今回は、歯の矯正でよく耳にする「固定式拡大装置(こていしきかくだいそうち)」について、わかりやすくご紹介します。
「自分の歯並びを治すには矯正が必要って言われたけど、なにから始めるんだろう?」「固定式拡大装置って痛いのかな?」と不安に思っている方、ぜひ読んでみてください!
目次
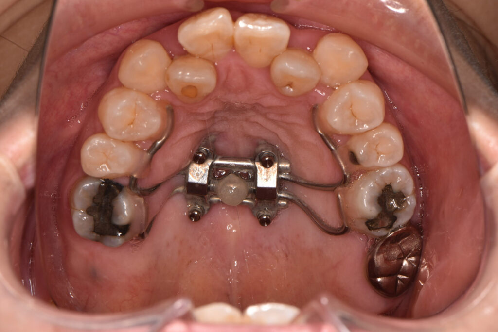
そもそも固定式拡大装置ってなんだろう?

固定式拡大装置とは、上あごを左右に広げるための矯正器具です。
歯がきれいに並ぶためには、スペースが必要です。矯正では歯を抜くことが多いのですが抜いたとしても、あごが小さいとそのスペースが足りないということも‥
そんなときにこの装置を使って、最初にあごの骨や歯並びの幅を少しずつ広げて歯を並べる為のスペースを確保していきます。
「固定式」という名前の通り、この装置は一度つけると自分では外せません。
矯正歯科医が歯にしっかりくっつけて、毎日少しずつあごの骨や歯の並びを広げていくため、確実に効果を出しやすいのが特徴です。
歯にしっかりくっついているから、つけ忘れたり失くしたりする心配もありません。
どんな人に使うの?
この装置は、以下のような方にオススメです!
1. 上あごが狭い
生まれつき、または成長の過程で上あごが狭くなっていると、歯が並びきらず奥歯が下の歯ときちんと噛み合わなかったり、前歯が内側に倒れてしまったりします。こうした噛み合わせの問題を治すために、上あごを横に広げる必要があります。
2. 歯が並ぶスペースが足りない
歯が大きい、あごが小さい、歯の本数が多いなどの理由で、歯がきれいに並ばないことがあります。そんなときにあごの幅を広げることで、歯を抜かずに治療できる可能性が高くなります。
3. 鼻呼吸をしやすくしたい
あごが狭いと、鼻の通り道も狭くなることがあります。上あごを広げることで、呼吸がしやすくなり、口呼吸が減る効果も期待できます。
特に【成長期のお子さんには効果絶大です!】まだあごの骨がやわらかい時期なら、より効率よく、自然な形で広げられます。
まずは矯正歯科医に相談してみましょう。
固定式拡大装置の種類
実は「固定式拡大装置」といっても、いくつかの種類があります。患者さんの年齢や症状に応じて使い分けられています。
■ 急速拡大装置(きゅうそくかくだいそうち)
真ん中にネジのような部分があり、1日に1~2回回すことで、短い期間(2~3週間)で一気にあごを広げます。子どもの場合は、あごの骨がまだ柔らかいため効果が出やすいです。
※大人になるとあごの骨がかたくなるため、同じように広げるには手術を併用することもあります。
■ ゆっくり広げる装置
上記の急速拡大よりもゆっくりと、少しずつ力を加えて広げていく方法です。急激に広げることが不安な人や、大人の患者さんに向いています。
■ ワイヤー式の拡大装置
針金のような形をしたワイヤーを使い、ばねの力で少しずつあごを広げていくタイプです。見た目もシンプルで、比較的違和感が少ないとされています。
「つけるときって痛いの…?」

みなさんが1番気になるところはこれだと思います。
装置をつけるときは痛くない!
装置を歯につけるときは比較的痛みはありません。
なぜなら歯を削ったり注射をしたりはしないからです。
固定式拡大装置は金属のリングを奥歯に装着して、特別な接着剤で固定するだけなので、装置をつける際の痛みはほぼないです。
装置をつけてから1日~2日くらいは、「歯やあごが押されるような違和感」や、「じわじわした痛み」を感じることがあります。
これは装置が骨や歯に力を加えて広げ始めるためで、多くの人が経験しますが、だいたい2~3日で慣れてきます。
特に、急速に広げるタイプ(急速拡大装置)の場合は、毎日ネジを回すことで力が加わるため、初めは少し痛みが出やすいです。
ただし我慢できないほど強い痛みではないことが多く、心配なときは痛み止めを使うこともできます。
その際は必ず担当の矯正歯科医に相談しましょう。
痛みがでると不安になると思いますが、痛みがでるということはあごがちゃんと広がってきているサインになりますので根気強く使っていきましょう。
どうやって使うの?

