ブログ

すきっ歯は放置して大丈夫?原因次第では早めの対処が安心です


前歯のすき間が気になる「すきっ歯」。見た目の悩みだけでなく、発音のしづらさやむし歯リスクの増加にも関係します。

この記事では、すきっ歯の原因・放置するデメリット・治療法ごとの特徴を解説。自分に合った改善方法が明確になります。


すきっ歯とは?

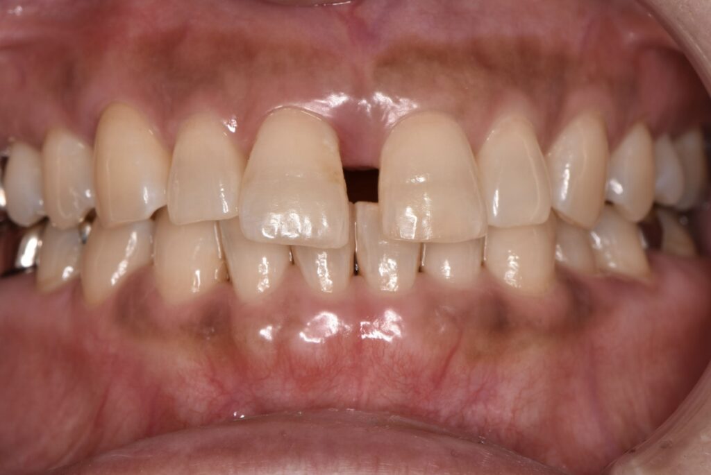
すきっ歯(正中離開)

すきっ歯とは、歯と歯の間に目立つすき間がある歯並びのことを指します。専門的には「空隙歯列(くうげきしれつ)」と呼ばれ、特に上の前歯の中央が開いている状態は「正中離開(せいちゅうりかい)」といいます。

【すきっ歯の代表的なタイプ】

前歯の中央だけが空いているタイプ
全体的に歯と歯の間が空いているタイプ
歯が小さく、バランス的にすき間が目立つタイプ

見た目は似ていても原因は異なり、治療法の選択にも大きく関わります。


すきっ歯になる原因

すきっ歯は単純に「歯が開いている」わけではなく、背景に複数の要因があります。

【先天的な原因(生まれつきの要因)】①歯と顎のサイズ不調和

歯が小さい、あるいは顎が大きい場合、歯列内にスペースが余り、すき間が生じます。これを歯と顎のサイズ不調和といいます。特に、通常よりも小さい歯である矮小歯(わいしょうし)が前歯にあると、隣の歯との間に空隙ができやすくなります。

矮小歯

【先天的な原因(生まれつきの要因)】②先天性欠如歯(歯の本数不足)

生まれつき歯の本数が足りない状態を先天性欠如歯といいます。本来あるはずの歯が存在しないため、そのスペースが埋まらず、すき間が残ります。特に上顎側切歯(前歯の横の歯)に多く見られます。

先天的な歯の欠如

【先天的な原因(生まれつきの要因)】③ 埋伏歯(まいふくし)

歯が顎の骨の中に埋まったまま出てこない状態を埋伏歯といいます。本来萌出して歯列を支えるはずの歯が機能しないため、空隙が生じることがあります。

【先天的な原因(生まれつきの要因)】④上唇小帯の異常

上唇と歯ぐきをつなぐ筋(上唇小帯)が太く、前歯の間に入り込んでいると、物理的に歯が閉じにくくなります。これは正中離開の代表的な原因の一つです。

上唇小帯

後天的要因は、成長後や成人期に影響するものです。

【後天的な原因(生活習慣・病気など)】①舌癖(ぜつへき)

舌で前歯を押す癖があると、少しずつ歯が外側へ移動します。無意識に舌が前に出る「低位舌」や、飲み込むときに前歯を押す「異常嚥下癖」も原因になります。

舌癖

【後天的な原因(生活習慣・病気など)】②歯周病

歯周病が進行すると、歯を支える骨が減少し歯が動きやすくなります。また、奥歯の噛み合わせ(バーティカルストップ)が弱くなることで噛む力のバランスが崩れ、前歯に負担が集中します。その結果、前歯が少しずつ広がり、すきっ歯が目立つようになることがあります。

