
表側マルチブラケット矯正は、歯の表面(唇側)に小さなブラケット(装置)を接着し、ワイヤーを通して少しずつ歯を動かす矯正方法です。
最も一般的で、歯科大学でも基本として教育される「王道の治療法」です。
近年は目立ちにくいセラミックブラケットなど審美性の高い素材が増えており、見た目の負担も減っています。
目次
なぜ表側マルチブラケット矯正が「王道」と呼ばれるのか?

表側マルチブラケット装置は弱い力で細かいコントロールがしやすく、個々の歯を理想的な位置へ動かせることが最大の特徴です。
歯根の方向まで含めた三次元的な移動が可能で、最終的な噛み合わせの完成度が高くなります。
幅広い症例に対応

✓ 叢生(ガタガタ)
✓ 開咬
✓ 出っ歯
✓ 受け口
✓ 過蓋咬合
✓ 歯のねじれ
✓ 抜歯症例
これら複雑な症例でも歴史が長いことから臨床データも豊富なため安心して選べる治療です。
表側マルチブラケット矯正の仕組みは?(症例紹介)
基本構造
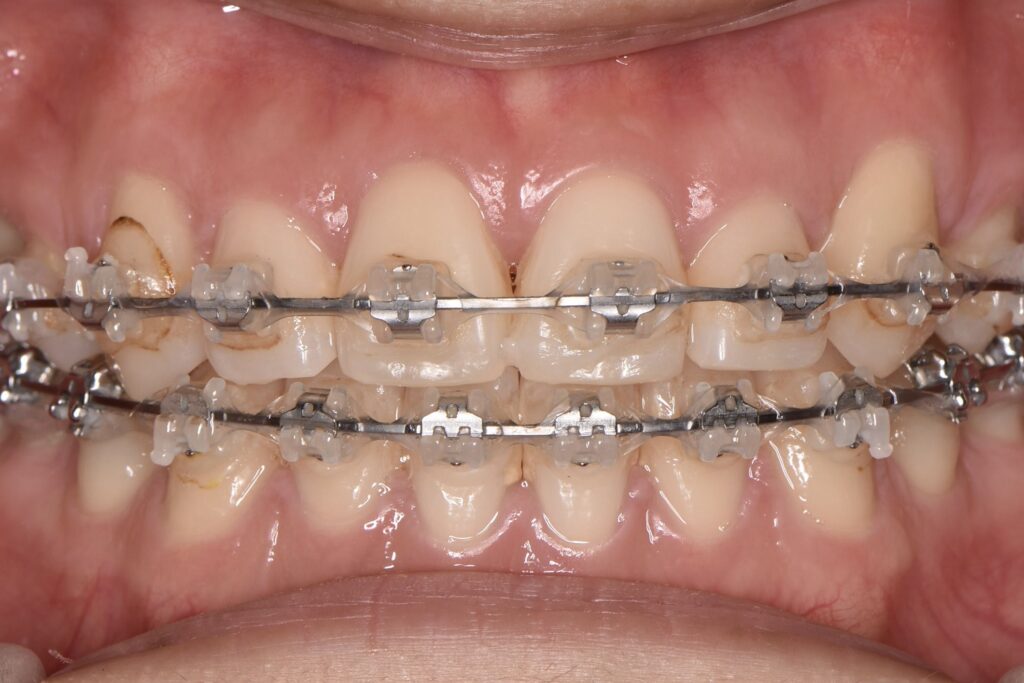
1. ブラケット(歯の表面についている四角い装置)
2. ワイヤー(歯を動かす力を生む)
3. 結紮線(けっしせん)(ワイヤーを固定)
4. 補助装置(ゴム・スプリングなど
ブラケットは歯の表面に一つ一つ最適な角度で接着され、ワイヤーが持つ弾性「元に戻ろうとする力」を利用して少しずつ歯を動かします。
歯が動く仕組み

ワイヤーの弾性によって、歯に常に弱く、持続的な力がかかることで歯の根を支えている顎の骨である歯槽骨が吸収・再生し、歯が移動していきます。これは科学的に証明されたメカニズムであり、この力を細かく調整しながら理想の位置を目指します。
ブラケット装置の種類
矯正治療と聞くと、銀色の金属ブラケットが目立つイメージを持つ方が多いと思います。
当院では見た目にも配慮し、前歯部分はセラミック製の白いブラケットを使用しています。
歯の色になじむため口元の印象が自然で、矯正中でも笑顔に自信を持って過ごしていただけます。

