
ブラケット矯正を進めている患者さんから、
「装置が付いたままでもホワイトニングできますか?」
というご相談は非常に多く寄せられます。
結論としては――
ブラケット矯正中でもホワイトニング『可能』です。
ただし、矯正中のホワイトニングを行う前に適切な治療計画は欠かせません。
そこで当院では、矯正中でも、ホワイトニング専任の歯科衛生士が担当し、矯正・クリーニング・ホワイトニングを全てワンストップで行える体制で、最適なケアを提供しています。
特に当院のように、矯正とホワイトニングの両方を専門的に扱う場合、
・どのタイミングで始めるとムラが少ないか
・どのくらいの頻度でケアすると効果的か
・どの薬剤やホームケア用品が合うか
などを総合的に判断しながら進めています。
本記事では、矯正中でも安心してホワイトニング出来る方法をわかりやすく解説しながら、失敗しないためのポイントも紹介します。
矯正治療中でも“白さ”を諦めたくない方に役立つ内容になっていますので、ぜひ参考にしてみてください。
目次
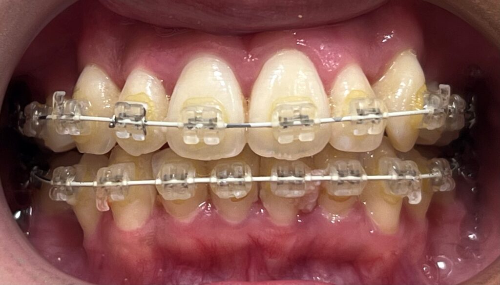
ブラケット矯正中のホワイトニングは色むらが出来ますか?
矯正中にホワイトニングを行う際、「色むらが出やすい」と言われる理由は、歯の表面にブラケットやワイヤーなどの装置が装着されていることで、薬剤が歯面に均一に付きにくくなるためです。
ホワイトニングは、歯の表面だけを「白く塗る」ものではなく、薬剤を歯の内部に浸透させ、象牙質に沈着した着色成分を分解して明るくする仕組みです。表面からの浸透量にわずかな違いが生じると、最終的な白さに差として現れることがあります。
特に、ブラケットの周囲は凹凸ができやすく、歯磨きが難しくなることで着色汚れが残りやすい環境にもなります。その状態でホワイトニングを行うと、もともとのステイン(着色)量の違いが影響し、白さの仕上がりが不均一に見えるケースもあります。
ただしこれは「必ず色むらになる」「装置のところだけが白くならない」という意味ではなく、矯正装置が付いていない状態と比べると、均一性のコントロールが難しくなるという意味合いです。そのため、矯正中は「大きくトーンアップしたい」というよりも、「清潔感のある明るさを保つ」という位置づけでホワイトニングを取り入れるのが現実的といえます。
矯正中のホワイトニングのメリットはありますか?

