
矯正治療を受けている方で、開咬に悩まされている方は少なくありません。
開咬は見た目にも影響を与え、噛み合わせの不具合や発音にまで影響を及ぼします。
本記事では、開咬の原因や症状、矯正治療での解決方法について、専門的な視点から解説します。
これを読めば、開咬を改善するための具体的な方法が理解でき、適切な治療法を選択するためのヒントが得られます。
矯正治療で開咬とは?その原因と症状
原因
開咬とは、上下の歯を噛み合わせたときに前歯や奥歯の一部が接触せず、すき間ができてしまう噛み合わせの異常を指します。
特に前歯が閉じない「前歯部開咬」は見た目のコンプレックスにつながりやすく、機能面にも大きな影響を与えます。
開咬は一つの要因で起こることは少なく、生活習慣、骨格の特徴、筋肉の使い方など複数の要因が重なって発症するケースが多いのが特徴です。


原因として代表的なのは、幼少期の癖によるものです。
指しゃぶりや舌を前に突き出す癖(舌突出癖)、口呼吸などは歯や顎に長期間にわずかな力をかけ続けるため、成長期に前歯が押し出され、上下の歯が閉じなくなることがあります。
また、遺伝的な骨格の影響も重要です。特に上顎や下顎の成長バランスが崩れると、前歯が噛み合わずに開咬が固定化しやすく、矯正治療だけでは改善しにくい重度の開咬を招くこともあります。
さらに、歯ぎしりや舌の位置が低い習慣も開咬を助長すると考えられています。
症状
症状としてまず挙げられるのは、噛んでも前歯で食べ物を切れないという機能的な問題です。
麺類を噛み切りにくい、サンドイッチが前歯で噛めないといった日常の不便が生じます。
また、発音にも影響が出ることがあり、特にサ行・タ行などで空気が抜けるような発音になりやすく、滑舌が悪く感じられることがあります。見た目の変化も無視できません。
口元が常に開き気味に見えたり、横顔のバランスが崩れたりすることで、表情に違和感を覚える人もいます。
さらに、前歯が噛んでいないため奥歯に負担が集中し、歯の摩耗や顎関節の不調につながる場合もあります。


開咬は放置すると悪化しやすい傾向があるため、早期の診断と対応が重要です。
矯正治療で開咬は改善できる?
矯正治療は、開咬を改善するために非常に有効な手段です。矯正によって、顎の位置を適切に調整したり、噛み合わせを正常化することで、開咬を改善することができます。
<矯正治療のアプローチ>
🦷 ワイヤー矯正(ブラケット矯正)

ワイヤー矯正は、最も一般的で歴史の長い矯正方法です。
歯の表面に「ブラケット」と呼ばれる小さな金属やセラミックの装置を接着し、それらをワイヤーでつなぐことで歯や顎の位置に力を加えて、徐々に正しい位置へと移動させる治療法です。
【特徴とメリット】
・複雑な歯並びや重度の開咬にも対応可能。
・精密な歯の移動が可能。
・歴史が長く、実績と信頼性が高く、軽度から重度まで広く対応。
【デメリット】
・見た目が目立ちやすい(特に金属ブラケットの場合)。
・食べ物が詰まりやすく、歯磨きが難しい。
・装置による口内炎や痛みを感じることがある。
【最近の傾向】
審美性を重視して、透明なセラミックブラケットや**裏側矯正(舌側矯正)**を選ぶ人も増えています。
😬 インビザライン(透明なマウスピース矯正)

インビザラインは、**透明なプラスチック製のマウスピース(アライナー)**を
段階的に交換しながら歯を動かしていく治療法です。
見た目が自然で、取り外しができるため、審美性と利便性に優れています。
【特徴とメリット】
・透明で目立たないため、周囲に気づかれにくい。
・取り外し可能なので、食事や歯磨きがしやすい。
・コンピューターシミュレーションで治療計画を立てるため、仕上がりを事前に確認できる。
【デメリット】
・自己管理が必要(装着時間が短いと効果が出にくい)。
・重度の開咬や顎変形には不向きな場合もある。
・定期的にマウスピースを交換(1~2週間ごと)する必要がある。
【適応】
軽度の歯並び・かみ合わせの不正。
特に、見た目を重視したい人や社会人、学生に人気。
🏥 外科的手術(外科矯正)