【当院使用のセラミックブラケット】
〜症例紹介〜
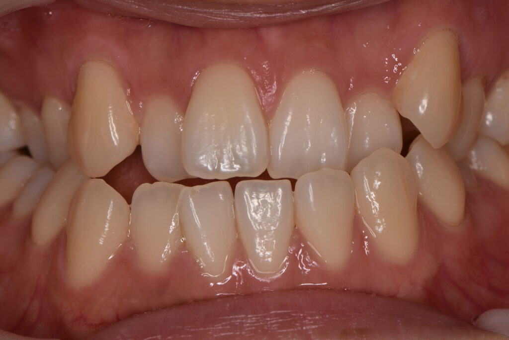
主訴:上の歯のがたつき
初診年齢:35歳
性別:男性
治療内容、装置:表側マルチブラケット装置
抜歯・非抜歯:抜歯
治療期間:治療中
費用:約¥1,061,500(相談料、検査料、診断料、動的治療費、保定期間料等含む)
治療のリスク・副作用:歯の移動に伴う痛み、上下顎前歯部の歯根吸収、装置による口内炎、ブラッシング不良によるむし歯、歯周炎

【治療前↑】


【治療途中↑】

【治療後↑】
主訴:歯のがたつき、反対咬合
初診年齢:24歳
性別:女性
治療内容、装置:表側マルチブラケット装置、下顎骨形成術
抜歯・非抜歯:抜歯
治療期間:15ヶ月
費用:約¥189,630(検査料、診断料、動的治療費、保定期間料等含む)
治療のリスク・副作用:歯の移動に伴う痛み、上下顎前歯部の歯根吸収、装置による口内炎、ブラッシング不良によるむし歯、歯周炎
期間・通院頻度
治療期間は症例にもよりますが約1年〜2.5年となっております。
重度の叢生や骨格性の不正咬合の場合、3年以上となることもあります。
調整は月1回程度で、細かく歯の動きをコントロールします。
痛みはどれくらい?
表側マルチブラケット装置装着時に違和感が生じることはあります。
装着直後数日は、歯が浮いたような感覚や、食事時の「押される痛み」を感じることが多いです。
これはワイヤーの力によるもので、通常は2〜5日ほどで軽減します。
また、ブラケットやワイヤーが唇や頬に当たり口内炎など炎症が起きることがあります。
慣れるまでは保護ワックスを使うことで改善します。
表側マルチブラケット矯正のメリット・デメリットは?
メリット
• あらゆる症例に対応できる
• 歯の細かいコントロールが可能
• 歴史が長く臨床データが豊富
• 推定治療期間内に終わることが多い
デメリット
• 表側に装置が見える
• 食事やブラッシング時に慣れが必要
• 装置の違和感がある
• 口内炎ができやすい
向いている人・向いていない人
表側矯正が向いている人
• 確実な仕上がりを目指したい
• 複雑な症例で治療したい
• できるだけ短期間で終わらせたい
表側矯正が向いていない人
• とにかく装置を見せたくない
• 食事やブラッシングの工夫が難しい
• 口の中に装置があるのが苦手
表側マルチブラケット矯正の治療の流れは?

STEP1:初診・相談
悩みや希望を聞き、口腔内を確認します。
STEP2:精密検査
レントゲン写真(パノラマ、セファロ、CT)口腔内写真、
型取り(もしくはスキャン)を行い、噛み合わせや骨格の資料をとります。
STEP3:診断結果の説明
歯科医師による歯の移動計画、抜歯の有無、期間、費用、リスク説明を行います。
STEP4:装置装着
歯にブラケット装置をつけ、ワイヤーを通します。
当院では抜歯が必要な場合は同日に抜歯を行います。
STEP5:調整
月に1回、ワイヤー交換や調整を行い、歯を動かしていきます。
STEP6:装置撤去・保定
理想の位置に近づいたら装置を外し、保定装置(リテーナー)で後戻りを防止します。
後戻り対策は必須

