
歯並びの乱れは見た目だけでなく、噛み合わせの不調による頭痛・肩こり・消化不良など全身の不調につながることがあります。「自分は矯正が必要なのか?」と迷う方も多いはずです。
この記事では、矯正が必要な歯並びの特徴や原因、放置によるリスク、治療のメリットまでをわかりやすく解説します。軽度でも早めに相談することで、健康と自信を大きく高めることができます。
専門医の診断を基に自分に合った選択をしましょう!
目次
矯正が必要とされる主な歯並びの種類
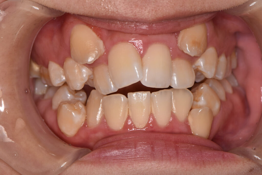
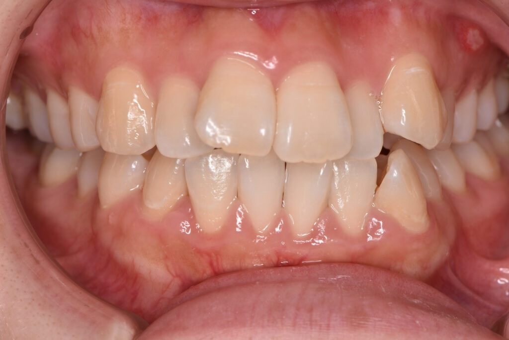
歯並びの乱れは「不正咬合」と呼ばれ、見た目だけでなく機能面でも問題を生じます。矯正が必要と判断されるケースは、日常の噛みやすさや健康に影響が出るレベルです。咀嚼効率を20~30%低下させるデータもあり、早期介入が重要です。以下で代表的なものを挙げます。
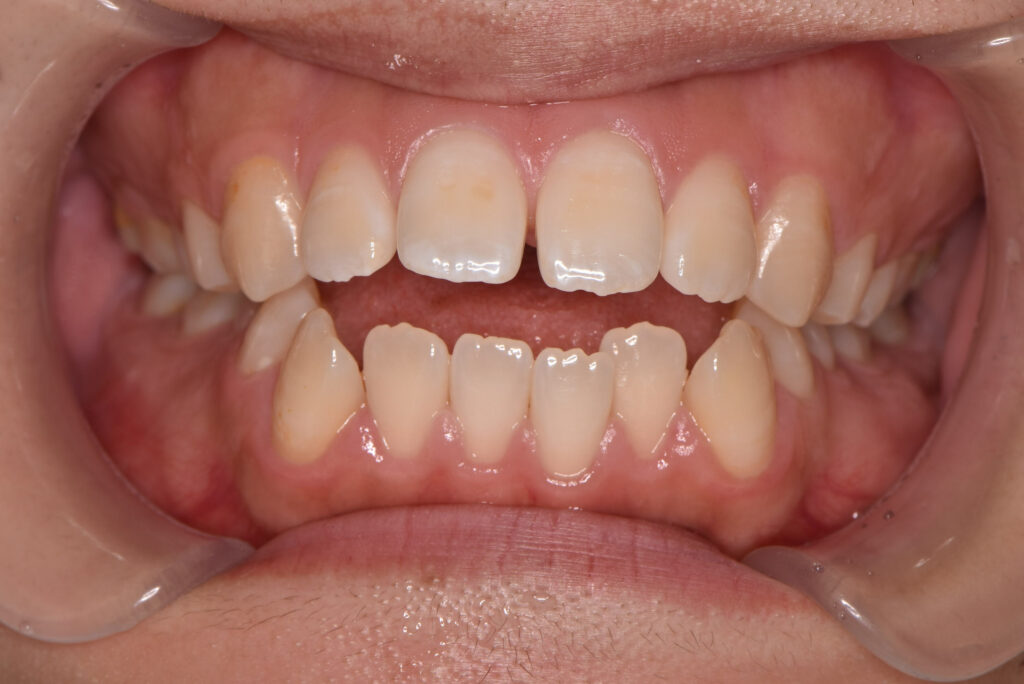
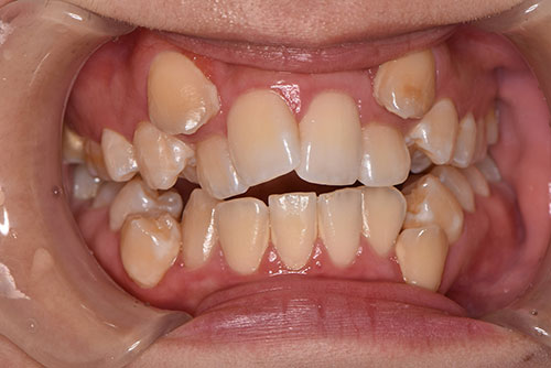
叢生(そうせい):歯が重なり合うガタガタの状態
叢生は、顎のスペースが不足し、歯がデコボコに並ぶ状態です。八重歯もこれに含まれます。原因は遺伝的な顎の小ささや、乳歯の早期喪失による永久歯のズレです。現代の食生活(柔らかい食事中心)で顎が発達しにくくなっているのも一因です。

この状態を放置すると、歯ブラシが届きにくく虫歯や歯周病のリスクが高まります。矯正で歯を並べるスペースを確保し、ワイヤーやマウスピースで整えます。治療期間は1~2年程度が目安です。
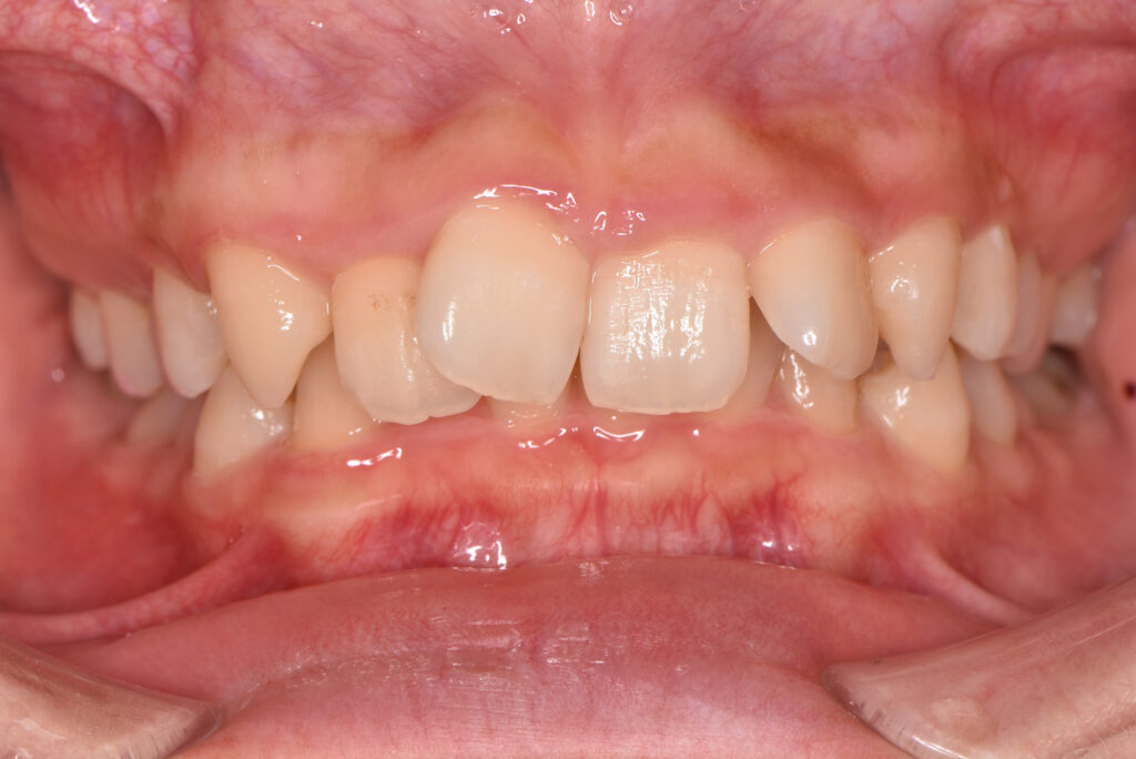
出っ歯(上顎前突):上の歯が前に突き出る
