矯正歯科
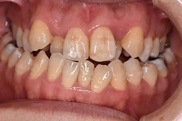
正中離開に対する部分矯正

術前正面

術前側貌

術中

術後正面

術後側貌
| 主訴 | 上の歯のすき間が気になる |
|---|---|
| 診断名あるいは主な症状 | 正中離開 |
| 初診年齢 | 20歳 |
| 治療内容・装置 | マルチブラケット装置(上顎前歯6本、表側からの矯正治療) |
| 抜歯・非抜歯 | 非抜歯 |
| 治療期間 | 6か月 |
| 費用 | 220,000円(税込) |
| 治療のリスク・副作用 | 歯の移動に伴う痛み 上顎前歯部の歯根吸収 装置による口内炎 ブラッシング不良によるむし歯、歯周炎 |
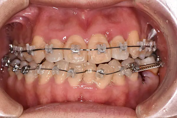
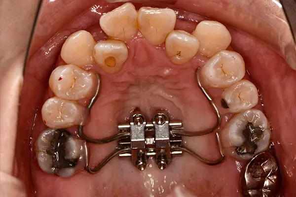
叢生、舌側矯正

術前

術中上顎

術後

術中下顎
| 主訴 | 歯のでこぼこ |
|---|---|
| 診断名あるいは主な症状 | 叢生、上顎前突 |
| 初診年齢 | 19歳 |
| 治療内容・装置 | マルチブラケット装置(上顎は裏側、下顎は表側からの矯正治療) 歯科矯正用アンカースクリュー |
| 抜歯・非抜歯 | 上顎左右第一小臼歯抜歯 |
| 治療期間 | 1年8か月 |
| 費用 | 1,240,000円(税込) |
| 治療のリスク・副作用 | 歯の移動に伴う痛み 上下顎前歯部の歯根吸収 装置による口内炎、発音障害、摂食障害 ブラッシング不良によるむし歯、歯周炎 |
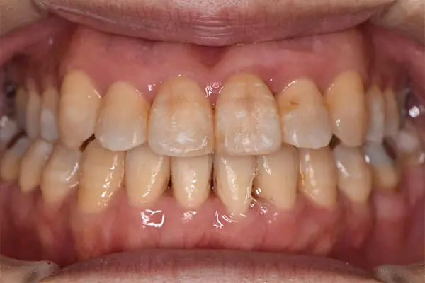
上下顎変形症に対する外科手術を併用した矯正治療《保険》

術前正面

術前側貌

術後正面

術後側貌
| 主訴 | 上下前歯の真ん中が合わない、かみ合わせを治したい |
|---|---|
| 診断名あるいは主な症状 | 上下顎変形症、交叉咬合 |
| 初診年齢 | 26歳 |
| 治療内容・装置 | マルチブラケット装置(上下表側からの矯正治療) 上下顎骨形成術(全身麻酔下の手術) |
| 抜歯・非抜歯 | 上下顎左右智歯抜歯 |
| 治療期間 | 1年7か月 |
| 費用 | 140,000円(保険適用、当院での自己負担額) |
| 治療のリスク・副作用 | 歯の移動に伴う痛み 上下顎前歯部の歯根吸収 装置による口内炎 ブラッシング不良によるむし歯、歯周炎 外科手術後の痛み、腫れ、知覚鈍麻 |
上顎前突

術前

術後
| 主訴 | 上の歯が出ている、歯のでこぼこ |
|---|---|
| 診断名あるいは主な症状 | 上顎前突 |
| 初診年齢 | 13歳 |
| 治療内容・装置 | マルチブラケット装置(上下表側からの矯正治療) |
| 抜歯・非抜歯 | 非抜歯 |
| 治療期間 | 11か月 |
| 費用 | 810,000円(税込) |
| 治療のリスク・副作用 | 歯の移動に伴う痛み 上下顎前歯部の歯根吸収 装置による口内炎 ブラッシング不良によるむし歯、歯周炎 |
叢生

術前正面

術前側貌

術後正面

術後側貌
| 主訴 | 上下前歯の歯並びが気になる |
|---|---|
| 診断名あるいは主な症状 | 叢生 |
| 初診年齢 | 28歳 |
| 治療内容・装置 | マルチブラケット装置(上下表側からの矯正治療) |
| 抜歯・非抜歯 | 非抜歯 |
| 治療期間 | 10か月 |
| 費用 | 810,000円(税込) |
| 治療のリスク・副作用 | 歯の移動に伴う痛み 上下顎前歯部の歯根吸収 装置による口内炎 ブラッシング不良によるむし歯、歯周炎 |
叢生、舌側矯正

術前上顎

術前下顎

術後上顎

術後下顎
| 主訴 | 上下の歯のでこぼこ |
|---|---|
| 診断名あるいは主な症状 | 叢生 |
| 初診年齢 | 24歳 |
| 治療内容・装置 | マルチブラケット装置(上は裏側、下は表側からの矯正治療) 歯科矯正用アンカースクリュー |
| 抜歯・非抜歯 | 上顎左右第一小臼歯抜歯 |
| 治療期間 | 1年2か月 |
| 費用 | 1,240,000円(税込) |
| 治療のリスク・副作用 | 歯の移動に伴う痛み 上下顎前歯部の歯根吸収 装置による口内炎 ブラッシング不良によるむし歯、歯周炎 |
八重歯

術前

術後
| 主訴 | 歯のでこぼこ、滑舌、顔の左右非対称 |
|---|---|
| 診断名あるいは主な症状 | 叢生 |
| 初診年齢 | 19歳 |
| 治療内容・装置 | マルチブラケット装置(上下表側からの矯正治療 歯科矯正用アンカースクリュー |
| 抜歯・非抜歯 | 上顎左右及び下顎右側第一小臼歯抜歯 |
| 治療期間 | 1年4か月 |
| 費用 | 960,000円(税込) |
| 治療のリスク・副作用 | 歯の移動に伴う痛み 上下顎前歯部の歯根吸収 装置による口内炎 ブラッシング不良によるむし歯、歯周炎 |
叢生

