― 反対咬合は、成人でも矯正治療だけで改善できる場合があります
反対咬合(はんたいこうごう)は、「受け口」とも呼ばれる噛み合わせで、下の歯が上の歯より前に出ている状態を指します。
鏡を見たときの口元の印象から気づく方も多く、「手術をしないと治らないのでは?」「もう大人だから難しいのでは?」と不安に感じる方も少なくありません。
しかし、成人の反対咬合であっても、必ず手術が必要になるわけではありません。
噛み合わせの状態や原因によっては、手術を行わず、矯正治療のみで改善できるケースもあります。
この記事では、成人の反対咬合に焦点を当て、
「そもそも反対咬合とはどんな噛み合わせなのか」
「なぜ起こるのか」
「手術をしなくても治るのか」
「治すことでどんなメリットがあるのか」
について、症例写真をご覧いただくことを前提に、わかりやすく解説していきます。
目次
反対咬合とは、どんな噛み合わせのこと?

通常の噛み合わせでは、上の歯が下の歯より少し前に位置しています。
反対咬合では、この関係が逆になり、下の歯が前に出ている状態になります。
見た目では軽く見える場合でも、噛むときの力のかかり方が不自然になり、歯や顎に負担がかかっていることもあります。
「今は特に困っていない」と感じていても、長い時間をかけて影響が出てくるケースも少なくありません。
成人の反対咬合は、なぜ起こるのでしょうか?
成人の反対咬合の原因は、一つだけではありません。
大きく分けると、顎のバランスと歯の位置の両方が関係しています。生まれつき、上顎がやや小さい、あるいは下顎が前に出やすいといった骨格的な特徴を持っている方もいます。こうした特徴は遺伝の影響を受けることもありますが、必ず遺伝するわけではありません。
そのほかにも、歯の傾きや歯並びの乱れ、普段の噛み方のクセなどが少しずつ積み重なって、気づいたときには反対咬合になっていた、という方もいらっしゃいます。
この場合は、顎の骨自体に大きな問題があるというよりも、歯の並び方や位置関係が主な原因になっていることが多いです。
反対咬合を治さずにいると、どんな影響がある?

反対咬合を放置していると、噛む力のバランスが崩れ、一部の歯に強い力がかかり続けることで、歯がすり減ったり、欠けやすくなったりすることがあります。
また、顎に負担がかかり、顎関節に違和感や痛みが出ることもあります。
歯並びが複雑な場合は歯みがきがしにくくなり、虫歯や歯周病のリスクが高まることもあります。
症状が出ていなくても、将来的にトラブルにつながる可能性がある点は知っておきたいところです。
成人の反対咬合は、手術をしなくても治せますか?

はい、症例によっては手術を行わず、矯正治療のみで改善できる場合があります。
歯の位置や傾きが主な原因となっている反対咬合や、上下の顎のズレが比較的軽度なケースでは、
矯正装置を使って歯並びと噛み合わせを整えることで改善が期待できます。
今回掲載している症例写真も、手術を行わずに矯正治療のみで改善した成人のケースです。
一方で、顎の骨のズレが大きい場合は、矯正治療だけでは十分な改善が難しく、外科的な治療を併用することが検討されることもあります。
手術が必要かどうかは、どのように判断するのでしょうか?

手術が必要かどうかは、見た目だけで判断することはできません。
レントゲンや口腔内の検査を行い、噛み合わせのズレが「歯によるものか」「顎の骨によるものか」を詳しく確認します。その結果をもとに、矯正治療のみで対応できるのか、外科的な治療を併用したほうがよいのかを判断します。
まずはご自身の噛み合わせがどのタイプなのかを知ることが、治療の第一歩になります。
ごとう歯科・矯正歯科クリニックでは、どんな治療の相談ができますか?