装置は、主に奥歯にバンドのような金具を取りつけて固定されます。
そこからスクリュー(拡大専用のネジ)やワイヤーで力を加えて、左右のあごの骨を広げていきます。
■ 回すのは誰?
急速拡大装置の場合、1日に1~2回、患者さんや保護者がスクリューを小さなキーで回します。
やり方は矯正歯科医が丁寧にお教えします。
どれくらいの期間つけるの?
● 実際にあごを広げる期間は、2~3週間ほどになります。
● その後、広がったあごをしっかり安定させるために、さらに2~3か月間は装置をつけたままにします。
この【安定させる時間=保定期間】がとっても大事!
ここでしっかり固定することで、元の顎の大きさに戻りにくくなります。
どんな効果があるの?
固定式拡大装置には、以下のようなメリットがあります。
- あごが広がって、歯が並ぶスペースが増える
- 上下の歯がきちんと噛み合うようになる
- 鼻の通りが良くなって、鼻呼吸がしやすくなる
- 歯を抜かずに矯正できる可能性が高まる
- 将来の虫歯や歯周病の予防にもつながる
つけたときの注意点・デメリット
もちろん、どんな治療にも注意点やデメリットはあります。以下のことを知っておくと安心です。
■ 一時的に違和感がある
つけ始めは「押されるような痛み」や「しゃべりにくさ」「食べにくさ」が出ることがありますが多くの患者様は数日〜1週間で慣れてくることが多いです。
■ 前歯のすき間が一時的に開く
装置をつけてあごを広げると、前歯の間にすき間ができることがあります。
ですが固定式拡大装置をつけた後、歯に別の装置を付け歯を並べていくので隙間はなくなります。
■ 歯みがきがしづらい
装置が口の中にあるため、汚れがたまりやすくなります。歯ブラシやフロスを工夫して使い、毎日しっかりと歯を磨くことが大切です。
歯磨きの仕方は歯のお掃除のプロである衛生士が分かりやすく丁寧に教えますので安心してください。
痛みがあるときのコツ

もし痛みが気になるときは、以下を試してみましょう。
痛みが軽減するかもしれません。
- ・おかゆやスープ、プリンなどやわらかい食事にする
- ・市販の痛み止めを使う(子ども用もあります)
- ・ネジを回すのは寝る前にすると、寝ている間に痛みが気にならない
拡大装置は固定式と取り外し式、両方あるけどどっちがいいの?

👆 こちらは「取り外し式」の拡大装置です。
固定式と取り外し式の違いをまとめてみました。
装置選びは矯正歯科医と相談して決めていきましょう。
| 項目 | 固定式 | 取り外し式 |
| 自分で外せる? | ❌いいえ | ✅はい |
| 効果の強さ | ◎強い | △やや弱い |
| つけ忘れリスク | なし | あり |
| 違和感 | やや強い | 少なめ |
固定式は、確実な効果を出したい人におすすめです!
まとめ:「痛いのは最初だけ!効果はしっかり」

固定式拡大装置は、見た目も機能も改善できるとてもパワフルな矯正の味方です。
特に成長期の子どもに効果が高く、歯を抜かずに矯正できる可能性が広がります。
初めは少し違和感があるかもしれませんが、数日で慣れることが多く、しっかり管理すれば大きな治療効果が得られます。
「あのときやってよかった」と言える将来のために、一歩踏み出してみませんか?
不安なことがあれば、矯正の先生にどんどん質問しましょう!みんなで協力して、きれいな歯並びを目指しましょう!
症例紹介


| 主訴 | 受け口、歯のデコボコ |
| 診断名 | 叢生 |
| 年齢 | 40代女性 |
| 治療内容 | マルチブラケット装置、MSE |
| 抜歯・非抜歯 | 抜歯 |
| 治療期間 | 動的治療21ヶ月 |
| 費用 | 総額¥975000(改正前の金額) (相談料、検査料、診断料、動的治療費、保定期間料) ※自由診療になります |
| リスク・副作用 | 歯痛、虫歯、歯周病、口内炎、発音障害、歯根吸収、歯肉退縮、歯髄炎、顎関節症、歯の咬耗、エナメルクラック |
最後までお読みいただき、ありがとうございました!
このブログが、矯正治療を考えている方の不安や疑問を少しでも軽くできれば嬉しいです。
矯正に関するページはこちら🦷→矯正装置のご紹介 | ごとう歯科・矯正歯科クリニック
ご相談の方はこちらから✨→ 医院公式LINEアカウント:https://lin.ee/UAGDkMQ
山形・矯正・おすすめ記事(過去のブログ)🌱
見えない場所で歯を動かす「ベネスライダー」ってなに? | ごとう歯科・矯正歯科クリニック