術前正面

術前上顎

術前下顎

術後正面

術後上顎

術後下顎
| 主訴 | 歯のでこぼこ、ハミガキしにくい |
|---|---|
| 診断名あるいは主な症状 | 叢生 |
| 初診年齢 | 22歳 |
| 治療内容・装置 | マルチブラケット(上下表側からの矯正治療) 歯科矯正用アンカースクリュー |
| 抜歯・非抜歯 | 上顎左右第一小臼歯抜歯 |
| 治療期間 | 1年9か月 |
| 費用 | 940,000円(税込) |
| 治療のリスク・副作用 | 歯の移動に伴う痛み 上下顎前歯部の歯根吸収 装置による口内炎 ブラッシング不良によるむし歯、歯周炎 |
叢生

術前正面

術前上顎

術後正面

術後上顎
| 主訴 | 上の歯のデコボコが気になる |
|---|---|
| 診断名あるいは主な症状 | 叢生 |
| 初診年齢 | 24歳 |
| 治療内容・装置 | マルチブラケット装置(上下表側からの矯正治療) 歯科矯正用アンカースクリュー |
| 抜歯・非抜歯 | 上顎左右第一小臼歯抜歯 |
| 治療期間 | 1年3か月 |
| 費用 | 959,000円(税込) |
| 治療のリスク・副作用 | 歯の移動に伴う痛み 上下顎前歯部の歯根吸収 装置による口内炎、発音障害、摂食障害 ブラッシング不良によるむし歯、歯周炎 |
叢生《マウスピース矯正》

術前上顎

術前下顎

術後上顎

術後下顎
| 主訴 | 前歯が曲がっている、位置のズレ |
|---|---|
| 診断名あるいは主な症状 | 叢生 |
| 初診年齢 | 24歳 |
| 治療内容・装置 | 上下マウスピース矯正装置(インビザライン) |
| 抜歯・非抜歯 | 非抜歯 |
| 治療期間 | 1年7か月 |
| 費用 | 740,000円(税込) |
| 治療のリスク・副作用 | 装置装着後の歯の痛みや発音しづらさ まれに歯根吸収や歯肉退縮が起こる ワイヤーを使う治療への変更や追加が必要になることがある |
上顎前歯のねじれに対する部分矯正

術前側貌

術前上顎

術後側貌

術後上顎
| 主訴 | 上の前歯がねじれているので治したい |
|---|---|
| 診断名あるいは主な症状 | 左上中切歯捻転 |
| 初診年齢 | 28歳 |
| 治療内容・装置 | マルチブラケット装置(上顎前歯6本、表側からの矯正治療) |
| 抜歯・非抜歯 | 非抜歯 |
| 治療期間 | 7か月 |
| 費用 | 220,000円(税込) |
| 治療のリスク・副作用 | 歯の移動に伴う痛み 上顎前歯部の歯根吸収 装置による口内炎 ブラッシング不良によるむし歯、歯周炎 |
叢生

術前正面

術前下顎

術後正面

術後下顎
| 主訴 | 上の歯が出ている、噛みにくい |
|---|---|
| 診断名あるいは主な症状 | 叢生 |
| 初診年齢 | 25歳 |
| 治療内容・装置 | 上下マウスピース矯正装置(インビザライン) |
| 抜歯・非抜歯 | 非抜歯 |
| 治療期間 | 1年4か月 |
| 費用 | 814,000円(税込) |
| 治療のリスク・副作用 | 歯の移動に伴う痛み 上下顎前歯部の歯根吸収 装置による口内炎 ブラッシング不良によるむし歯、歯周炎 |
叢生

術前正面

術前下顎

術後正面

術後下顎
| 主訴 | 歯のでこぼこ |
|---|---|
| 診断名あるいは主な症状 | 叢生 |
| 初診年齢 | 24歳 |
| 治療内容・装置 | マルチブラケット装置(上下表側からの矯正治療) |
| 抜歯・非抜歯 | 非抜歯 |
| 治療期間 | 10か月 |
| 費用 | 814,000円(税込) |
| 治療のリスク・副作用 | 歯の移動に伴う痛み 上下顎前歯部の歯根吸収 装置による口内炎 ブラッシング不良によるむし歯、歯周炎 |
叢生、前歯部反対咬合

術前正面

術前下顎

術後正面

術後下顎
| 主訴 | 歯のでこぼこ |
|---|---|
| 診断名あるいは主な症状 | 叢生、前歯部反対咬合 |
| 初診年齢 | 28歳 |
| 治療内容・装置 | 上下マウスピース矯正装置(インビザライン) |
| 抜歯・非抜歯 | 非抜歯 |
| 治療期間 | 10か月 |
| 費用 | 814,000円(税込) |
| 治療のリスク・副作用 | 歯の移動に伴う痛み 上下顎前歯部の歯根吸収 装置による口内炎 ブラッシング不良によるむし歯、歯周炎 |
顎変形症、骨格性下顎前突

術前正面

術前レントゲン

術後正面

術後レントゲン
| 主訴 | 反対咬合、下顎の前突 |
|---|---|
| 診断名あるいは主な症状 | 顎変形症、骨格性下顎前突 |
| 初診年齢 | 21歳 |
| 治療内容・装置 | マルチブラケット装置(上下表側からの矯正治療) |
| 抜歯・非抜歯 | 非抜歯 |
| 治療期間 | 2年6か月 |
| 費用 | 171,000円(保険適用、当院での自己負担額) |
| 治療のリスク・副作用 | 歯の移動に伴う痛み 上下顎前歯部の歯根吸収 装置による口内炎 ブラッシング不良によるむし歯、歯周炎 外科手術後の痛み、腫れ、知覚鈍麻 |
叢生、前歯部反対咬合

