皆さんは、歯列矯正と聞いてどのようなことを思い浮かべますか?
多くの人が装置が表側に付いた「表側矯正(ラビアル矯正)」をイメージすると思います。
しかし、最近ではより目立たない矯正方法として「舌側矯正(リンガル矯正)」が注目を集めています。
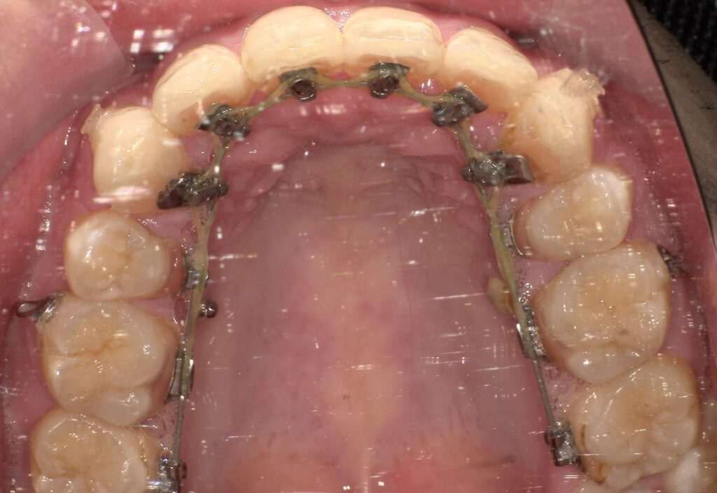
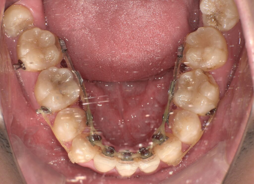
舌側(ぜっそく)矯正とは、歯の裏側(舌側)に矯正装置(ブラケットやワイヤー)を装着して歯並びを整える治療方法です。
矯正装置がほとんど見えないため、人目を気にせずに治療が出来ます。
人にばれずに矯正がしたい人にとって非常に魅力的な治療方法の一つとなっています。
本記事では、舌側矯正の特徴、メリット・デメリット、適応症例、治療の流れについて詳しく解
説します。


目次
舌側矯正の特徴

舌側矯正は、外からは装置が見えにくく会話中や笑った時にも気づかれにくい点が最大の特徴で
す。
審美性を重視する成人、特に営業職や接客業、芸能関係の仕事に従事する人々からの需要が
高まっています。
この矯正方法は、通常の表側矯正と同じようにさまざまな歯列不正に対応でき、軽度から中等度の不正伵合だけでなく、重度の歯列不正にも適応可能です。
ただし、矯正装置の取り付けが難しく高度な技術を必要とするため、舌側矯正ができる医院は限られています。
舌側矯正のメリット

・目立たない:装置が見えないので人目を気にせずに治療ができる。最大のメリットは装置が
見えないこと。日常生活で矯正していることを知られたくない人に最適です。
・虫歯リスクの軽減:歯の裏側は唾液が循環しやすく、唾液には自浄作用があるため、虫歯や
歯垢のリスクが比較的低くなるという報告もあります。
・スポーツ・楽器演奏への影響が少ない:表側矯正に比べ、唇や頬に装置が当たりにくく吹奏
楽器や接触スポーツへの影響が少ない場合があります。
舌側矯正のデメリット
・発音のしづらさ:装置が舌に近いため、特に装着初期は「サ行」や「タ行」などが発音しに
くくなることがあります。数週間で慣れる人が多いですが、個人差があります。
・違和感と痛み:舌が装置に触れるため、口内炎や違和感が出ることがあります。慣れるまで
1~2ヶ月かかるケースもあります。
・治療費が高い:表側矯正に比べて費用が高めです。理由としては、専門性の高い技術が必要であることや、オーダーメイドの装置を使用することが挙げられます。
舌側矯正に向いている人
・矯正装置を他人に気づかれたくない人
・見た目に配慮しつつしっかりと矯正治療を受けたい人
ただし、重度の骨格性の不正伵合など、すべての症例に適応できるわけではありません。
精密検査と専門医の診断に基づいて、適応の可否を判断することが大切です。
治療の流れ