外科的手術は、顎の骨格に原因がある重度の開咬や骨格的なずれを伴う症例に行われる治療です。
単なる歯の移動ではなく、顎の骨の位置自体を外科的に修正することで、根本的な改善を目指します。
【治療の流れ】
・まずワイヤー矯正で歯を整える(術前矯正)。
・その後、顎の骨を切って正しい位置に移動する手術を行う。
・手術後に再び矯正を行い、噛み合わせを微調整する。
【特徴とメリット】
・骨格的な問題を根本から改善できる。
・顔の輪郭やバランスが整い、審美的にも改善が見込める。
・発音や咀嚼機能の改善につながることもある。
【デメリット】
・入院・全身麻酔が必要。
・術後に腫れや痛み、ダウンタイムがある。
・保険適用になるケースもあるが、条件(重度の骨格性不正咬合など)を満たす必要がある。
矯正治療を受ける際の注意点
矯正治療を受けるにあたっては、いくつかの注意点を理解しておくことが重要です。
治療の効果を最大化するために、以下の点に留意しましょう。
1. 治療の期間
矯正治療は数ヶ月から数年にわたることがあります開咬の場合、歯の位置だけでなく顎の位置や筋肉の調整も必要になるため、長期的な治療計画を立てる必要があります。
2. 治療後のフォローアップ
矯正治療が終了した後でも、顎の状態が元に戻らないように定期的なチェックやメンテナンスが必要です。特に開咬の場合、再発を防ぐためにリテーナー(後戻り防止装置)を使うことが一般的です。
3. 自宅でのケア

矯正治療中は、歯磨きや食事に気を使う必要があります。
ブラケットやワイヤーに食べ物が挟まらないように注意し、清潔に保つことが大切です。
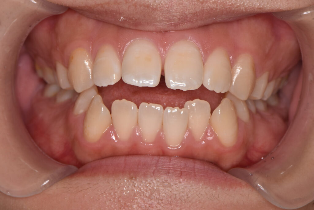
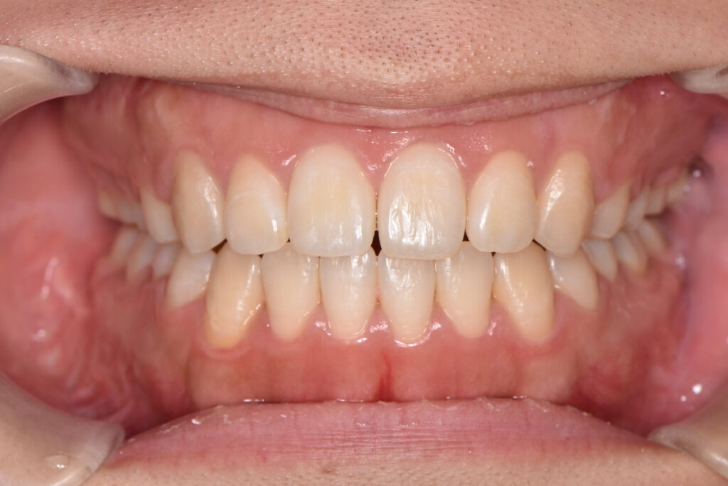
症例紹介