【後天的な原因(生活習慣・病気など)】③抜歯後の放置

奥歯などを抜いたまま放置すると、周囲の歯が移動し、前歯部に空隙が生じることがあります。


すきっ歯を放置するリスク

滑舌が悪い様子

見た目の問題だけと考えがちですが、機能面にも影響します。

①発音障害
前歯にすき間があると、空気が漏れて「サ行」「タ行」が発音しづらくなります。

②むし歯・歯周病リスク
食べ物が挟まりやすく、プラークが残りやすくなります。結果としてむし歯や歯肉炎のリスクが高まります。

③噛み合わせの不安定
前歯で噛み切れないため奥歯に負担が集中し、顎関節に影響することもあります。


すきっ歯の治療方法

原因・年齢・すき間の大きさによって選択肢は変わります。
ごとう歯科では矯正歯科と一般歯科どちらも行なっているため、幅広い選択肢の中から治療方法を選ぶことができます。

矯正治療

歯を動かして物理的にすき間を閉じる方法です。

・ワイヤー矯正
・マウスピース矯正

メリット
・根本原因にアプローチできる
・歯を削らない

デメリット
・治療期間が長い(半年~2年)
・費用が高い


ダイレクトボンディング(レジン)

歯に樹脂を盛り足してすき間を埋めます。

メリット
・1日で終わることが多い
・費用が抑えられる

デメリット
・経年劣化や変色
・大きなすき間には不向き


セラミック治療

ラミネートベニアや被せ物で形を整えます。

メリット
・審美性が高い
・変色しにくい

デメリット
・健康な歯を削る場合がある
・費用が高い


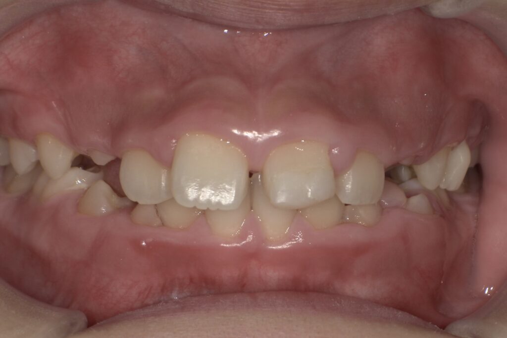
子どものすきっ歯は正常?(みにくいアヒルの子の時代)

こどものすきっ歯(正中離開)

子どもの前歯にすき間があると、心配になる保護者の方も多いですが、乳歯期に歯と歯の間にすき間があるのは正常な成長過程です。これは、将来生えてくる永久歯のためのスペースを確保する大切な役割があります。永久歯は乳歯よりも大きいため、ある程度のすき間があった方が、きれいに並びやすいとされています。

また、前歯が永久歯に生え変わる時期には、「みにくいアヒルの子の時代」と呼ばれる歯並びの変化が見られることがあります。この時期は、前歯が少し外側に開いたり、すきっ歯のように見えることがありますが、犬歯(糸切り歯)が生えてくることで歯列が押され、自然にすき間が閉じていくことが多いです。ただし、次のような場合は歯科医院での相談をおすすめします。

・永久歯が生えそろってもすき間が閉じない
・上唇小帯(上唇と歯ぐきをつなぐ筋)が強く、前歯の間に入り込んでいる
・舌で歯を押す癖(舌癖)がある

歯並びの成長には個人差があるため、気になる場合は早めに歯科医院で確認してもらうと安心です。


矯正治療で治してもまたすきっ歯になる?