術前下顎

術前上顎

術後下顎

術後上顎
| 主訴 | 歯のでこぼこ |
|---|---|
| 診断名あるいは主な症状 | 叢生、前歯部反対咬合 |
| 初診年齢 | 15歳 |
| 治療内容・装置 | マルチブラケット装置(上下表側からの矯正治療) |
| 抜歯・非抜歯 | 非抜歯 |
| 治療期間 | 1年3か月 |
| 費用 | 814,000円(税込) |
| 治療のリスク・副作用 | 歯の移動に伴う痛み 上下顎前歯部の歯根吸収 装置による口内炎 ブラッシング不良によるむし歯、歯周炎 |
反対咬合

術前レントゲン

術前正面

術後レントゲン

術後正面
| 主訴 | 反対咬合 |
|---|---|
| 診断名あるいは主な症状 | 顎変形症、骨格性下顎前突、前歯部反対咬合 |
| 初診年齢 | 16歳 |
| 治療内容・装置 | マルチブラケット装置(上下表側からの矯正治療) |
| 抜歯・非抜歯 | 非抜歯 |
| 治療期間 | 1年9か月 |
| 費用 | 136,000円(保険適用、当院での自己負担額) |
| 治療のリスク・副作用 | 歯の移動に伴う痛み 上下顎前歯部の歯根吸収 装置による口内炎 ブラッシング不良によるむし歯、歯周炎 外科手術後の痛み、腫れ、知覚鈍麻 |
叢生、前歯部反対咬合

術前正面

術前側貌

術後正面

術後側貌
| 主訴 | 反対咬合、歯のでこぼこ |
|---|---|
| 診断名あるいは主な症状 | 叢生、前歯部反対咬合 |
| 初診年齢 | 19歳 |
| 治療内容・装置 | マルチブラケット装置(上下表側からの矯正治療) |
| 抜歯・非抜歯 | 非抜歯 |
| 治療期間 | 1年7か月 |
| 費用 | 814,000円(税込) |
| 治療のリスク・副作用 | 歯の移動に伴う痛み 上下顎前歯部の歯根吸収 装置による口内炎、発音障害、摂食障害 ブラッシング不良によるむし歯、歯周炎 |
叢生、前歯部反対咬合

術前正面

術前上顎

術後正面

術後上顎
| 主訴 | 歯のでこぼこ |
|---|---|
| 診断名あるいは主な症状 | 叢生、前歯部反対咬合 |
| 初診年齢 | 23歳 |
| 治療内容・装置 | 上下マウスピース矯正装置(インビザライン) |
| 抜歯・非抜歯 | 非抜歯 |
| 治療期間 | 1年6か月 |
| 費用 | 924,000円(税込) |
| 治療のリスク・副作用 | 歯の移動に伴う痛み 上下顎前歯部の歯根吸収 装置による口内炎 ブラッシング不良によるむし歯、歯周炎 |
叢生

術前正面

術後正面
| 主訴 | 歯のでこぼこ、口元が出ている |
|---|---|
| 診断名あるいは主な症状 | 叢生 |
| 初診年齢 | 19歳 |
| 治療内容・装置 | マルチブラケット装置(上下表側からの矯正治療) |
| 抜歯・非抜歯 | 上顎左右第一小臼歯、下顎左右第二小臼歯抜歯 |
| 治療期間 | 1年9か月 |
| 費用 | 924,000円(税込) |
| 治療のリスク・副作用 | 歯の移動に伴う痛み 上下顎前歯部の歯根吸収 装置による口内炎 ブラッシング不良によるむし歯、歯周炎 |
反対咬合

術前正面

術後正面
| 主訴 | 反対咬合 |
|---|---|
| 診断名あるいは主な症状 | 前歯部反対咬合 |
| 初診年齢 | 18歳 |
| 治療内容・装置 | 上下マウスピース矯正装置(インビザライン) |
| 抜歯・非抜歯 | 上顎左右第二大臼歯抜歯 |
| 治療期間 | 8か月 |
| 費用 | 814,000円(税込) |
| 治療のリスク・副作用 | 歯の移動に伴う痛み 上下顎前歯部の歯根吸収 装置による口内炎 ブラッシング不良によるむし歯、歯周炎 |
反対咬合

術前正面

術中正面

術中上顎

術後正面

術中下顎
| 主訴 | 反対咬合 |
|---|---|
| 初診年齢 | 32歳 |
| 治療内容・装置 | 自費、表側マルチブラケット |
| 抜歯・非抜歯 | 非抜歯 |
| 治療期間 | 1年4か月 |
| 費用 | 869,000円(税込) (相談料、検査料、診断料、動的治療費、保定期間料、抜歯代、アンカースクリュー費等含む) |
| 治療のリスク・副作用 | 歯の移動に伴う痛み 上下顎前歯部の歯根吸収 装置による口内炎 ブラッシング不良によるむし歯・歯肉炎 |
叢生

術前側貌

術前正面

術前側貌

術後側貌

術後正面

術後側貌

術中上顎

術中下顎
| 主訴 | 歯のがたつき、出っ歯 |
|---|---|
| 初診年齢 | 23歳 |
| 治療内容・装置 | 自費、上裏側・下表側、アンカースクリュー |
| 抜歯・非抜歯 | 抜歯 |
| 治療期間 | 2年3か月 |
| 費用 | 1,383,800円(税込) (相談料、検査料、診断料、動的治療費、保定期間料、抜歯代、アンカースクリュー費等含む) |
| 治療のリスク・副作用 | 歯の移動に伴う痛み 上下顎前歯部の歯根吸収 装置による口内炎 ブラッシング不良によるむし歯・歯肉炎 |
上顎前突

