に違和感 |
40代女性 パーフェクト美白プラン3ヶ月コース
ホワイトニング前
ホワイトニング後
| 主訴 | 歯が白くてキレイな韓国の女優さんのようになりたい |
|---|---|
| 患者様 | 40代女性 |
| 治療内容 | プロフェッショナルクリーニング オフィスホワイトニング ホームホワイトニング ※オフィスホワイトニングとホームホワイトニングを並行して行うデュアルホワイトニング |
| 治療期間・回数 | プロフェッショナルクリーニング1回 オフィスホワイトニング6回 ホームホワイトニング3ヶ月間 |
| コース内容 | パーフェクト美白プラン3ヶ月コース プロフェッショナルクリーニング1回 オフィスホワイトニング6回 ホームホワイトニング3ヶ月分 マウスピース作成 マウスピース付属品 ベリーホワイト(歯磨剤) NBトゥースペースト(歯磨剤/トリートメント) |
| 費用 | ホワイトニング費用:168,300円-(税込) ※自由診療となります |
| 治療のリスク・副作用 | 知覚過敏様症状、歯茎、舌、口唇、粘膜等に違和感 |
30代男性 パーフェクト美白プラン3ヶ月コース
ホワイトニング前
ホワイトニング後
| 主訴 | 20歳過ぎてから黄ばみの自覚があった 生まれつきの色なのかな?とも思ったが、過去に喫煙歴もあったため気になっている |
|---|---|
| 患者様 | 30代男性 |
| 治療内容 | プロフェッショナルクリーニング オフィスホワイトニング ホームホワイトニング ※オフィスホワイトニングとホームホワイトニングを並行して行うデュアルホワイトニング |
| 治療期間・回数 | プロフェッショナルクリーニング1回 オフィスホワイトニング6回 ホームホワイトニング3ヶ月間 |
| コース内容 | パーフェクト美白プラン3ヶ月コース プロフェッショナルクリーニング1回 オフィスホワイトニング6回 ホームホワイトニング3ヶ月分 マウスピース作成 マウスピース付属品 ベリーホワイト(歯磨剤) NBトゥースペースト(歯磨剤/トリートメント) |
| 費用 | ホワイトニング費用:168,300円-(税込) ※自由診療となります |
| 治療のリスク・副作用 | 知覚過敏様症状、歯茎、舌、口唇、粘膜等に違和感 |
50代女性 パーフェクト美白プラン3ヶ月コース
ホワイトニング前
ホワイトニング後
| 主訴 | テトラサイクリンの副作用による歯の変色が悩み |
|---|---|
| 患者様 | 50代女性 |
| 治療内容 | プロフェッショナルクリーニング オフィスホワイトニング ホームホワイトニング ※オフィスホワイトニングとホームホワイトニングを並行して行うデュアルホワイトニング |
| 治療期間・回数 | プロフェッショナルクリーニング1回 オフィスホワイトニング6回 ホームホワイトニング3ヶ月間 |
| コース内容 | パーフェクト美白プラン3ヶ月コース プロフェッショナルクリーニング1回 オフィスホワイトニング6回 ホームホワイトニング3ヶ月分 マウスピース作成 マウスピース付属品 ベリーホワイト(歯磨剤) NBトゥースペースト(歯磨剤/トリートメント) |
| 費用 | ホワイトニング費用:168,300円-(税込) ※自由診療となります |
| 治療のリスク・副作用 | 知覚過敏様症状、歯茎、舌、口唇、粘膜等に違和感 |
20代女性 パーフェクト美白プラン3ヶ月コース
ホワイトニング前
ホワイトニング後
| 主訴 | 矯正終了後歯も白くしたかった なるべく早めに終わるのが希望 |
|---|---|
| 患者様 | 20代女性 |
| 治療内容 | プロフェッショナルクリーニング オフィスホワイトニング ホームホワイトニング ※オフィスホワイトニングとホームホワイトニングを並行して行うデュアルホワイトニング |
| 治療期間・回数 | プロフェッショナルクリーニング1回 オフィスホワイトニング6回 ホームホワイトニング3ヶ月間 |
| コース内容 | パーフェクト美白プラン3ヶ月コース プロフェッショナルクリーニング1回 オフィスホワイトニング6回 ホームホワイトニング3ヶ月分 マウスピース作成 マウスピース付属品 ベリーホワイト(歯磨剤) NBトゥースペースト(歯磨剤/トリートメント) |
| 費用 | ホワイトニング費用:168,300円-(税込) ※自由診療となります |
| 治療のリスク・副作用 | 知覚過敏様症状、歯茎、舌、口唇、粘膜等に違和感 |