出っ歯は上顎の歯が下顎より大きく前に出る不正咬合です。指しゃぶりや口呼吸の習慣、遺伝が主な原因となります。笑うと歯茎が見えやすくなり、コンプレックスになる人も多いです。口呼吸は鼻づまりやアレルギーから来る場合が多く、併せて耳鼻科への受診も推奨されます。


機能的には、前歯で物を噛み切りにくく、発音障害(サ行の不明瞭さ)が生じやすくなります。重度の場合、唇を閉じにくく口が乾き、虫歯リスクが増します。また、転倒時の前歯破折リスクも高まります。
受け口(下顎前突):下の歯が前に出る
受け口は下顎が上顎より前に出る状態で、遺伝や舌の癖が原因です。しゃくれ顔に見え、噛み合わせが逆になるため顎関節症の原因となります。顎関節症は、クリック音や開口障害を伴い、生活の質を低下させます。


開咬(かいこう):噛んでも前歯が閉じない
開咬は奥歯を噛んでも前歯に隙間が空く状態。舌の押し出し癖やアレルギーによる口呼吸が原因です。食べ物が噛み切れず、発音(特に「さ行」「た行」)が不明瞭になります。ストロー飲みや爪噛みも悪化要因です。

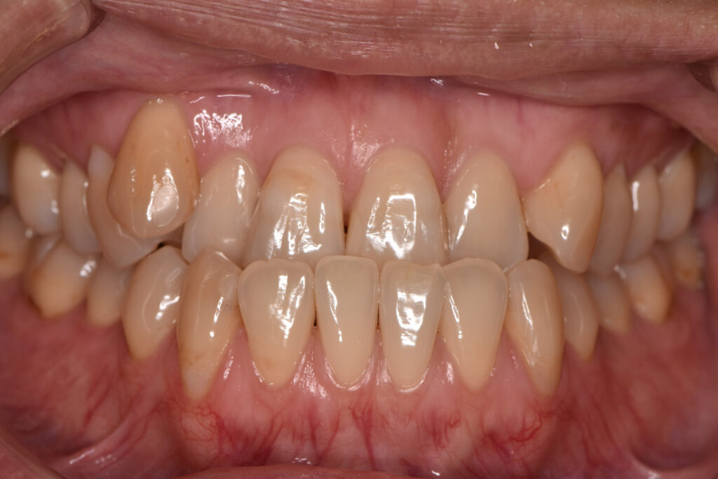
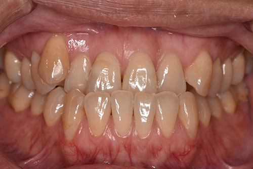
過蓋咬合(ディープバイト):上の歯が下の歯を覆いすぎる
過蓋咬合は上顎の歯が下顎の歯を深く覆うケース。歯茎を傷つけやすく、下の歯が見えにくくなります。歯の摩耗が進み、知覚過敏を招くことがあります。

↑上の歯がかぶさり過ぎて下の歯が見えない状態
これらの不正咬合は、日本人の約8割が何らかの乱れを抱えていると言われ、矯正が必要な中等度以上は全体の3~4割です。軽度なら経過観察、重間観察、重度なら即治療が推奨されます。
矯正が必要かを判断する基準
矯正の必要性は見た目だけでなく、機能・健康面で評価します。
歯科医師の診断が基本ですが、セルフチェックのポイントをまとめます。
セルフチェックリスト
– 前歯でリンゴを噛み切れない