ごとう歯科・矯正歯科クリニックでは、反対咬合の治療において
矯正治療のみで対応できるケースと
外科的な治療を併用したほうがよいケース
どちらの可能性も視野に入れた診断を行っています。
まず精密検査を行い、噛み合わせのズレが
・歯の位置によるものなのか
・顎の骨のバランスによるものなのか
を丁寧に確認します。
そのうえで、患者さま一人ひとりに合った治療方法をご提案します。
検査の結果、外科的な治療が適していると判断された場合は、
提携している医療機関と連携しながら治療を進めることが可能です。
治療全体を見据えて連携することで、安心して治療を受けていただける体制を整えています。
「まずは矯正治療だけで治せるのか知りたい」
「手術が必要かどうかをきちんと判断してほしい」
といったご相談にも対応しています。
治療方法を最初から限定せず、検査結果をもとに無理のない治療方針を一緒に考えることを大切にしています。
反対咬合を治すと、どんな変化が期待できる?
反対咬合を治療すると、口元の印象が変わることはもちろんですが、それだけではありません。
噛み合わせが整うことで、上下の歯をバランスよく使って噛めるようになり、「食事がしやすくなった」と感じる方も多くいらっしゃいます。
また、前歯がきちんと噛み合うようになることで、発音が楽になったり、話しやすくなったと感じる方もいます。噛む力が一部の歯に集中しなくなるため、歯や顎への負担がやわらぎ、歯のすり減りや顎関節への影響を抑えることにもつながります。
さらに、歯並びが整うことで歯みがきがしやすくなり、虫歯や歯周病の予防につながります。
これは、将来にわたって自分の歯を健康に保つためにも大きなメリットです。
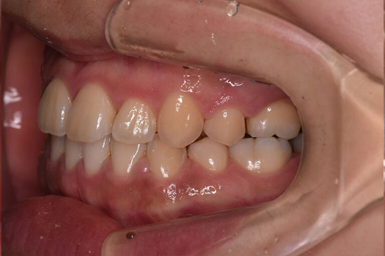
症例紹介
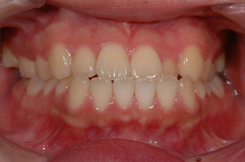
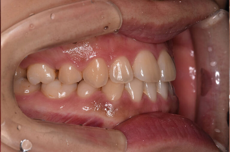
今回は反対咬合に対して、外科手術を行わずに矯正治療のみで改善した成人の症例をご紹介します。
「反対咬合=手術が必要」と思われがちですが、噛み合わせの状態によっては、今回のように矯正治療だけで改善が可能なケースもあります。
治療前後の変化を実際の症例写真でご覧いただくことで、
反対咬合がどのように改善するのかを、イメージしていただければと思います。
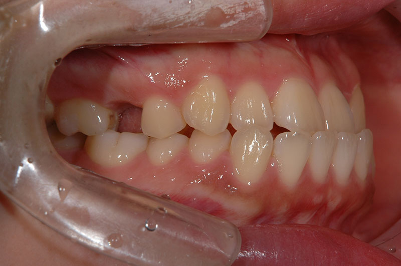
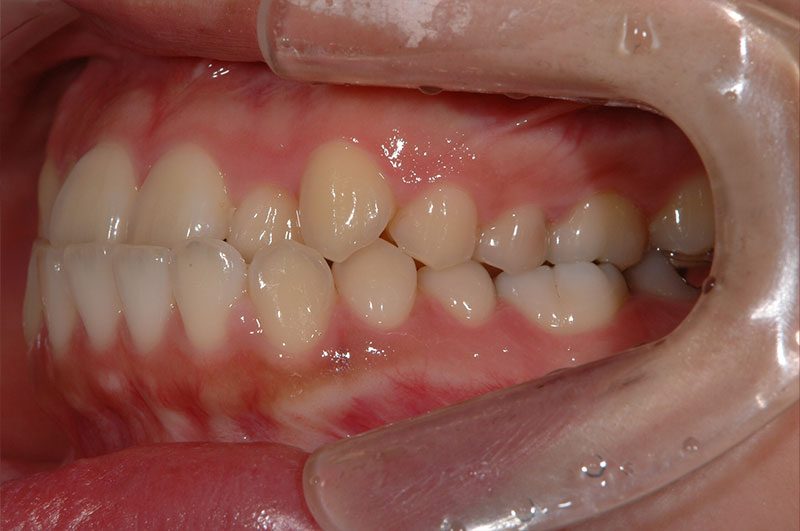
症例の概要(手術なし・成人の反対咬合)
術前



