
結論から言うと、神経のない歯やテトラサイクリン歯も白くできます!
ただし『方法』が通常のホワイトニングとは異なります。
原因によってアプローチが変わるため、正しい治療法を選ぶことが何より大切です。
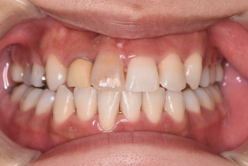
「前歯が1本だけ黒っぽく変色してしまった」
「子どもの頃に飲んだ薬の影響で、歯に縞模様が残っている」
そんな悩みを抱えている方は少なくありません。中には「普通のホワイトニングでは白くならないのでは?」と、最初から諦めてしまう方もいます。
確かに、一般的なホワイトニングは歯の表面の汚れや、歯の中にある黄ばみの色素を分解するのにとても効果的です。
ですがすべての変色に万能というわけではなく、原因によっては思ったような結果が出ないこともあります。
この記事では、特に「神経を抜いた歯の黒ずみ」と「テトラサイクリン歯の縞模様」という、ちょっと特殊で難しい歯の変色にスポットを当てて、その原因と実際にできる治療法を分かりやすくご紹介していきます。
目次
なぜ?通常のホワイトニングが効きにくい歯の変色とは
変色にも理由があります。
大きく分けて、次の2種類があります。
どちらも歯の「内側の色素」が関係しているため、外から薬剤を作用させるだけのホワイトニングでは十分に効果が出にくいのです。
<神経のない歯(失活歯)>

外傷などの原因で神経を取った歯は、時間が経つと徐々に黒ずんで見えてきます。
原因は歯の内部に血液成分や治療時の薬剤が染み込み、それが象牙質に沈着するからです。
普通のホワイトニングでは歯の中まで薬剤が届かないため、黒ずみが改善しにくいのが特徴です。特に前歯が変色してしまうと非常に目立ち、笑顔を作るのに抵抗を感じる方も多くいます。
<テトラサイクリン歯>

子どもの頃(歯が作られる時期)に、テトラサイクリン系の抗生物質を飲んだことで、歯の象牙質に色素が沈着してしまうケースです。
灰色や茶色、しま模様が歯に表れるのが典型的で、その見た目の特徴から長年コンプレックスに感じる方もいます。通常のホワイトニングでは歯の奥の色までしっかり抜くことが難しく、改善がゆるやかになることが多いです。
白くなる?神経のない歯を白くするための専門治療

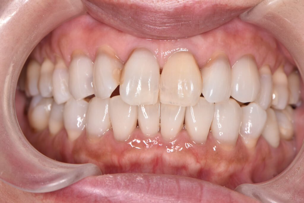
白くする方法はあります!
「もう隠すしかない」と思ってしまう失活歯の黒ずみですが、実は専門的なホワイトニングで白さを取り戻すことができます。
【治療法1】インターナルブリーチ(ウォーキングブリーチ)
これは歯科医院で、歯の内側から行う特殊なホワイトニングです。
治療の流れ
1. 歯科医師が歯の裏側に小さな穴を開け、神経があった部分をきれいに掃除する
2. そのスペースにホワイトニング薬剤を入れる
3. 仮のフタをして密閉
4. 1週間後に来院して薬剤を交換し、理想の白さになるまで数回繰り返す
痛みはほとんどなく、大きく削る必要もありません。
<メリット>
•歯を削る量が少なく、自分の歯をほぼ残したまま治療できる
•セラミックに比べると安価に治療ができる
•1本だけの黒ずみに対応できる
<デメリット>
•効果が出るまで時間がかかる(通常3〜5回通院する必要がある)
•個人差はあるが時間の経過で、再び後戻りする場合がある
•稀に薬剤が根に悪影響を及ぼすリスクがある
【治療法2】セラミック治療
効果が薄い場合や、色ムラなく形や色のトーンを確実に仕上げたい場合はセラミック治療が選択肢になります。歯を少し削り、白くて透明感のあるセラミック製の被せ物をする方法です。
テトラサイクリン歯を白くする方法


テトラサイクリンによる変色は根強いため、ケースに合わせた治療計画が必要です。
【治療法1】デュアルホワイトニング
オフィスホワイトニングとホームホワイトニングを組み合わせる方法です。
• オフィス:短期間で表面を白くする
• ホーム:じっくり内部の色を薄める
このダブルのアプローチにより、変色歯でも今より明るくできる可能性が高まります。
変色レベル別の対応
•軽度:わずかに黄色〜グレーの変色が見られる。デュアルホワイトニングで明るくあり十分な効果が期待できます。
•中度:はっきりとした縞模様が見られる。デュアルホワイトニングと、時間をかけたホーム追加で今の歯の色よりも明るい歯への改善を目指します。
•重度:濃いグレーや茶色の縞模様がくっきりと現れている。デュアルホワイトニングで明るくなるが完璧な改善には限界があるため、セラミック治療を推奨することもあります。
【治療法2】セラミック治療(ラミネートベニア・クラウン)
歯の表面を少し削って、セラミック製の被せ物や、薄い板状の「ラミネートベニア」を貼り付ける方法です。ホワイトニングで白くならない重度の変色にも、確実な効果が見られます。
<メリット>
•理想の色や形で作成することができる
•色の変色はほぼない
デメリット
•歯を削る必要がある
•費用が高め
歯科医院選びで後悔?失敗しないための3つのポイント