60代男性 パーフェクト美白プラン3ヶ月コース
ホワイトニング前
ホワイトニング後
| 主訴 | 自分の歯が黄ばんできたせいか、以前入れた被せ物の色と差が出てしまい色ムラが気になる |
|---|---|
| 患者様 | 60代男性 |
| 治療内容 | プロフェッショナルクリーニング オフィスホワイトニング ホームホワイトニング ※オフィスホワイトニングとホームホワイトニングを並行して行うデュアルホワイトニング |
| 治療期間・回数 | プロフェッショナルクリーニング1回 オフィスホワイトニング6回 ホームホワイトニング3ヶ月間 |
| コース内容 | パーフェクト美白プラン3ヶ月コース プロフェッショナルクリーニング1回 オフィスホワイトニング6回 ホームホワイトニング3ヶ月分 マウスピース作成 マウスピース付属品 ベリーホワイト(歯磨剤) NBトゥースペースト(歯磨剤/トリートメント) |
| 費用 | ホワイトニング費用:168,300円-(税込) ※自由診療となります |
| 治療のリスク・副作用 | 知覚過敏様症状、歯茎、舌、口唇、粘膜等に違和感 |
30代女性 パーフェクト美白プラン3ヶ月コース
ホワイトニング前
ホワイトニング後
| 主訴 | 鏡を見て歯の色ムラが気になった 結婚式まで白くしたい |
|---|---|
| 患者様 | 30代女性 |
| 治療内容 | プロフェッショナルクリーニング オフィスホワイトニング ホームホワイトニング ※オフィスホワイトニングとホームホワイトニングを並行して行うデュアルホワイトニング |
| 治療期間・回数 | プロフェッショナルクリーニング1回 オフィスホワイトニング6回 ホームホワイトニング3ヶ月間 |
| コース内容 | パーフェクト美白プラン3ヶ月コース プロフェッショナルクリーニング1回 オフィスホワイトニング6回 ホームホワイトニング3ヶ月分 マウスピース作成 マウスピース付属品 ベリーホワイト(歯磨剤) NBトゥースペースト(歯磨剤/トリートメント) |
| 費用 | ホワイトニング費用:168,300円-(税込) ※自由診療となります |
| 治療のリスク・副作用 | 知覚過敏様症状、歯茎、舌、口唇、粘膜等に違和感 |
60代女性 パーフェクト美白プラン3ヶ月コース
ホワイトニング前
ホワイトニング後
| 主訴 | 歯磨きしていて自分の歯の色が気になった |
|---|---|
| 患者様 | 60代女性 |
| 治療内容 | プロフェッショナルクリーニング オフィスホワイトニング ホームホワイトニング ※オフィスホワイトニングとホームホワイトニングを並行して行うデュアルホワイトニング |
| 治療期間・回数 | プロフェッショナルクリーニング1回 オフィスホワイトニング6回 ホームホワイトニング3ヶ月間 |
| コース内容 | パーフェクト美白プラン3ヶ月コース プロフェッショナルクリーニング1回 オフィスホワイトニング6回 ホームホワイトニング3ヶ月分 マウスピース作成 マウスピース付属品 ベリーホワイト(歯磨剤) NBトゥースペースト(歯磨剤/トリートメント) |
| 費用 | ホワイトニング費用:168,300円-(税込) ※自由診療となります |
| 治療のリスク・副作用 | 知覚過敏様症状、歯茎、舌、口唇、粘膜等に違和感 |
40代男性 パーフェクト美白プラン3ヶ月コース
ホワイトニング前
ホワイトニング後
| 主訴 | 自分の歯の黄ばみが気になる 自然な白さになりたい |
|---|---|
| 患者様 | 40代男性 |
| 治療内容 | プロフェッショナルクリーニング オフィスホワイトニング ホームホワイトニング ※オフィスホワイトニングとホームホワイトニングを並行して行うデュアルホワイトニング |
| 治療期間・回数 | プロフェッショナルクリーニング1回 オフィスホワイトニング6回 ホームホワイトニング3ヶ月間 |
| コース内容 | パーフェクト美白プラン3ヶ月コース プロフェッショナルクリーニング1回 オフィスホワイトニング6回 ホームホワイトニング3ヶ月分 マウスピース作成 マウスピース付属品 ベリーホワイト(歯磨剤) NBトゥースペースト(歯磨剤/トリートメント) |
| 費用 | ホワイトニング費用:168,300円-(税込) ※自由診療となります |
| 治療のリスク・副作用 | 知覚過敏様症状、歯茎、舌、口唇、粘膜等に違和感 |