矯正後は保定装置(リテーナー)で歯を固定し、周囲の骨が安定するまで時間をかけます。
《使用目安時間目安》
治療直後:1日20時間以上装着
3ヶ月~半年:1日12時間~8時間
半年以降:就寝時のみ(夜間のみの使用を継続)
※リテーナーの使用時間は個人差があります。
歯科医師が矯正後の経過を見て使用時間の調整を行いますので指示に従いましょう。
「矯正が終わった=完了」ではなく、保定期間は治療の一部として考えることが重要です。
医院選びのポイント
経験・症例数
表側マルチブラケット矯正はドクターの技術差が出る治療です。公益社団法人日本矯正歯科学会の認定医が在籍している歯科医院を選ぶことで、トラブルが減り、理想の仕上がりに近づけます。
検査の充実度
CT、セファロ分析など科学的根拠に基づく診断は、仕上がりの差に直結します。
治療説明の丁寧さ
患者が理解できる言葉で説明してくれるかが重要です。
当院では公益社団法人日本矯正歯科学会の認定医からの説明だけではなく
カウンセラーからも説明がありますので安心して治療に取り組めます。
よくある質問
Q1. 表側マルチブラケット矯正は痛いですか?
痛みの感じ方には個人差がありますが、装置装着後の2〜5日間に「歯が押されるような痛み」を感じることが多いです。これはワイヤーの弾性力によって歯が動き始める自然な反応で、一般的に数日でおさまります。日常生活に支障が出るほどの激しい痛みはほとんどありません。口内炎や擦れに対しては保護ワックスで軽減できます。治療が進むほど痛みは少なくなる傾向にあります。
Q2. 表側マルチブラケット矯正はどれくらいの期間が必要ですか?
症例によりますが、平均は1〜2.5年です。叢生や骨格性の不正咬合などがある場合は3年以上かかることもあります。矯正期間は「歯をどれほど移動させる必要があるか」と「骨の再生速度」によって決まります。表側ブラケット矯正はワイヤーで細かく力を調整できるため、骨や歯に無理をせず、安全に効率よく治療できることが特徴です。終了後は保定装置(リテーナー)で後戻り防止期間が必要です。
Q3. 表側マルチブラケット矯正とマウスピース矯正はどちらが良いですか?
どちらが優れているかではなく、症例によって適性が異なります。仕上がりの精度や三次元的な歯の移動が必要なケース、抜歯症例、複雑な歯並びでは表側矯正が適しています。一方、軽度の歯列不正や審美性を重視する場合、マウスピースが選択肢になります。公益社団法人日本矯正歯科学会の認定医による診断を受け、あなたの歯並びに最適な治療法を決めることがもっとも重要です。
Q4. 表側マルチブラケット矯正は目立ちにくくできますか?
一般的なメタルブラケットは銀色のため目立ちますが、当院ではセラミックブラケットと呼ばれる白ブラケット装置を前歯に使用しています。セラミックブラケットを使用することで「透明〜乳白色」に近い見た目になり、日常会話の距離ではほとんど気づかれない場合もあります。前歯部分だけでもセラミックブラケット装置に変える事により従来より口元の違和感が少なくなっています。
Q5. 表側マルチブラケット矯正中に食べてはいけないものはありますか?
基本的に大きな制限はありませんが、硬いもの・装置に付きやすいもの・粘着性が強いものは注意が必要です。例えば、フランスパン、氷、ナッツ、キャラメル、ガム、ポップコーンはブラケットが外れたり、ワイヤーが歪む原因になることがあります。矯正部品が外れてしまった場合矯正期間が長引く可能性があるのですぐに歯科医院に連絡をしましょう。また、装置装着と同時に抜歯を行う為、抜歯直後はおかゆやゼリーなど柔らかい物を食べ傷口を刺激しないようにしましょう。
まとめ

「歯並びを整えたいけれど、どの矯正方法が自分に合うのかわからない…」そう悩む人は多くいます。
表側マルチブラケット矯正は、幅広い症例に対応でき、歯を三次元的に動かし、仕上がりの精度が高い王道の矯正治療です。装置が見えるデメリットはあるものの、信頼性と確実性を重視する場合に非常におすすめです。
こちらのブログではこれからも、矯正治療や歯科治療に関する情報を発信していきますので、皆様のお口の健康に少しでも役立てていただけますと幸いです。
山形市での矯正はごとう歯科・矯正歯科クリニック✨🍀
👉ごとう歯科・矯正歯科クリニック公式LINEアカウント:https://lin.ee/UAGDkMQ
矯正治療についてもっと知りたい方はこちら:よくある質問 | ごとう歯科・矯正歯科クリニック
過去のおすすめ記事:「私の歯並び、直したほうがいいのかな…?」🦷矯正が必要な歯並びについて解説します!迷ったらまずは相談へ✨ | ごとう歯科・矯正歯科クリニック