術後



| 主訴 | 反対咬合 |
| 初診時年齢 | 24歳 |
| 治療内容・使用した装置 | 頬側ブラケットを用いた永久歯全体の矯正治療、アンカースクリュー |
| 抜歯の有無 | 左右下顎第一小臼歯、左側上顎第二小臼歯抜歯 |
| 治療期間 | 約24ヶ月 |
| 費用 | 総額819,500円(税込) (相談料、検査料、診断料、動的治療費、抜歯費、アンカースクリュー埋入、除去費、保定期間料等含む) |
| 治療に伴うリスク・副作用 | 歯の移動に伴う痛み、上下顎前部の歯根吸収、装置による口内炎、ブラッシング不良によるむし歯、歯周炎 |
よくある質問(Q&A)
Q1. 成人でも、本当に矯正治療だけで反対咬合は治りますか?
状態によっては、成人の方でも矯正治療だけで改善できることがあります。実際に、歯の位置や傾きが主な原因になっている場合は、矯正装置を使って噛み合わせを整えることで、手術を行わずに治療できるケースもあります。ただし、顎の骨のズレが大きい場合には、矯正治療だけでは十分な改善が難しく、外科的な治療を併用したほうがよいと判断されることもあります。見た目だけでは分かりにくいことが多いため、まずは検査を受けて、ご自身の噛み合わせの状態を確認することが大切です。
Q2. 反対咬合を治さずにいると、将来どんな影響がありますか?
反対咬合を放置すると、噛む力が一部の歯に集中し、歯のすり減りや欠けが起こりやすくなります。また、顎に負担がかかり、顎関節の不調につながることもあります。歯みがきがしにくくなることで虫歯や歯周病のリスクが高まることもあり、将来の歯の健康を考えると早めの相談が安心です。
Q3. ごとう歯科・矯正歯科クリニックでは、手術が必要な場合も相談できますか?
はい、可能です。ごとう歯科・矯正歯科クリニックでは、まず精密検査を行い、矯正治療のみで対応できるか、外科的な治療を併用したほうがよいかを判断します。手術が必要と判断された場合でも、提携している医療機関と連携しながら治療を進めることができるため、治療全体を安心して任せていただけます。
まとめ|反対咬合の治療は、まず正しい診断から
反対咬合は、成人だからといって必ず手術が必要になる噛み合わせではありません。
噛み合わせの状態によっては、手術を行わず、矯正治療のみで改善できるケースもあります。
ごとう歯科・矯正歯科クリニックでは、矯正治療と外科的治療の両方を視野に入れた診断を行い、患者さまにとって最適な治療方法を一緒に考えています。
気になる方は、まずは検査を受け、ご自身の噛み合わせの状態を知ることから始めてみてください。
こちらのブログではこれからも、矯正治療や歯科治療に関する情報を発信していきますので、皆様のお口の健康に少しでも役立てていただけますと幸いです。
山形市での矯正はごとう歯科・矯正歯科クリニック✨🍀
👉ごとう歯科・矯正歯科クリニック公式LINEアカウント:https://lin.ee/UAGDkMQ
もっと知りたい方はこちら:噛み合わせ治療 | ごとう歯科・矯正歯科クリニック
過去のおすすめ記事:矯正治療で開咬を解消する方法とは?効果的な治療法と注意 | ごとう歯科・矯正歯科クリニック
『冬の乾燥』口の中も要注意!?この冬は″潤うお口″で健康に過ごしましょう | ごとう歯科・矯正歯科クリニック
なぜ表側マルチブラケット矯正は選ばれ続けるのか?それは幅広い症例に対応できる『王道の矯正』だからです! | ごとう歯科・矯正歯科クリニック