術前正面

術前上顎

術前下顎

術後正面

術後上顎

術後下顎

術中上顎

術中下顎
| 主訴 | 出っ歯 |
|---|---|
| 初診年齢 | 37歳 |
| 治療内容・装置 | 自費、表側マルチブラケット、アンカースクリュー |
| 抜歯・非抜歯 | 抜歯 |
| 治療期間 | 2年 |
| 費用 | 1,038,400円(税込) (相談料、検査料、診断料、動的治療費、保定期間料、抜歯代、アンカースクリュー費等含む) |
| 治療のリスク・副作用 | 歯の移動に伴う痛み 上下顎前歯部の歯根吸収 装置による口内炎 ブラッシング不良によるむし歯・歯肉炎 |
保険・開咬

術前正面

術前側貌

術後正面

術後側貌
| 主訴 | 開咬 |
|---|---|
| 初診年齢 | 24歳 |
| 治療内容・装置 | 保険矯正、表側マルチブラケット装置 |
| 抜歯・非抜歯 | 非抜歯 |
| 治療期間 | 1年9ヵ月 |
| 費用 | 199,580円(税込) (相談料、検査料、診断料、動的治療費、保定期間料、抜歯代、アンカースクリュー費等含む) |
| 治療のリスク・副作用 | 歯の移動に伴う痛み 上下顎前歯部の歯根吸収 装置による口内炎 ブラッシング不良によるむし歯・ 歯肉炎 |
反対咬合

術前側貌①

術前側貌②

術後側貌①

術後側貌②
| 主訴 | 反対咬合 |
|---|---|
| 初診年齢 | 32歳 |
| 治療内容・装置 | 自費、 表側マルチブラケット |
| 抜歯・非抜歯 | 非抜歯 |
| 治療期間 | 1年4ヶ月 |
| 費用 | 869,000円(税込) (相談料、検査料、診断料、動的治療費、保定期間料、抜歯代、アンカースクリュー費等含む) |
| 治療のリスク・副作用 | 歯の移動に伴う痛み 上下顎前歯部の歯根吸収 装置による口内炎 ブラッシング不良によるむし歯・ 歯肉炎 |
保険・反対咬合

術前側貌

術前正面

術前側貌

術後側貌

術後正面

術後側貌
| 主訴 | 正中線のズレ、顎変形症と思う |
|---|---|
| 初診年齢 | 26歳 |
| 治療内容・装置 | 保険矯正、表側マルチブラケット装置 |
| 抜歯・非抜歯 | 非抜歯 |
| 治療期間 | 2年 |
| 費用 | 190,470円(税込) (相談料、検査料、診断料、動的治療費、保定期間料、抜歯代、アンカースクリュー費等含む) |
| 治療のリスク・副作用 | 歯の移動に伴う痛み 上顎前歯部の歯根吸収 装置による口内炎 ブラッシング不良によるむし歯、歯周炎 |
叢生・反対咬合

術前正面

術中正面

術後正面

術前上顎
| 主訴 | 歯のでこぼこ |
|---|---|
| 診断名あるいは主な症状 | 叢生、反対咬合 |
| 初診年齢 | 45歳 |
| 治療内容・装置 | マルチブラケット装置(上下表側からの矯正治療) MSE2 |
| 抜歯・非抜歯 | 下顎左第二小臼歯抜歯 |
| 治療期間 | 2年9ヶ月 |
| 費用 | 882,700円(税込) |
| 治療のリスク・副作用 | 歯の移動に伴う痛み 上下顎前歯部の歯根吸収 装置による口内炎 ブラッシング不良によるむし歯、歯周炎 |
ホワイトニング
20代女性 パーフェクト美白プラン3ヶ月コース

術前正面

術後正面
| 主訴 | 以前から歯の色は気になっていたが、矯正後特に気になってきた |
|---|---|
| 患者様 | 20代女性 |
| 治療内容 | プロフェッショナルクリーニング オフィスホワイトニング ホームホワイトニング ※オフィスホワイトニングとホームホワイトニングを並行して行うデュアルホワイトニング |
| 治療期間・回数 | プロフェッショナルクリーニング1回 オフィスホワイトニング6回 ホームホワイトニング3ヶ月間 |
| コース内容 | パーフェクト美白プラン3ヶ月コース プロフェッショナルクリーニング1回 オフィスホワイトニング6回 ホームホワイトニング3ヶ月分 マウスピース作成 マウスピース付属品 ベリーホワイト(歯磨剤) NBトゥースペースト(歯磨剤/トリートメント) |
| 費用 | 168,300円-(税込) ※自由診療となります |
| 治療のリスク・副作用 | 知覚過敏様症状、歯茎、舌、口唇、粘膜等に違和感 |
20代女性 パーフェクト美白プラン3ヶ月コース

術前正面

術後正面
| 主訴 | 矯正を始めてから色も気になってきた 不自然でない白さが希望 |
|---|---|
| 患者様 | 20代女性 |
| 治療内容 | プロフェッショナルクリーニング オフィスホワイトニング ホームホワイトニング ※オフィスホワイトニングとホームホワイトニングを並行して行うデュアルホワイトニング |
| 治療期間・回数 | プロフェッショナルクリーニング1回 オフィスホワイトニング6回 ホームホワイトニング3ヶ月間 |
| コース内容 | パーフェクト美白プラン3ヶ月コース プロフェッショナルクリーニング1回 オフィスホワイトニング6回 ホームホワイトニング3ヶ月分 マウスピース作成 マウスピース付属品 ベリーホワイト(歯磨剤) NBトゥースペースト(歯磨剤/トリートメント) |
| 費用 | 168,300円-(税込) ※自由診療となります |
| 治療のリスク・副作用 | 知覚過敏様症状、歯茎、舌、口唇、粘膜等に違和感 |
20代女性 パーフェクト美白プラン3ヶ月コース