– 笑うと歯茎が3mm以上見える
– 奥歯だけがすり減っている
– 顎が痛む・音がする
– 歯磨きで出血しやすい箇所がある
– 食物が歯間に詰まりやすい
3つ以上当てはまれば相談を。子供の場合、6~8歳の混合歯列期に早期発見が重要です。
成長スパートを活用すれば、装置がシンプルで済みます。
比較表:矯正の必要度レベル
| レベル | 症状例 | 矯正の推奨度 | 放置リスク |
| 軽度 | 軽い叢生、 1~2mmの隙間 | 経過観察or 選択的矯正 | 低(見た目中心) |
| 中等度 | 出っ歯 3~5mm、 開咬2mm | 推奨 | 中(虫歯・発音障害) |
| 重度 | 受け口5mm以上、 交叉咬合複数 | 必須 | 高(顎関節症・消化不良) |
矯正治療の種類と選び方
現代の矯正は多様化しています。患者のライフスタイルに合わせたカスタム計画が主流です。
1. ワイヤー矯正(表側・裏側)
スタンダードな金属ブラケット。裏側は目立たないが費用高。期間:1.5~2.5年。
2. マウスピース矯正(インビザライン・インハウスアライナーなど)
透明で取り外し可能。軽~中等度に適応。食事・歯磨きが楽。
抜歯の必要がある場合は、ワイヤー矯正より期間が長くなる可能性が高い。
3. 部分矯正
前歯のみなど限定。期間6ヶ月~1年、費用抑えめ。通院回数も少なく済む。
4. 子供向け矯正(拡大床など)
顎の成長を利用。永久歯列完成前に介入。機能的装置で自然な成長誘導。
比較表:治療法の特徴
| 治療法 | 目立ち度 | 適応範囲 | 費用目安 | 痛み |
| 表側ワイヤー | 高 | 全般 | 中 | 中 |
| マウスピース | ほぼなし | 軽~中 | 中~高 | 低 |
| 部分矯正 | 低~中 | 限定 | 低 | 中 |


矯正をしない場合のリスク
放置すると以下のような連鎖反応が。
1. 口腔内トラブル:虫歯・歯周病進行→歯の喪失→インプラント必要性増