はい、あります。
ブラケット矯正中にホワイトニングを取り入れることは、白さを目指すだけでなく、お口全体のケア意識を高めるという大きなメリットがあります。
矯正中はどうしても装置のまわりに着色や汚れがつきやすく、歯の表面にも細かな傷が付きやすい状態です。しかしホワイトニングを行うことで、「今まで以上に綺麗に保ちたい」「丁寧に磨こう」という意識が自然と高まり、結果として歯磨きの質が大きく向上する方が非常に多く見られます。
さらに当院では、知覚過敏を抑える硝酸カリウムや、歯の再石灰化を助けるヒドロキシアパタイトを配合したトリートメントケアを併用し、歯を強くしながら白くしていくホワイトニングを行っています。これは単に「今白くする」だけでなく、歯を強くしながら未来の着色汚れをつきにくくするための予防ケアという意味でも非常に重要なポイントです。
矯正中は見た目の変化に目がいきがちですが、同時に「歯の質そのものを整える」ことで、矯正終了後の仕上がりの美しさにも大きな差が出てきます。
当院では、矯正中でも「ホワイトニング=我慢」にならない、快適さと予防を両立したケアを大切にしています。
矯正中のホワイトニングはいつから始めるのが正解?
矯正中のホワイトニングは、「特別なこと」ではなく、日頃のケアの延長として取り入れるのがベストなタイミングだと私たちは考えています。特におすすめなのは、ブラケット装置を装着した“直後”からホームホワイトニングケアを始め、歯を大切にする習慣を自然と身につけていくことです。装置が付いた瞬間から、「これからはより丁寧に歯を守っていこう」「きれいに保とう」という意識が自然と高まり、毎日の歯みがきやセルフケアの質が一段と上がります。
矯正中はどうしても汚れが溜まりやすく、着色やプラークが付きやすい状態になります。せっかく時間をかけて歯をきれいに並べているのに、虫歯や歯周病で状態を悪くしてしまっては本当にもったいないことです。
ですが、この時期からホワイトニングケアを取り入れておくことで、“白くする”だけでなく、“汚れを溜めにくくする習慣”が身につくのが最大のメリットです。まさにホワイトニングを「特別な美容ケア」ではなく、「日常の歯のトリートメント」として使っていく感覚です。
もちろん、即効性を求めるイベント前や、矯正終了後の仕上げとしてホワイトニングを行うのもとても効果的ですが、装置が付いている期間をどう過ごすかで、矯正後の歯の美しさには大きな差が出ます。 だからこそ、“やれるタイミングになってから”ではなく、“装置が付いた今この瞬間から”ケアを始めることが、結果的に一番キレイへの近道になるのです。
矯正とホワイトニングを別々の医院で行うと、どんな問題がありますか?
矯正治療とホワイトニングを、それぞれ別の医院で行うこと自体は不可能ではありません。しかし実際には、治療の連携が取れないことで、仕上がりや安全性に影響が出てしまうケースも少なくありません。
例えば、矯正の進行状況や歯の動き、知覚過敏の有無などの情報がホワイトニング側に正確に共有されていないと、本来避けたほうが良いタイミングで施術が行われてしまったり、しみやすさや色ムラのリスクが高まることもあります。また、装置の種類によって「できるホワイトニング・できないホワイトニング」が異なるにも関わらず、その判断が難しくなってしまうのもデメリットのひとつです。
その点、矯正とホワイトニング、さらにクリーニングまでをワンストップで行える医院であれば、矯正の進み具合、歯の状態、着色のつき方、セルフケアの状況までを一括して把握したうえで、その時点で最も適したケアを提案できるという大きな強みがあります。
「今日はホワイトニングを進める時期」「今はクリーニングを優先すべき時期」など、すべてをトータルで判断できる環境が、矯正中の口元の美しさを安定して保つ最大のポイントなのです。
装置の種類によって、できるホワイトニングは違いますか?
はい、大きく異なります。
矯正と一口に言っても、装置の種類によって選べるホワイトニング方法は変わります。
表側ブラケット矯正の場合

歯の表面に装置が付くため、オフィスホワイトニング(医院で行う施術)は基本的に不可になります。その代わり、当院では「ブラケットが付いていても使用できるホームホワイトニング専用ケア」を取り入れた方法をご提案しています。
裏側ブラケット矯正の場合

歯の裏側に装置が付くため、表側のホワイトニングは通常通り行うことが可能です。
そのため、
・矯正用ホームホワイトニング
・オフィスホワイトニング
の両方を組み合わせたデュアルホワイトニングも可能です。
マウスピース矯正(インビザラインなど)の場合

マウスピースは取り外しができるため、ホーム・オフィスともに制限なくホワイトニングが可能で、こちらもデュアルホワイトニングに適しています。
このように、「どの矯正装置を使っているか」によって、最適なホワイトニング方法は変わります。
当院ではワンストップで矯正もホワイトニングも管理できるため、無理のない最適な組み合わせをご提案できるのが大きな強みです。
よくある質問(Q&A)
Q. ブラケット矯正中でも自宅でできるホワイトニングケアはありますか?