術前正面

術後正面
| 主訴 | 矯正治療で装置をつけてから気になり出し、装置を外したらより気になってきた 歯を明るくしたい |
|---|---|
| 患者様 | 20代女性 |
| 治療内容 | プロフェッショナルクリーニング オフィスホワイトニング ホームホワイトニング ※オフィスホワイトニングとホームホワイトニングを並行して行うデュアルホワイトニング |
| 治療期間・回数 | プロフェッショナルクリーニング1回 オフィスホワイトニング6回 ホームホワイトニング3ヶ月間 |
| コース内容 | パーフェクト美白プラン3ヶ月コース プロフェッショナルクリーニング1回 オフィスホワイトニング6回 ホームホワイトニング3ヶ月分 マウスピース作成 マウスピース付属品 ベリーホワイト(歯磨剤) NBトゥースペースト(歯磨剤/トリートメント) |
| 費用 | 168,300円-(税込) ※自由診療となります |
| 治療のリスク・副作用 | 知覚過敏様症状、歯茎、舌、口唇、粘膜等に違和感 |
20代男性 パーフェクト美白プラン3ヶ月コース

術前正面

術後正面
| 主訴 | 矯正を始めてから歯の色が気になってきた 結構明るくしたい |
|---|---|
| 患者様 | 20代男性 |
| 治療内容 | プロフェッショナルクリーニング オフィスホワイトニング ホームホワイトニング ※オフィスホワイトニングとホームホワイトニングを並行して行うデュアルホワイトニング |
| 治療期間・回数 | プロフェッショナルクリーニング1回 オフィスホワイトニング6回 ホームホワイトニング3ヶ月間 |
| コース内容 | パーフェクト美白プラン3ヶ月コース プロフェッショナルクリーニング1回 オフィスホワイトニング6回 ホームホワイトニング3ヶ月分 マウスピース作成 マウスピース付属品 ベリーホワイト(歯磨剤) NBトゥースペースト(歯磨剤/トリートメント) |
| 費用 | 168,300円-(税込) ※自由診療となります |
| 治療のリスク・副作用 | 知覚過敏様症状、歯茎、舌、口唇、粘膜等に違和感 |
20代女性 パーフェクト美白プラン3ヶ月コース

術前正面

術後正面
| 主訴 | ここ数年歯の色が気になってきた パッとみて白く、自然な綺麗な歯にしたい |
|---|---|
| 患者様 | 20代女性 |
| 治療内容 | プロフェッショナルクリーニング オフィスホワイトニング ホームホワイトニング ※オフィスホワイトニングとホームホワイトニングを並行して行うデュアルホワイトニング |
| 治療期間・回数 | プロフェッショナルクリーニング1回 オフィスホワイトニング6回 ホームホワイトニング3ヶ月間 |
| コース内容 | パーフェクト美白プラン3ヶ月コース プロフェッショナルクリーニング1回 オフィスホワイトニング6回 ホームホワイトニング3ヶ月分 マウスピース作成 マウスピース付属品 ベリーホワイト(歯磨剤) NBトゥースペースト(歯磨剤/トリートメント) |
| 費用 | 168,300円-(税込) ※自由診療となります |
| 治療のリスク・副作用 | 知覚過敏様症状、歯茎、舌、口唇、粘膜等に違和感 |
30代女性 ナチュラル美白プラン2ヶ月コース+セラミック治療

ホワイトニング前

ホワイトニング後

補綴SET後
| 主訴 | 以前から歯の色が気になっており、歯科矯正後より気になるようになった 前歯に仮歯が入っているので歯の色を自然な白さにしてから入れ替えたい |
|---|---|
| 患者様 | 30代女性 |
| 治療内容 | プロフェッショナルクリーニング オフィスホワイトニング ホームホワイトニング ※オフィスホワイトニングとホームホワイトニングを並行して行うデュアルホワイトニング セラミック治療 |
| 治療期間・回数 | プロフェッショナルクリーニング1回 オフィスホワイトニング4回 ホームホワイトニング2ヶ月間 |
| コース内容 | ナチュラル美白プラン2ヶ月コース プロフェッショナルクリーニング1回 オフィスホワイトニング4回 ホームホワイトニング2ヶ月分 マウスピース作成 マウスピース付属品 ベリーホワイト(歯磨剤) NBトゥースペースト(歯磨剤/トリートメント) |
| 費用 | ホワイトニング費用:168,300円-(税込) オールセラミックブリッジ費用:476,300円-(税込) ※自由診療となります |
| 治療のリスク・副作用 | 知覚過敏様症状、歯茎、舌、口唇、粘膜等に違和感 |
20代女性 パーフェクト美白プラン3ヶ月コース

ホワイトニング前

ホワイトニング後
| 主訴 | 最近歯の色が気になってきた 白くなりすぎず自然な感じの白さになりたい |
|---|---|
| 患者様 | 20代女性 |
| 治療内容 | プロフェッショナルクリーニング オフィスホワイトニング ホームホワイトニング ※オフィスホワイトニングとホームホワイトニングを並行して行うデュアルホワイトニング |
| 治療期間・回数 | プロフェッショナルクリーニング1回 オフィスホワイトニング6回 ホームホワイトニング3ヶ月間 |
| コース内容 | パーフェクト美白プラン3ヶ月コース プロフェッショナルクリーニング1回 オフィスホワイトニング6回 ホームホワイトニング3ヶ月分 マウスピース作成 マウスピース付属品 ベリーホワイト(歯磨剤) NBトゥースペースト(歯磨剤/トリートメント) |
| 費用 | ホワイトニング費用:168,300円-(税込) ※自由診療となります |
| 治療のリスク・副作用 | 知覚過敏様症状、歯茎、舌、口唇、粘膜等に違和感 |
60代女性 ナチュラル美白プラン2ヶ月コース