| 主訴 | 前歯が噛み合わない |
| 患者年齢 | 21歳 |
| 治療内容、装置 | マルチブラケット装置(上表側)、 上顎骨形成術(全身麻酔下手術) |
| 抜歯、非抜歯 | 非抜歯 |
| 治療期間 | 1年9ヶ月 |
| 費用 | 約¥204,000円(保険適用、全体での自己負担額) |
| 治療のリスク、副作用 | 歯の移動に伴う痛み 上下顎前歯部の歯根吸収 装置による口内炎 ブラッシング不良によるむし歯、歯周炎 外科手術後の痛み、腫れ、知覚麻痺 |
FAQ(よくある質問)
■ 矯正治療で開咬を治すためにはどのくらいの期間がかかりますか?
開咬の矯正治療に必要な期間は、症状の重症度や歯並び・骨格の状態、選択する治療方法によって大きく異なります。一般的には、マウスピース矯正やワイヤー矯正を用いた場合、約1年半から2年程度が治療期間の目安とされています。ただし、骨格的な要因が強く外科手術が必要になるケースでは、手術前後の矯正治療を含めて3年以上かかることもあります。治療計画は個々の状態に合わせて立てられるため、まずは専門医の詳細な診断を受けることが重要です。
■ 開咬を矯正治療なしで改善する方法はありますか?
軽度の開咬であれば、歯並びよりも筋肉の使い方や癖が原因となっている場合があり、その場合は矯正治療を行わずに改善する可能性もあります。具体的には、舌の位置や口周りの筋力を整えるトレーニング、顎関節周囲のストレッチ、口呼吸の改善、姿勢の見直しなどが有効とされています。特にアレルギー性鼻炎は鼻がつまり口呼吸を引き起こすため、耳鼻科を受診して鼻通りをよくするなど、鼻呼吸になるよう改善しましょう。
しかし、これらの方法はあくまで補助的なものであり、歯列や骨格に問題があるケースでは根本的な改善は難しいことがあります。確実な改善を図るには、専門医による矯正治療が最も効果的とされています。
■ インビザラインでも開咬は治療できますか?
インビザラインは、透明なマウスピースを用いて歯を動かす矯正方法で、軽度の開咬であれば効果が期待できます。特に、舌癖や噛み合わせの乱れが原因となっているケースでは、比較的スムーズに改善できることが多いです。しかし、顎の位置異常や骨格的な問題が大きく関与している場合は、インビザライン単独では十分な改善が得られないことがあります。その際はワイヤー矯正や外科手術を併用する必要が出てくることもあります。治療方法の選択は詳細な診断に基づいて決定されます。
まとめ
開咬は、見た目だけでなく噛み合わせや発音、呼吸、健康面にも影響を及ぼすため、早めの対処が重要です。原因には、筋肉の不調や顎関節の問題、骨格の発育などさまざまな要因があり、症状に合わせた治療が必要になります。
矯正治療は、開咬を改善する上で最も効果的なアプローチです。
ワイヤー矯正は複雑で重度の症例にも対応でき、インビザラインは軽度の開咬や見た目を重視したい方に向いています。骨格的な問題が大きい場合は、外科矯正が根本的な改善につながります。
また、治療と併せて筋力トレーニングや顎のストレッチを取り入れることで、よりスムーズに改善が期待できます。
治療期間は約1年半~2年が目安ですが、症状の重さによって変動します。
治療後もしっかり保定を行い、再発を防ぐことが大切です。
開咬で悩んでいる方は、まず専門の矯正歯科で正確な診断を受け、自分に最適な治療法を選択することが改善への第一歩となります。
こちらのブログではこれからも、矯正治療や歯科治療に関する情報を発信していきますので、皆様のお口の健康に少しでも役立てていただけますと幸いです。
山形市での矯正はごとう歯科・矯正歯科クリニック✨🍀
👉ごとう歯科・矯正歯科クリニック公式LINEアカウント:https://lin.ee/UAGDkMQ
もっと知りたい方はこちら:噛み合わせ治療 | ごとう歯科・矯正歯科クリニック
過去のおすすめ記事:『冬の乾燥』口の中も要注意!?この冬は″潤うお口″で健康に過ごしましょう | ごとう歯科・矯正歯科クリニック
なぜ表側マルチブラケット矯正は選ばれ続けるのか?それは幅広い症例に対応できる『王道の矯正』だからです! | ごとう歯科・矯正歯科クリニック
「私の歯並び、直したほうがいいのかな…?」🦷矯正が必要な歯並びについて解説します!迷ったらまずは相談へ✨ | ごとう歯科・矯正歯科クリニック