2. 全身影響:噛み合わせ悪化→頭痛、肩こり、胃腸障害→睡眠時無呼吸症候群の誘因
3. 心理的負担:コンプレックス→対人関係のストレス→うつ傾向
特に高齢になると治療が難しくなるため、10代での介入が理想です。
骨密度の低下で抜歯リスクが高まります。
矯正のメリットとタイミング
メリット
– 美しいスマイルで自信UP→就職・婚活などでも有利に
– 噛む効率向上→栄養吸収改善、ダイエット効果
– 口腔衛生維持しやすさ→医療費削減
– 顎関節症予防→QOL向上
ベストタイミング
– 子供:3~12歳(成長期)→装置軽減
– 大人:いつでも可能(骨代謝活発な10~20代が回復早い)→デジタル矯正で短期間
費用と保険適用
一般的な費用は全体矯正で70~180万円、部分で25~60万円。
美容目的は自費ですが、顎変形症など外科併用の場合は保険適用可。
分割払い対応のクリニック多数。医療費控除で税還付可能。
矯正中の生活とアフターケア
– 硬い食べ物は控える→すりおろしたり、柔らかく煮る
– 毎食後マウスピース洗浄→専用クリーナー使用
– 保定装置で後戻り防止→着用時間の調整
FAQ(よくある質問)
Q1: 軽い八重歯でも矯正は必要ですか?
軽度の八重歯でも、見た目以外にいくつかのリスクがあります。重なり部分は歯ブラシが届きにくく、虫歯や歯周病のリスクが1.5~2倍に上昇します。また、咬合力が分散されないため摩耗しやすく、歯肉退縮の原因になることもあります。将来的に周囲の歯並び全体が乱れる可能性も否定できません。治療は部分矯正(MTM)が有効で、前歯6本の移動なら6~12ヶ月で終了することが多く、費用も全体矯正より低く抑えられます。マウスピース型装置なら目立たず通院負担も軽めです。まずはレントゲンやシミュレーションを含む相談を受け、リスクと治療効果を確認することをおすすめします。
Q2: 大人になってから矯正は遅いですか?
