「歯並びは遺伝だから仕方ない」
そう思っている方はとても多いですが、実は歯並びの乱れ(歯列不正)は、遺伝だけで決まるものではありません。
日々の生活習慣や成長過程でのクセが、少しずつ積み重なって起こるケースが大半です。
歯並びが悪くなる原因を分かりやすく解説します。
目次
歯並びは「3つの要素」で決まる
歯並びは、主に次の3つの要素が複雑に関係して決まります。
- 骨格(顎の大きさ・形)
- 歯の大きさ・生え方
- 生活習慣・口腔周囲のクセ
このうち、3の生活習慣は後天的にコントロールできる要素です。
つまり、歯並びは「予防できる可能性がある」ということでもあります。
① 骨格(顎の大きさ・形)
歯は、顎の骨という「土台」の上に並びます。
この顎が小さいと、歯がきれいに並ぶスペースが足りず、ガタガタ(叢生)になりやすくなります。

特に現代人は
- 柔らかい食事が多い
- 噛む回数が少ない
- 顎をしっかり使わない生活
といった影響で、顎が十分に成長しにくい傾向があります。
昔の人に比べて顎が小さくなっている一方、歯の大きさはあまり変わっていないため、歯が並びきらない状態が起こりやすいのです。
② 歯の大きさ・生え方
歯の本数や大きさ、生える順番にも個人差があります。
- 歯が大きい
- 永久歯が早く生えすぎた
- 乳歯が早く抜けた/なかなか抜けなかった
- 生える向きが最初からずれている

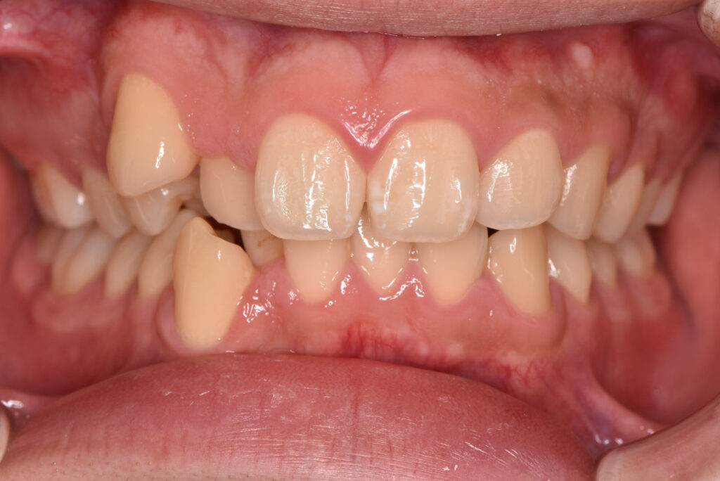
↑ 歯が大きいため並びきらない様子

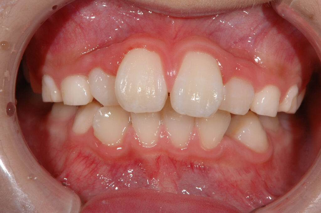
↑ 乳歯が早くに抜けたため、歯並びが崩れている様子
こうした要因があると、本来の位置からずれたまま歯が固定されてしまうことがあります。
特に乳歯の時期は重要で、乳歯は「いずれ抜けるから大丈夫」と思われがちですが、
実は永久歯の道案内役という非常に大切な役割を担っています。
③ 生活習慣・口腔周辺のクセ
ここが最も重要で、かつ見落とされがちなポイントです。
口呼吸
口呼吸が習慣化すると、
- 舌が正しい位置(上顎)に当たらない
- 口周りの筋肉のバランスが崩れる
- 上顎の横幅が狭くなる
結果として、出っ歯・ガタガタ・開咬などを引き起こしやすくなります。
舌のクセ(低位舌・舌突出癖)

本来、舌は安静時に上顎に軽く触れているのが正常です。
しかし、
- 舌が下に落ちている
- 飲み込むときに舌を前に突き出す
といったクセがあると、歯を内側・前方から押し続けることになり、歯並びが徐々に乱れていきます。
頬杖・うつ伏せ寝・横向き寝