舌のエクササイズの冊子

矯正治療をし、すき間が閉じたとしても舌癖があると再びすきっ歯になる可能性があります。矯正治療で大切なのは、歯を動かすことだけでなく、原因を取り除くことです。

ごとう歯科では、治療に入る前に必要な方のみに対して、お口や舌のトレーニング(口腔筋機能療法)を指導しています。舌の正しい位置や飲み込み方を身につけることで、歯に余計な力がかからない環境を整えます。さらに、矯正治療中も舌の使い方を注意深く観察し、その都度適切な指導を行います。これにより、歯並びの安定性を高め、再発リスクを最小限に抑えることを目指しています。


すきっ歯についてのよくある質問

Q.すきっ歯は自然に治りますか?

すきっ歯(正中離開など)は、乳歯期や混合歯列期では顎の成長や永久歯の萌出に伴って自然に閉じることがあります。特に前歯の交換時期には一時的に隙間が広がることもありますが、その後改善する場合もあります。しかし、永久歯が生えそろった大人の場合は、自然に治る可能性はほとんどなく、原因に応じて矯正治療などの対応が必要になります。

Q. すきっ歯治療は痛いですか?

すきっ歯の治療で痛みが出るかどうかは、方法によって異なります。ワイヤー矯正やマウスピース矯正では、歯を動かし始めた直後に軽い圧迫感や鈍い痛みが2~3日ほど生じることがありますが、多くは一時的なものです。一方、レジン充填やセラミック治療は歯を大きく動かさないため、処置中・処置後ともに強い痛みはほとんどありません。

Q. どの治療が一番おすすめですか?

矯正治療は、すきっ歯の原因を根本から改善できる点で特におすすめの方法です。歯を適切な位置に少しずつ動かすことで、見た目だけでなくかみ合わせや将来的なトラブル予防にもつながります。すき間が大きい場合や歯並び全体に問題がある場合にも対応でき、長期的な安定が期待できます。時間はかかりますが、機能面と審美面の両方を重視したい方に適した治療法です。


すきっ歯のまとめ

歯科医師・歯科衛生士

すきっ歯は見た目の問題だけでなく、発音やむし歯・歯周病リスク、かみ合わせのバランスにも関わる歯並びです。原因は先天的なものから生活習慣、歯周病までさまざまであり、状態によって適した治療法も異なります。短期間で整える方法もありますが、根本的な改善と長期的な安定を目指すなら矯正治療が有効です。