ホワイトニング前

ホワイトニング後
| 主訴 | TVで見る人の歯の白さと自分の歯の白さを比べた時に気になった 年齢的にあまり白すぎるのは恥ずかしい気がする 歯が黄ばむ前の歯の色に戻したい |
|---|---|
| 患者様 | 60代女性 |
| 治療内容 | プロフェッショナルクリーニング オフィスホワイトニング ホームホワイトニング ※オフィスホワイトニングとホームホワイトニングを並行して行うデュアルホワイトニング |
| 治療期間・回数 | プロフェッショナルクリーニング1回 オフィスホワイトニング4回 ホームホワイトニング2ヶ月間 |
| コース内容 | ナチュラル美白プラン2ヶ月コース プロフェッショナルクリーニング1回 オフィスホワイトニング4回 ホームホワイトニング2ヶ月分 マウスピース作成 マウスピース付属品 ベリーホワイト(歯磨剤) NBトゥースペースト(歯磨剤/トリートメント) |
| 費用 | ホワイトニング費用:124,100円-(税込) ※自由診療となります |
| 治療のリスク・副作用 | 知覚過敏様症状、歯茎、舌、口唇、粘膜等に違和感 |
40代女性 パーフェクト美白プラン3ヶ月コース

ホワイトニング前

ホワイトニング後
| 主訴 | 歯が白くてキレイな韓国の女優さんのようになりたい |
|---|---|
| 患者様 | 40代女性 |
| 治療内容 | プロフェッショナルクリーニング オフィスホワイトニング ホームホワイトニング ※オフィスホワイトニングとホームホワイトニングを並行して行うデュアルホワイトニング |
| 治療期間・回数 | プロフェッショナルクリーニング1回 オフィスホワイトニング6回 ホームホワイトニング3ヶ月間 |
| コース内容 | パーフェクト美白プラン3ヶ月コース プロフェッショナルクリーニング1回 オフィスホワイトニング6回 ホームホワイトニング3ヶ月分 マウスピース作成 マウスピース付属品 ベリーホワイト(歯磨剤) NBトゥースペースト(歯磨剤/トリートメント) |
| 費用 | ホワイトニング費用:168,300円-(税込) ※自由診療となります |
| 治療のリスク・副作用 | 知覚過敏様症状、歯茎、舌、口唇、粘膜等に違和感 |
30代男性 パーフェクト美白プラン3ヶ月コース

ホワイトニング前

ホワイトニング後
| 主訴 | 20歳過ぎてから黄ばみの自覚があった 生まれつきの色なのかな?とも思ったが、過去に喫煙歴もあったため気になっている |
|---|---|
| 患者様 | 30代男性 |
| 治療内容 | プロフェッショナルクリーニング オフィスホワイトニング ホームホワイトニング ※オフィスホワイトニングとホームホワイトニングを並行して行うデュアルホワイトニング |
| 治療期間・回数 | プロフェッショナルクリーニング1回 オフィスホワイトニング6回 ホームホワイトニング3ヶ月間 |
| コース内容 | パーフェクト美白プラン3ヶ月コース プロフェッショナルクリーニング1回 オフィスホワイトニング6回 ホームホワイトニング3ヶ月分 マウスピース作成 マウスピース付属品 ベリーホワイト(歯磨剤) NBトゥースペースト(歯磨剤/トリートメント) |
| 費用 | ホワイトニング費用:168,300円-(税込) ※自由診療となります |
| 治療のリスク・副作用 | 知覚過敏様症状、歯茎、舌、口唇、粘膜等に違和感 |
50代女性 パーフェクト美白プラン3ヶ月コース

ホワイトニング前

ホワイトニング後
| 主訴 | テトラサイクリンの副作用による歯の変色が悩み |
|---|---|
| 患者様 | 50代女性 |
| 治療内容 | プロフェッショナルクリーニング オフィスホワイトニング ホームホワイトニング ※オフィスホワイトニングとホームホワイトニングを並行して行うデュアルホワイトニング |
| 治療期間・回数 | プロフェッショナルクリーニング1回 オフィスホワイトニング6回 ホームホワイトニング3ヶ月間 |
| コース内容 | パーフェクト美白プラン3ヶ月コース プロフェッショナルクリーニング1回 オフィスホワイトニング6回 ホームホワイトニング3ヶ月分 マウスピース作成 マウスピース付属品 ベリーホワイト(歯磨剤) NBトゥースペースト(歯磨剤/トリートメント) |
| 費用 | ホワイトニング費用:168,300円-(税込) ※自由診療となります |
| 治療のリスク・副作用 | 知覚過敏様症状、歯茎、舌、口唇、粘膜等に違和感 |
20代女性 パーフェクト美白プラン3ヶ月コース