ニッチな歯の悩みに対応するホワイトニングは、通常のホワイトニング以上に専門的な知識と技術が求められます。
ニッチな悩みを解決するには、医院選びがとても大切です。
ポイント①専門性の高い歯科医院を見極める
・ホワイトニングの症例実績:ホームページやSNSで、特に今回のような特殊な変色に対応した実際の症例写真や記録があるか、確認してみましょう。
・カウンセリングの丁寧さや質:歯の状態や悩みを丁寧に聞いてくれ、複数の治療法やメリット・デメリットをきちんと説明してくれる歯科医院を選びましょう。
・専門スタッフの有無: 審美歯科やホワイトニングの専門医や専門スタッフが在籍している歯科医院は、より高度な治療が期待できます。
ポイント②カウンセリングで確認すべきこと
・治療計画の詳細: どのような治療法で、どのくらいの期間と回数がかかるのか、具体的に確認しましょう。
・治療の選択肢:1つだけの方法を押し付けるのではなく、自分に合った方法を複数提案してくれるかどうかも安心材料に繋がります。
- 費用の内訳:施術費用だけでなく、お支払い方法も確認すると良いでしょう。
- 後戻りへの対応:治療後の白さを維持するためのメンテナンス方法も事前に確認しておきましょう。
ポイント③無理のない治療法を提案してくれるか
- 歯の状態だけでなく、あなたのライフスタイルや予算、理想とする白さなどを考慮して、最適な提案をしてくれる歯科医院を選びましょう。患者とのコミュニケーションを重視し、不安や疑問を解消してくれる歯科医院は安心感が違います。
「あなたに合った方法を一緒に考える」というスタンスの歯科医を選ぶのがポイントです。
もっと知りたい!よくある質問
Q. 治療中痛みはありますか?
いいえ、基本的に強い痛みはありません。普段からしみたりする場合など、一時的に歯がしみるような知覚過敏が起こることがあります。しかし、これは通常1〜2日で治まり、痛みがひどい場合は薬剤や処置コントロールしたり、知覚過敏抑制剤を使用したりすることで対処できますので、ご安心ください。
Q. 効果はどのくらい続きますか?
ホワイトニングの白さは永久ではありません。食生活や日々の丁寧なセルフケアによって差が出ますが、3ヶ月〜半年に1度の定期的な歯科医院でのクリーニングやタッチアップで長く保つことが可能です。
Q.テトラサイクリン歯で悩んでいます。どのくらい改善しますか?
A.テトラサイクリン歯は通常の黄ばみと異なるため『真っ白』に仕上げるのは難しいです。ですが現時点のお色より明るくすることは可能です。
現在の歯の色、テトラサイクリン歯の変色のレベルにより改善方法も変わるため当院では事前のカウンセリングをしっかり時間をとって行っております。
段階的にトーンアップさせ、色ムラを少なくさせるよう、患者様ごとにゴールの白さを一緒に決めていきます。
まとめ

神経のない歯やテトラサイクリン歯の変色は、あなたの笑顔の自信を奪ってしまうかもしれません。しかし、諦める必要はありません。
あなたの笑顔を輝かせるために、まずは専門家に相談してみることが解決への第一歩です。
•神経のない歯には「インターナルブリーチ」
•テトラサイクリン歯には「デュアルホワイトニング」、重度なら「セラミック」
この記事が、あなたが笑顔を取り戻すための第一歩となることを願っています。
白い歯を取り戻して、自信を持って笑える毎日を手に入れましょう。
最後までお読みいただきありがとうございました。
神経のない歯の色についてお悩みの方に、ぜひ知っていただきたい情報でしたね。
こちらのブログではこれからも、ホワイトニングや矯正治療に関する情報を発信していきますので、皆様のお口の美と健康に少しでも役立てていただけますと幸いです。
山形市でのホワイトニングはデンタルサロンFuu✨🍀
👉ごとう歯科・矯正歯科クリニック公式LINEアカウント:https://lin.ee/UAGDkMQ
ホワイトニングについてもっと知りたい方はこちら:山形市でホワイトニングならごとう歯科・矯正歯科クリニック|白い歯の治療
過去のおすすめ記事:
【色で選ぶ?白さで選ぶ?】あなたに似合うホワイトニングの“ゴール”とは? | ごとう歯科・矯正歯科クリニック