大切なのは「すき間を閉じること」だけでなく、その原因を正しく見極めること。

気になる方は、まずは歯科医院でご自身の状態を確認し、納得できる治療法を選択しましょう。


すきっ歯の症例紹介

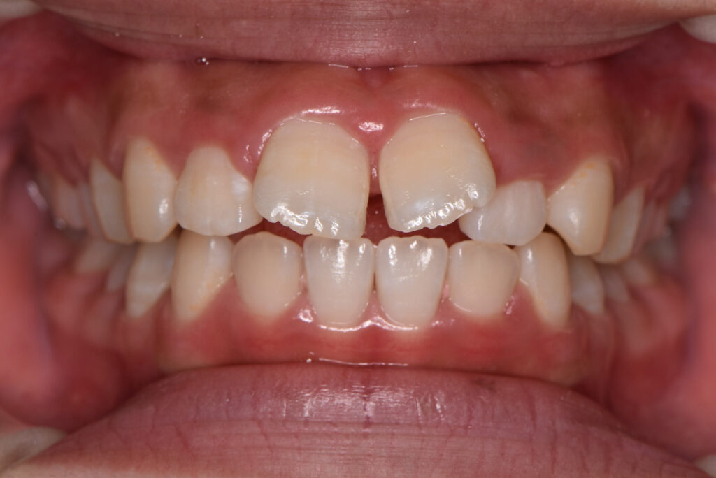
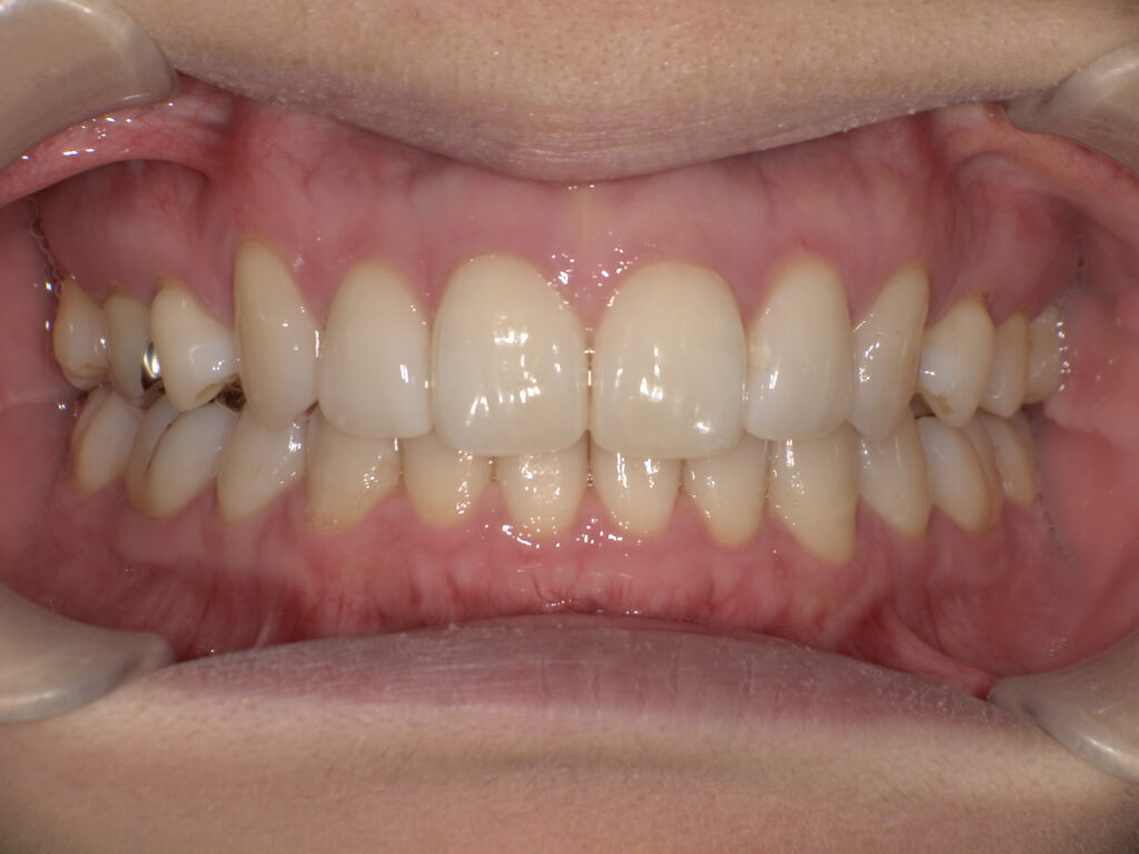
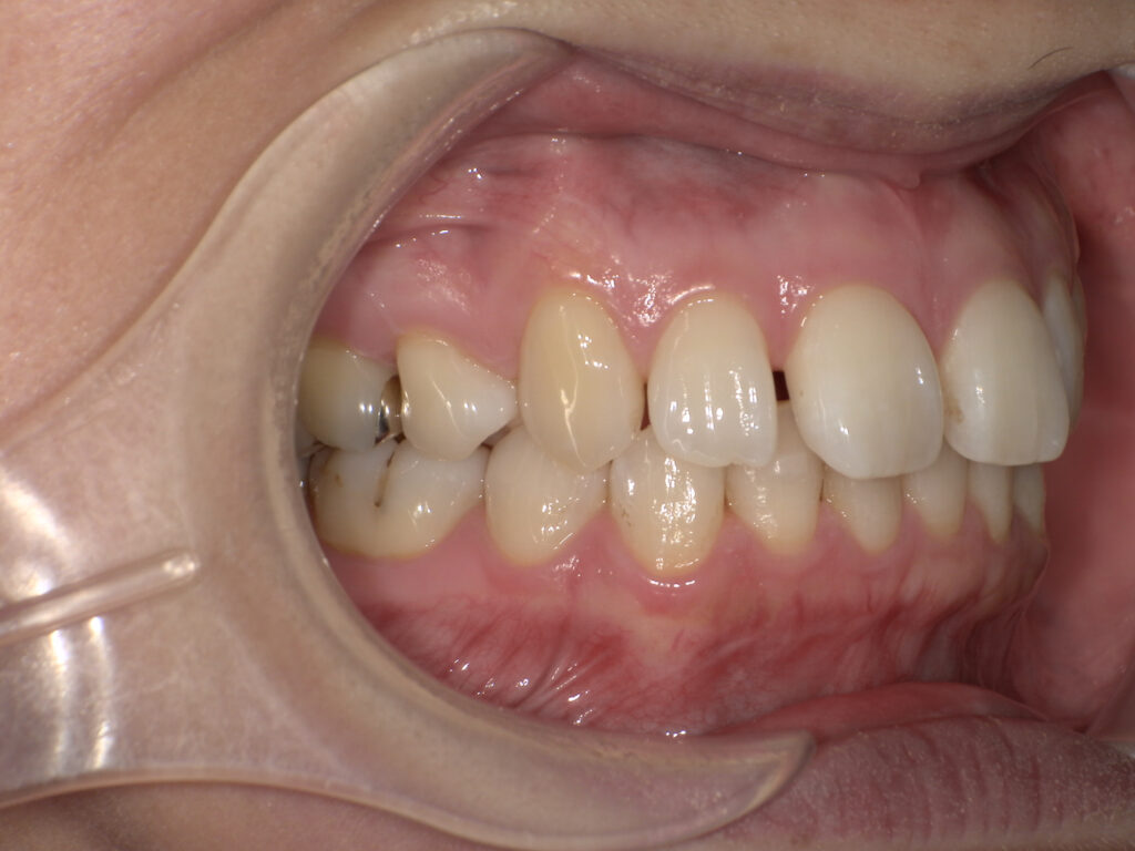
【ワイヤー矯正】