ホワイトニング前

ホワイトニング後
| 主訴 | 矯正終了後歯も白くしたかった なるべく早めに終わるのが希望 |
|---|---|
| 患者様 | 20代女性 |
| 治療内容 | プロフェッショナルクリーニング オフィスホワイトニング ホームホワイトニング ※オフィスホワイトニングとホームホワイトニングを並行して行うデュアルホワイトニング |
| 治療期間・回数 | プロフェッショナルクリーニング1回 オフィスホワイトニング6回 ホームホワイトニング3ヶ月間 |
| コース内容 | パーフェクト美白プラン3ヶ月コース プロフェッショナルクリーニング1回 オフィスホワイトニング6回 ホームホワイトニング3ヶ月分 マウスピース作成 マウスピース付属品 ベリーホワイト(歯磨剤) NBトゥースペースト(歯磨剤/トリートメント) |
| 費用 | ホワイトニング費用:168,300円-(税込) ※自由診療となります |
| 治療のリスク・副作用 | 知覚過敏様症状、歯茎、舌、口唇、粘膜等に違和感 |
60代男性 パーフェクト美白プラン3ヶ月コース

ホワイトニング前

ホワイトニング後
| 主訴 | 自分の歯が黄ばんできたせいか、以前入れた被せ物の色と差が出てしまい色ムラが気になる |
|---|---|
| 患者様 | 60代男性 |
| 治療内容 | プロフェッショナルクリーニング オフィスホワイトニング ホームホワイトニング ※オフィスホワイトニングとホームホワイトニングを並行して行うデュアルホワイトニング |
| 治療期間・回数 | プロフェッショナルクリーニング1回 オフィスホワイトニング6回 ホームホワイトニング3ヶ月間 |
| コース内容 | パーフェクト美白プラン3ヶ月コース プロフェッショナルクリーニング1回 オフィスホワイトニング6回 ホームホワイトニング3ヶ月分 マウスピース作成 マウスピース付属品 ベリーホワイト(歯磨剤) NBトゥースペースト(歯磨剤/トリートメント) |
| 費用 | ホワイトニング費用:168,300円-(税込) ※自由診療となります |
| 治療のリスク・副作用 | 知覚過敏様症状、歯茎、舌、口唇、粘膜等に違和感 |
30代女性 パーフェクト美白プラン3ヶ月コース

ホワイトニング前

ホワイトニング後
| 主訴 | 鏡を見て歯の色ムラが気になった 結婚式まで白くしたい |
|---|---|
| 患者様 | 30代女性 |
| 治療内容 | プロフェッショナルクリーニング オフィスホワイトニング ホームホワイトニング ※オフィスホワイトニングとホームホワイトニングを並行して行うデュアルホワイトニング |
| 治療期間・回数 | プロフェッショナルクリーニング1回 オフィスホワイトニング6回 ホームホワイトニング3ヶ月間 |
| コース内容 | パーフェクト美白プラン3ヶ月コース プロフェッショナルクリーニング1回 オフィスホワイトニング6回 ホームホワイトニング3ヶ月分 マウスピース作成 マウスピース付属品 ベリーホワイト(歯磨剤) NBトゥースペースト(歯磨剤/トリートメント) |
| 費用 | ホワイトニング費用:168,300円-(税込) ※自由診療となります |
| 治療のリスク・副作用 | 知覚過敏様症状、歯茎、舌、口唇、粘膜等に違和感 |
60代女性 パーフェクト美白プラン3ヶ月コース

ホワイトニング前

ホワイトニング後
| 主訴 | 歯磨きしていて自分の歯の色が気になった |
|---|---|
| 患者様 | 60代女性 |
| 治療内容 | プロフェッショナルクリーニング オフィスホワイトニング ホームホワイトニング ※オフィスホワイトニングとホームホワイトニングを並行して行うデュアルホワイトニング |
| 治療期間・回数 | プロフェッショナルクリーニング1回 オフィスホワイトニング6回 ホームホワイトニング3ヶ月間 |
| コース内容 | パーフェクト美白プラン3ヶ月コース プロフェッショナルクリーニング1回 オフィスホワイトニング6回 ホームホワイトニング3ヶ月分 マウスピース作成 マウスピース付属品 ベリーホワイト(歯磨剤) NBトゥースペースト(歯磨剤/トリートメント) |
| 費用 | ホワイトニング費用:168,300円-(税込) ※自由診療となります |
| 治療のリスク・副作用 | 知覚過敏様症状、歯茎、舌、口唇、粘膜等に違和感 |
40代男性 パーフェクト美白プラン3ヶ月コース

ホワイトニング前

ホワイトニング後
| 主訴 | 自分の歯の黄ばみが気になる 自然な白さになりたい |
|---|---|
| 患者様 | 40代男性 |
| 治療内容 | プロフェッショナルクリーニング オフィスホワイトニング ホームホワイトニング ※オフィスホワイトニングとホームホワイトニングを並行して行うデュアルホワイトニング |
| 治療期間・回数 | プロフェッショナルクリーニング1回 オフィスホワイトニング6回 ホームホワイトニング3ヶ月間 |
| コース内容 | パーフェクト美白プラン3ヶ月コース プロフェッショナルクリーニング1回 オフィスホワイトニング6回 ホームホワイトニング3ヶ月分 マウスピース作成 マウスピース付属品 ベリーホワイト(歯磨剤) NBトゥースペースト(歯磨剤/トリートメント) |
| 費用 | ホワイトニング費用:168,300円-(税込) ※自由診療となります |
| 治療のリスク・副作用 | 知覚過敏様症状、歯茎、舌、口唇、粘膜等に違和感 |
審美治療
セラミッククラウン

術前正面

術後正面
| 主訴 | 新しく作り直したいため |
|---|---|
| 患者様 | 50代男性 |
| 治療内容 | セラミックによる補綴治療 |
| 治療期間・回数 | 2ヶ月半・4回(補綴治療に入ってからの回数) |
| 費用 | 131,500円(税込) |
| 治療のリスク・副作用 | 歯をたくさん削る場合がある 健康な歯が少なくなり、歯が弱くなることも 費用が高く、やり直しも自費になる 割れ・欠けのリスク:セラミックは強度はあるが、強い衝撃や噛み癖で欠けることがある |
セラミッククラウン