これらは一見些細なクセですが、毎日・長時間行われることで、歯や顎に持続的な力がかかります。
歯は弱い力でも「長時間」加わると動いてしまうため、
- 片側だけ歯並びが悪い
- 噛み合わせが左右で違う
といった問題につながることがあります。
噛む回数が少ない食生活
柔らかい食事や早食いが続くと、
- 顎の成長が不十分になる
- 口周りの筋肉が弱くなる
結果として、歯並びを支える力が不足します。「よく噛むこと」は、歯並びにとっても非常に重要です。
スマホ社会の新たな影響

現代社会では、スマートフォンの長時間使用が歯並びにも影響を与えることがあります。下を向いた姿勢でスマホを見る時間が増えると、猫背になりやすく、首や顎の位置が前方へずれます。その結果、口呼吸や舌の位置異常を招き、歯を内側・前方から押す力のバランスが崩れます。こうした状態が習慣化すると、噛み合わせの乱れや歯並びの悪化につながる可能性があります。
歯並びは「少しずつ悪くなる」
歯並びは、ある日突然悪くなるものではありません。
多くの場合、
- 子どもの頃のクセ
- 成長期の生活習慣
- 大人になってからの姿勢や呼吸
これらが長い時間をかけて積み重なった結果として現れます。
だからこそ、気づいたときにはかなりズレていたということが起こりやすいのです。
早期に気づくことが最大の予防
歯並びの乱れは、見た目の問題だけでなく、むし歯・歯周病リスク、発音、顎関節への負担など、全身の健康にも影響します。
小さなサイン(口呼吸、舌の位置、噛み方)に早く気づくことが、
将来の大きな矯正治療を防ぐ第一歩になります。
歯並びが悪くならないためにできる予防と対策
― 今日から始められる生活習慣の見直し ―
「歯並びは矯正しないと治らない」
確かに矯正治療は有効な手段ですが、そもそも歯並びが悪くならないように予防することがとても重要です。
歯並びは、毎日のちょっとしたクセや習慣の積み重ねによって、良くも悪くも変化します。
ここでは、子どもから大人まで実践できる歯並び予防のポイントを説明していきます。
歯並び予防の基本は「正しい口の使い方」
鼻呼吸を習慣にする

なぜ鼻呼吸が重要なのか?
鼻呼吸ができていると、
- 舌が自然と上顎に収まる
- 口周りの筋肉バランスが整う
- 上顎が横に広がりやすくなる
結果として、歯が並ぶスペースが保たれやすくなります。
一方、口呼吸が続くと舌が下がり、歯列を内側から支える力が弱くなり、歯並びが乱れやすくなります。
今日からできる対策
- 日中、口が開いていないか意識する
- 鼻づまりがある場合は耳鼻科受診
正しい舌の位置を身につける

正しい舌の位置とは?
安静時の正しい舌の位置は、
- 舌先:上の前歯の少し後ろ(スポット)
- 舌全体:上顎に軽く吸い付くようにする
この状態が保たれると、歯列は内側から適切に支えられます。
舌の位置が悪いとどうなる?
- 出っ歯、開咬、ガタガタの歯並びなどの原因になります。
よく噛む食生活を意識する
噛むこと=顎の成長と歯並びの土台作り
よく噛むことで、
- 顎の骨がしっかり成長する
- 口周りの筋肉が鍛えられる
- 歯列を支える力が強くなる
特に成長期の子どもにとって、噛む回数は非常に重要です。
実践ポイント
- 食事は一口30回を目標に
- 柔らかいものばかりに偏らない
- 根菜類・肉・繊維の多い食品を取り入れる
歯並びを悪くするクセを見直す
注意したいクセ
- 頬杖
- うつ伏せ寝・横向き寝
- 片側噛み
- 歯ぎしり・食いしばり
- 指しゃぶり・爪噛み
- 猫背
- ストレートネック(スマホ首)
これらは、歯に弱くても長時間の力を加え、歯列をゆっくりと変化させます。
対策
- 姿勢を正す
- 就寝時の寝姿勢を意識
- 歯ぎしりがある場合は歯科受診
- スマホやタブレットの位置を目線の高さにして操作する
子どもの場合は「早めのチェック」が最大の予防