A.はい。当院では、ブラケット装置が付いたままでもご自宅でケアできるよう、専用ライトと過酸化水素9%配合のホワイトニングペン、着色汚れに特化した歯磨き粉、さらに知覚過敏を抑えながら歯の質を強化するトリートメントを組み合わせたホームケア用のセットもご用意しています。矯正治療の状況や生活スタイルに合わせて、無理のない方法を一緒に選択していきます。
Q.矯正中のホワイトニングは、どれくらいで効果を実感できますか?
A.個人差はありますが、早い方では1〜2週間ほどで歯のトーンが明るくなったと感じる方も多いです。特にホームホワイトニングは回数を重ねてしっかり内部の黄ばみを白くしていく方法のため、自然な仕上がりになりやすいのが特徴です。矯正中は「劇的に白くする」よりも、「清潔感のある白さをキープする」という意識で進めると、満足度が高くなります。日常のケアとして無理なく続けられるのも魅力です。
Q.矯正中にホワイトニングをすると、装置が外れたりしますか?
A.いいえ。通常のホワイトニングによって、ブラケットやワイヤーが外れることはありません。ただし、強くこすりすぎたり、誤ったセルフケアを行うとトラブルにつながる可能性もあります。そのため、矯正中にホワイトニングを行う場合は、使い方や注意点をしっかり確認した上で進めることが大切です。当院では、装置や歯の状態を確認した上で、安全に配慮した方法をご案内していますので、不安がある場合も安心してご相談いただけます。
Q.矯正が終わったあとにも、もう一度ホワイトニングは必要ですか?
A.はい、色ムラを整えるだけでなく、歯の質まで整える意味でも、もう一度ホワイトニングするのをおすすめしています。矯正終了後は、装置が外れた歯の表面には、細かな傷が多く存在している状態になります。この状態のままにしておくと、そこに汚れや着色が入り込みやすくなってしまいます。そのため当院では、これらの傷を修復・補強しながら行うホワイトニングを“最終仕上げ”としておすすめしています。白さを整えるだけでなく、歯面にツヤも出て、汚れや着色がつきにくい歯に整えられるのも大きなメリットです。
まとめ:矯正中でも、白さと清潔感はあきらめなくていい


👆ブラケット装置がついていても、薬剤を浸透させ内部の黄ばみにアプローチできます。
ブラケット矯正中でも、ホワイトニングは十分に可能です。
装置の種類によって適した方法は異なりますが、正しい知識と計画のもとで進めることで、矯正中でも清潔感のある白い歯を保つことは十分にできます。
また、矯正中は着色や汚れがつきやすいからこそ、ホワイトニングをきっかけに歯を綺麗に保とうという意識が高まり、セルフケアの質が大きく向上するというメリットもあります。
さらに、プロによるクリーニングと組み合わせることで、見た目の美しさだけでなく、将来の虫歯や着色の予防にもつながるトータルケアが実現します。
当院では、「矯正 × クリーニング×ホワイトニング」
をすべてワンストップで管理し、患者さんが安心して前向きに美しさを目指せる環境を整えています。
矯正とクリーニング、ホワイトニングまでをワンストップで行える環境だからこそ、お一人おひとりに合った最適なタイミングと方法を提案できます。
「矯正中だから仕方ない」ではなく、「矯正中だからこそ、口元の美しさを育てていく」そんな前向きな選択を、私たちは全力でサポートしています。
こちらのブログではこれからも、矯正治療や歯科治療に関する情報を発信していきますので、皆様のお口の健康に少しでも役立てていただけますと幸いです。
山形市での矯正はごとう歯科・矯正歯科クリニック✨🍀
👉ごとう歯科・矯正歯科クリニック公式LINEアカウント:https://lin.ee/UAGDkMQ
ホワイトニングについてもっと知りたい方はこちら:山形市でホワイトニングならごとう歯科・矯正歯科クリニック|白い歯の治療
過去のおすすめ記事:親の歯並びは子供に遺伝するの? | ごとう歯科・矯正歯科クリニック