術前側貌

術後側貌
| 主訴 | 根尖病巣で根治したため |
|---|---|
| 患者様 | 60代女性 |
| 治療内容 | セラミックによる補綴治療 |
| 治療期間・回数 | 2ヶ月半・4回(補綴治療に入ってからの回数) |
| 費用 | 129,900円(税込) |
| 治療のリスク・副作用 | 歯をたくさん削る場合がある 健康な歯が少なくなり、歯が弱くなることも 費用が高く、やり直しも自費になる 割れ・欠けのリスク:セラミックは強度はあるが、強い衝撃や噛み癖で欠けることがある |
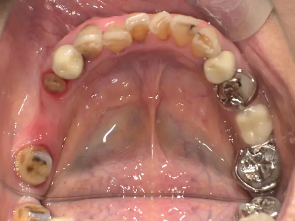
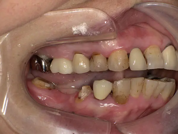
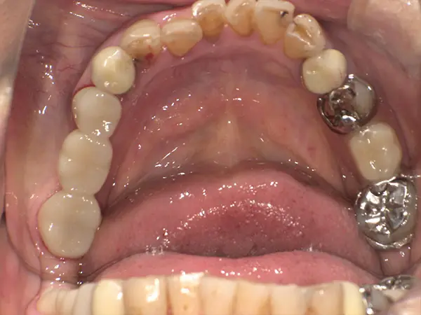
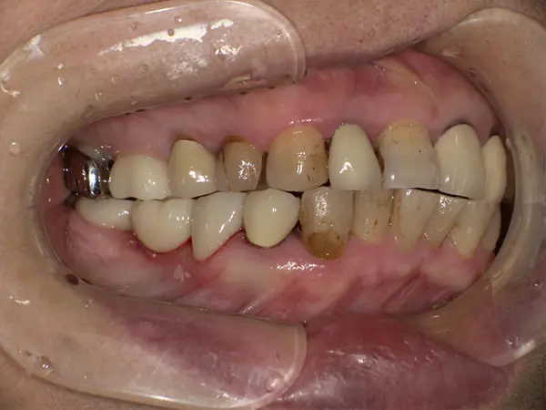
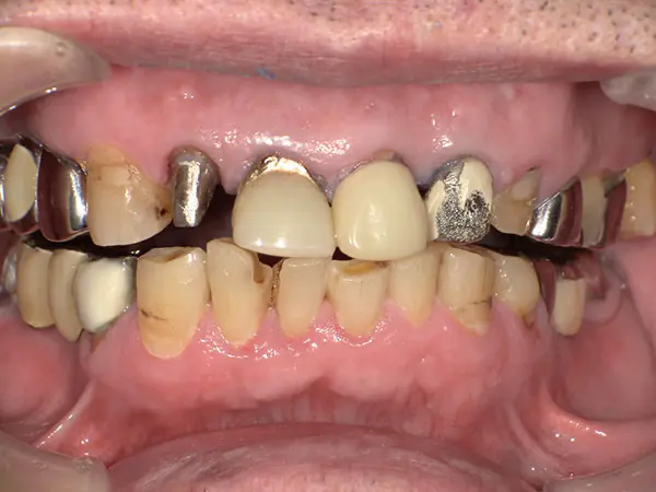
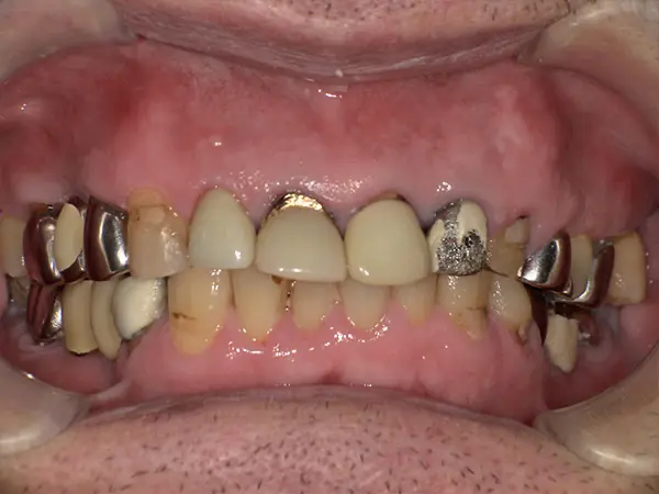
オールセラミックブリッジ

術前上顎

術前側貌

術後上顎

術後側貌
| 主訴 | 脱離、かけた |
|---|---|
| 患者様 | 70代女性 |
| 治療内容 | セラミックによる補綴治療 |
| 治療期間・回数 | 2ヶ月半・4回(補綴治療に入ってからの回数) |
| 費用 | 365,600円(税込) |
| 治療のリスク・副作用 | 土台の歯の大きな削合が必要で、健康な歯でも支台にするため削る量が多い 費用が比較的高い(特にフルジルコニア・ジルコニアフレームは高額になりやすい) 支台歯への負担が大きい(被せ物をつなぐ構造のため、噛む力が片側に集中して歯根破折のリスクが上がる) |
セラミッククラウン

術前正面

術前上顎

術後正面

術後上顎
| 主訴 | 根尖病巣 |
|---|---|
| 患者様 | 70代男性 |
| 治療内容 | セラミックによる補綴治療 |
| 治療期間・回数 | 3ヶ月半・4回(補綴治療に入ってからの回数) |
| 費用 | 131,500円(税込) |
| 治療のリスク・副作用 | 一生もつわけではなく、中でむし歯が再発することもある 歯をたくさん削る場合がある健康な歯が少なくなり、歯が弱くなることも 費用が高く、やり直しも自費 |