乳歯期・混合歯列期にできること
- 乳歯のむし歯を防ぐ
- 乳歯を早く失わない
- 口のクセを早期に修正
この時期に適切な管理を行うことで、将来、抜歯を伴う矯正を避けられる可能性があります。
保護者の方は仕上げ磨きを徹底しましょう。
大人でも歯並び予防は遅くない
大人になってからも
- 歯周病
- 噛み合わせの乱れ
- 舌のクセ
によって歯並びは変化します。
定期的な歯科検診と、「歯を支える環境」を整えることが、歯並びの維持につながります。
日々の歯磨きを丁寧に行いましょう!
歯並びに関するよくある質問(Q&A)
Q:歯並びはやっぱり遺伝ですか?
A:一部は遺伝ですが、すべてが遺伝で決まるわけではありません。
確かに、顎の大きさや形、歯の大きさ・本数などには遺伝的な要素があります。しかし、歯並びの乱れの多くは、成長過程での生活習慣や口の使い方が大きく影響しています。
例えば、口呼吸や舌のクセ、頬杖などが長期間続くと、歯や顎に持続的な力が加わり、歯並びが少しずつ変化していきます。兄弟や親子でも歯並びが違うことが多いのは、生活習慣やクセが一人ひとり異なるためです。
Q:大人になってから歯並びが悪くなることはありますか?
A:はい、大人になってから歯並びが変わることは珍しくありません。
歯は骨にしっかり固定されているように見えますが、実際には弱い力でも長時間加わることで動きます。頬杖や歯ぎしり、食いしばり、舌のクセなどが続くと、歯並びや噛み合わせが徐々に変化することがあります。また、歯周病によって歯を支える骨が減ると、歯が傾いたり、隙間ができたりすることもあります。定期検診で噛み合わせや歯周病のチェックを受けることが、歯並び悪化の予防につながります。
Q:子どもの歯並びは、何歳ごろから気にしたほうがいいですか?
A:3〜4歳頃から「歯並びそのもの」よりも「口の使い方」を見ることが大切です。
この時期は顎の成長が始まる重要な時期で、口呼吸をしていないか、舌が正しい位置にあるか、しっかり噛めているかを確認することが将来の歯並びに大きく影響します。乳歯の時期にこれらのクセを放置すると、永久歯が生えるスペースが不足し、歯並びが乱れやすくなります。早めに気づき、必要に応じて歯科で相談することが、将来の矯正治療を軽減する第一歩になります。
歯並びについてのまとめ
歯列不正は「骨格 × 生活習慣 × 歯の生え方」の三つが組み合わさって起こります。
遺伝だけが原因ではなく、多くの場合は 日常の小さなクセ が大きな影響を与えます。
しかし、原因が分かれば 生活習慣の見直しや早期のケアによって予防や改善が十分に可能となります。
歯並びを守るために必要なのは、特別な道具や難しい治療ではありません。
- 正しい呼吸
- 正しい舌の位置
- 正しい噛み方
- 悪いクセを減らす意識
- 姿勢を正す
これらを日常生活の中で積み重ねることが、将来の歯並びと口の健康を守ります。
こちらのブログではこれからも、矯正治療や歯科治療に関する情報を発信していきますので、皆様のお口の健康に少しでも役立てていただけますと幸いです。
山形市での矯正はごとう歯科・矯正歯科クリニック✨🍀
👉ごとう歯科・矯正歯科クリニック公式LINEアカウント:https://lin.ee/UAGDkMQ
もっと知りたい方はこちら:大人の矯正治療 | ごとう歯科・矯正歯科クリニック
過去のおすすめ記事:シーラントって何?子どものむし歯予防に効果的な理由と注意点をわかりやすく解説 | ごとう歯科・矯正歯科クリニック