舌側矯正の治療の一般的な流れは以下の通りです。
1.初診相談・精密検査:カウンセリング、レントゲン撮影、口腔内写真、歯型採取などを行い、
治療計画を立てます。
2.装置の作製と装着:歯の裏側に装着するため、患者様ごとにのブラケットをオーダーメイド
します。
3.定期調整:約4週間ごとに通院し、歯の動きに合わせてワイヤーやゴム交換やを行います。
4.保定期間:矯正終了後は歯並びを安定させるため、リテーナー(保定装置)を装着します。
舌側矯正とインビザラインの違い
目立たない矯正方法としては、「インビザライン」などのマウスピース矯正も人気ですが、舌側矯
正は固定式であるため、自己管理が不要という利点があります。
一方で、インビザラインは取り外し可能で清掃がしやすく、痛みが少ないという特徴があります。
どちらが適しているかは、生活スタイルや治療目標によって異なります。
装置が取れたなどのトラブルがあった場合の対処法
舌側矯正中には「ブラケット(矯正装置)が取れてしまった」「ワイヤーが外れた・曲がった」「装置が口内に当たって痛い」などのトラブルが発生することがあります。
これらのトラブルが起きた際には、自己判断で対応せず、速やかに矯正医に連絡を取って指示を仰ぐことが大切です。
ブラケットが外れた場合:
ブラケットが歯から外れてしまった場合は、その部分の歯が計画通りに動かなくなるため、治療計画や期間に影響を及ぼす可能性があります。再装着が必要なため外れたらすぐにご連絡ください。外れたブラケットは捨てずに清潔な状態で保管し次回の来院時に持参してください。
ワイヤーが外れた・飛び出した場合:
ワイヤーがずれて口内に刺さるような状態になると、痛みや口内炎の原因になります。応急処置としては、矯正用ワックスを使って飛び出した部分をカバーするのも一時的な対処法として痛みを軽減させることもできます。必ず矯正歯科に連絡し、できるだけ早い受診を心がけましょう。
装置が当たって痛い、口内炎ができた場合:
舌側矯正では、装置が舌に触れるため、口内炎や擦れによる痛みが生じることがあります。症状が軽度であれば、矯正用ワックスを装置の角に貼って保護することで緩和できる場合があります。痛みがひどい場合や、治まらない場合には、装置の調整が必要になることもあるため、遠慮せず相談してください。
定期通院を忘れた・遅れてしまった場合:
矯正治療は定期的な調整が前提で進行します。予定通りに調整を受けないと、歯の動きが計画とずれたり、装置に過度な力がかかって破損することがあります。スケジュールに変更があった場合は、必ず早めに予約を取り直しましょう。
緊急時に連絡が取れない場合:
夜間や休日などで主治医にすぐに連絡がつかない場合でも、装置が飲み込まれる危険や、激しい出血がない限り、落ち着いて対応することが大切です。痛みの応急処置やワックスの使用で一時的に対処し、次の診療時間にすぐ連絡するようにしてください。場合によっては、地域の歯科医療センターで応急処置が受けられることもあります。
舌側矯正は見た目の美しさを保ちながら、本格的な歯列矯正ができる魅力的な治療法ですが、その一方で、装置の管理やトラブル対応には注意が必要です。
認定医による丁寧なサポートと、患者自身の適切な対応があってこそ、治療はスムーズに進行します。
トラブルが起きた際にも焦らず、正しい対処を行うことが大切です。
世界舌側矯正歯科学会(WSLO)認定医が在籍

当院では、舌側矯正において国際的に高い評価を受けている**世界舌側矯正歯科学会(World Society of Lingual Orthodontics:WSLO)**の認定医が治療を担当しております。
WSLOは、舌側矯正の技術と知識の発展・普及を目的として設立された国際的な学術団体であり、認定医資格を取得するには、厳しい症例審査と実技的な評価をクリアする必要があります。
この認定は、単に舌側矯正の知識を有するだけでなく、「高度な臨床技術」「豊富な症例経験」「国際基準に準じた治療実績」があることを証明するものです。
そのため、WSLO認定医のもとで治療を受けることは、患者様にとって非常に大きな安心材料となります。
特に舌側矯正は、歯の裏側という限られたスペースで行う繊細な治療であり、医師の技術力や判断力によって治療結果に大きな差が出る分野です。
当院では、認定医が一人ひとりの症状に合わせたオーダーメイドの治療計画を立案し、審美性と機能性を両立させた高品質な矯正治療を提供しております。
「矯正していることを周囲に気づかれたくない」「見た目を気にせず本格的に歯並びを整えたい」という方は、ぜひWSLO認定医による当院の舌側矯正をご検討ください。
専門性と安心感を両立した治療をお届けいたします。
まとめ

舌側矯正は、審美性を重視する人にとって非常に魅力的な治療方法でありながら、治療には高度な技術と注意が必要な方法でもあります。
装置の見た目に抵抗があるけれど、しっかりとした矯正治療を望む方には特におすすめです。
矯正治療を始める際は、専門医とよく相談し、自分にとって最適な方法を見つけることが成功のカギです。
症例紹介
治療前


治療後


| 主訴 | 上の歯出てる、口元出てる |
| 診断名 | 上顎前突 |
| 年齢 | 20代男性 |
| 治療内容 | ブラケットを用いたインプラントアンカー2本埋入 |
| 抜歯非抜歯 | 抜歯あり 上44下55EXT |
| 期間 | 動的治療25ヶ月 |
| 費用 | 総額1,364,000(税込) |
| リスク、副作用 | 歯痛、虫歯、歯周病、口内炎、発音障害、歯根吸収、歯肉退縮、歯髄炎、顎関節症、歯の咬耗、エナメルクラック |
最後までお読みいただき、ありがとうございました!
このブログが、矯正治療を考えている方の不安や疑問を少しでも軽くできれば嬉しいです。
山形市の矯正はごとう歯科で🦷✨
ご相談の方はこちらから→ 医院公式LINEアカウント:https://lin.ee/UAGDkMQ
関連記事(矯正に関するお話)🌱
いよいよ矯正スタート!装置をつける当日の流れ | ごとう歯科・矯正歯科クリニック