矯正前(正面・側貌)

矯正後(正面・側貌)

主訴出っ歯、すきっ歯
初診年齢15歳
治療内容、装置頬側ブラケットを用いた永久歯全体の矯正治療、アンカースクリュー
抜歯の有無抜歯有
(左右下顎第二小臼歯、左右上顎第一小臼歯抜歯)
治療期間20ヶ月
費用総額1,097,800円(税込)
(相談料、検査料、診断料、動的治療費、抜歯費、アンカースクリュー埋入、除去費、保定期間料等含む)
治療のリスク、副作用歯の移動に伴う痛み
上下顎前歯部の歯根吸収
装置による口内炎
ブラッシング不良によるむし歯、歯周炎

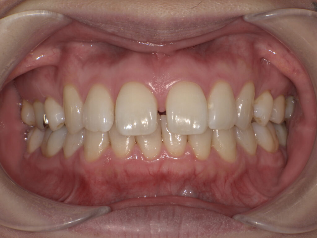
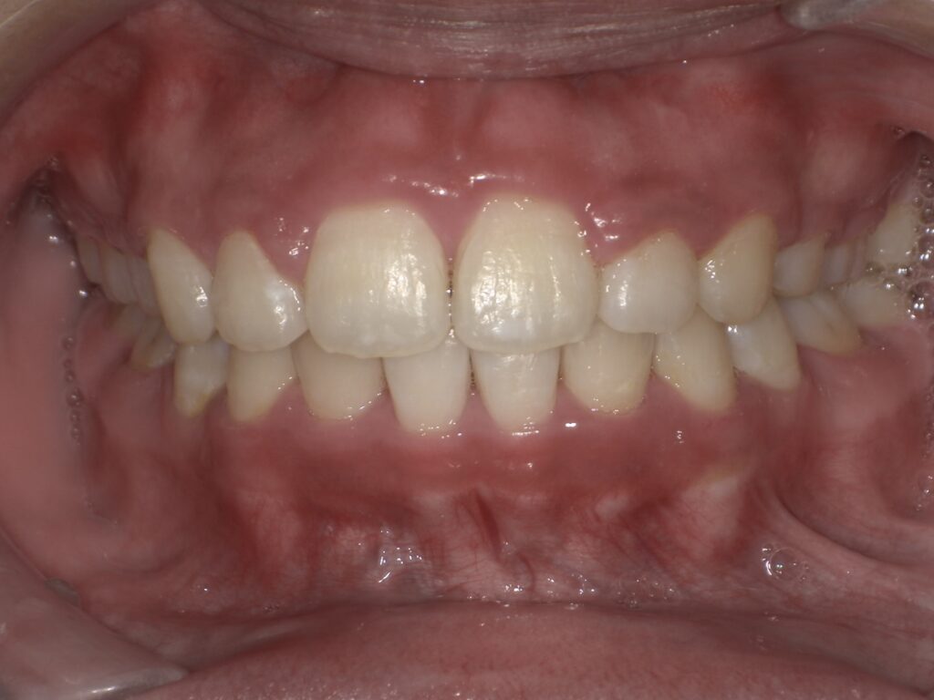
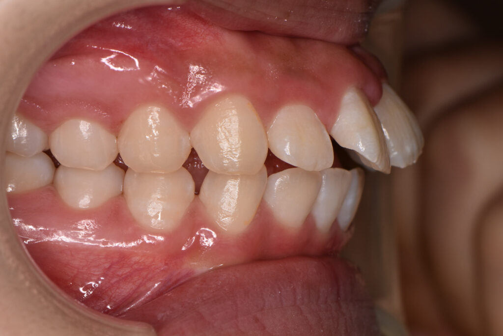
【マウスピース矯正】

矯正前(正面・側貌)

矯正後(正面・側貌)

主訴すきっ歯
初診年齢38歳
治療内容、装置アライナー
抜歯、非抜歯非抜歯
治療期間8ヶ月
費用473,000円
(相談料、検査料、診断料、動的治療費、保定期間料を含む)
治療のリスク、副作用歯の移動に伴う痛み
上下顎前歯部の歯根吸収
ブラッシング不良によるむし歯、歯周炎

こちらのブログではこれからも、矯正治療や歯科治療に関する情報を発信していきますので、皆様のお口の健康に少しでも役立てていただけますと幸いです。

山形市での矯正はごとう歯科・矯正歯科クリニック✨🍀

👉ごとう歯科・矯正歯科クリニック公式LINEアカウント:https://lin.ee/UAGDkMQ

もっと知りたい方はこちら:部分矯正 | ごとう歯科・矯正歯科クリニック

過去のおすすめ記事:なぜ歯を磨いても口が臭うの?原因は舌苔にあった!正しい舌クリーニングで口臭予防 | ごとう歯科・矯正歯科クリニック

矯正治療する時の歯科医院はどう選べば良いですか?日本矯正歯科学会の認定医を選びましょう | ごとう歯科・矯正歯科クリニック

歯並びが悪くなる原因とは?遺伝だけではありません!日常生活に潜む意外な落とし穴  | ごとう歯科・矯正歯科クリニック


ごとう歯科・矯正歯科クリニック

デンタルサロンfuu

よくある質問
求人情報
矯正歯科学会 認定医取得プログラム

カウンセリングの
ご予約・各種お問い合わせは
こちらまで
*お急ぎの方は、お電話でご予約ください。

駐車場11台完備/
山交バス「山形市役所」
バス停下車5分

診療時間
月 火 水 金 8:30〜13:00 / 14:00〜18:00
8:30〜13:00 / 14:00〜16:00
木 日 祝日 休診日

〒990-0047山形県山形市旅篭町3-3-45
フリーダイヤル/0120-383-730
電話番号/023-642-1818

teech

© GOTO DENTAL & 0RTHODONTIC OFFICE
お電話 ご予約 インスタグラム TikTok デンタルサロンfuu
お電話 ご予約 無料矯正相談 インスタグラム TikTok デンタルサロンfuu