骨が健康であれば、50代以降からの矯正も可能です。成人矯正の利点は、自己管理がしやすく治療の遵守率が高いこと、そしてマウスピース矯正や舌側矯正など見えにくい方法が選べる点です。最近は加速矯正により治療期間を30~50%短縮できるケースもあります。注意点として、歯周病がある場合は事前治療が必須で、60代以降は歯の移動速度がゆっくりになる傾向があります。初めの検査でレントゲンや3Dスキャンから骨や歯根の状態を詳しく評価し、最適な治療法を選択します。分割払いや医療費控除も利用できるため、年齢に関係なく始めることが出来ます。
Q3: 矯正で痛みはどれくらい?
矯正中の痛みは主に調整直後の2~3日がピークで、鈍い押されるような感覚や噛みにくさが中心です。痛みの強さはVASで平均3~5程度といわれます。ワイヤー矯正では歯根膜に力が加わることで痛みが出ますが、低摩擦システムや形状記憶合金ワイヤーの普及で負担は軽減しています。マウスピース矯正は1枚ごとの移動量が小さいため痛みは少なく、平均1~2程度です。対処法は市販の鎮痛剤、柔らかい食事、矯正用ワックスでの粘膜保護、冷たい飲み物などが有効です。初回調整が最も痛みやすいものの、回数を重ねると慣れて軽くなる傾向があります。
Q4: 矯正が必要な歯並びは遺伝だけが原因?
歯並びの乱れは遺伝的な要素もありますが、環境要因が大きく関係しています。指しゃぶりや舌突出癖は開咬や出っ歯を、口呼吸は上顎の狭窄を、片側咀嚼は左右差や交叉咬合を引き起こします。また、乳歯の早期喪失はスペース不足を招き、叢生の原因になります。双子研究では叢生の遺伝率は約40%、出っ歯は約60%とされています。予防矯正では3~6歳から習癖改善装置を用いることで顎成長を整え、本格矯正の必要性を大幅に減らせます。遺伝が強い場合でも早期介入で抜歯の可能性を下げられます。初診では習癖チェックと骨の評価を行い、複合的な視点で治療計画を立てることが重要です。
Q5: 無料相談で矯正の必要性がわかりますか?
多くの歯科医院では無料相談を実施しており、矯正の必要性や治療方法、費用の目安を具体的に知ることができます。内容としては、問診・口腔内診査・3Dスキャンによる歯列モデルの作成などです。これにより治療期間・抜歯の有無・難易度などが明確になります。医院によってはオンライン相談も可能で、事前にレントゲンを送って詳しい説明を受けられる場合もあります。ただし、無料相談では検査まで含まれないことが多く、詳しい診断には別途料金が必要です。納得できる説明が得られるように、矯正専門医のいる医院を選ぶのがお勧めです。
まとめ
矯正が必要とされる歯並びは、叢生・出っ歯・受け口・開咬など多岐にわたり、見た目だけでなく噛み合わせや健康に影響します。軽度なら経過観察、重度なら早めの治療が推奨。ワイヤーやマウスピースなど選択肢豊富で、大人でも遅くありません。
放置リスクを避け、専門医に相談することで、美しい笑顔と全身の健康を手に入れられます。
まずはセルフチェックから始めましょう。技術進化で、より快適な矯正ライフが実現可能です!
こちらのブログではこれからも、矯正治療や歯科治療に関する情報を発信していきますので、皆様のお口の健康に少しでも役立てていただけますと幸いです。
山形市での矯正はごとう歯科・矯正歯科クリニック✨🍀
👉ごとう歯科・矯正歯科クリニック公式LINEアカウント:https://lin.ee/UAGDkMQ
矯正治療についてもっと知りたい方はこちら:成長期の矯正治療 | ごとう歯科・矯正歯科クリニック
過去のおすすめ記事:矯正を始めてから、お口の乾燥を感じるようになった…これってドライマウス? | ごとう歯科・矯正歯科クリニック


