皆様こんにちは!山形市旅篭町のデンタルサロンFuuです✨🦷
(ごとう歯科・矯正歯科クリニック内併設)

「歯を白くしたいけど、差し歯や被せ物があるから無理かな…」
「ホワイトニングしたら、被せ物の色が合わなくなっちゃう?」
こんな風に悩んでいませんか?
実は、ホワイトニングを検討されている多くの方が、被せ物(差し歯、セラミック、銀歯など)との関係について疑問や不安を抱えています。
せっかくホワイトニングで歯が白くなっても、被せ物の色だけ浮いてしまったら…と考えると、なかなか踏み出せないですよね。
ご安心ください!当サロンは歯科医院併設のサロンです。
この記事では、ホワイトニングと被せ物の関係について、皆さんが知りたいことを徹底的に解説します。
あなたの疑問を解消し、理想の白い歯を手に入れるためのヒントをお伝えしますので、ぜひ最後まで読んでくださいね。
目次
まずはここから!医療ホワイトニングの基本をおさらい

被せ物の話に入る前に、まずは医療ホワイトニングの基本的な仕組みを簡単におさらいしましょう。
ホワイトニングとは、歯の表面に付着した着色汚れ(ステイン)を取り除くだけでなく、歯そのものの色を「漂白」して白くしていく施術のことです。
当院で提供しているのは、歯科医師の管理のもとで行われる「医療ホワイトニング」であり、歯本来の白さよりもさらに白くしていくことが可能です。
歯が黄ばむ原因は、コーヒーや紅茶、ワインなどの飲食物、喫煙、そして加齢などが挙げられます。
これらの原因で黄ばんでしまった歯を、医療機関でしか扱えない高濃度の薬剤と、安全性の高い専用の機器を使って、歯本来の白さよりもさらに白くしていくのが医療ホワイトニングなんです。
【重要】医療ホワイトニングで白くなるのは「天然の歯」だけ!

さて、ここからが本題です。
医療ホワイトニングで白くなるのは、「ご自身の天然の歯」だけ、ということを覚えておいてください。
つまり、以下のような人工の歯は、ホワイトニングの薬剤では白くすることはできません。
* 差し歯
* セラミックの被せ物
* レジン(プラスチック)の詰め物
* 銀歯
* 入れ歯
* インプラント
これらの人工物は、作られた時点の色から変化することはありません。
これは、ホワイトニングの薬剤が、歯の内部の色素に作用して漂白する仕組みだからです。
人工の素材には、その色素が含まれていないため、薬剤が作用しないのです。
「え、じゃあ被せ物がある私はホワイトニングできないの?」
「せっかく天然の歯が白くなっても、被せ物の色だけ浮いちゃうってこと?」
そう思われた方もいらっしゃるかもしれませんね。
でも、ご安心ください!
当サロンは歯科医院併設なので、被せ物の治療まで一貫して対応可能です。
最適な対処法をご提案できますよ。
被せ物がある場合の医療ホワイトニング、どうすればいい?

被せ物があるからといって、白い歯を諦める必要は全くありません!
当院では、患者様一人ひとりの状態に合わせて、最適な手順をご提案しています。
1. まずは医療ホワイトニングで天然の歯を白くする

被せ物がある場合でも、まずはご自身の天然の歯を医療ホワイトニングで希望の白さまで引き上げることをおすすめします。
なぜなら、天然の歯がどれくらい白くなるかによって、被せ物の「作り替え」が必要かどうかが決まるからです。
もし、ホワイトニング後に被せ物の色がそこまで気にならないレベルであれば、無理に被せ物を交換する必要はないかもしれません。
しかし、天然の歯が劇的に白くなったのに、被せ物の色だけ濃いままでは、やはり目立ってしまいますよね。
2. 天然の歯が白くなった後に、被せ物の交換を検討する

天然の歯が希望の白さになったら、その歯の色に合わせて、被せ物の交換を検討しましょう。
この時、重要なのが「天然の歯の白さに合わせて、新しい被せ物の色を選ぶ」ということです。
例えば、前歯に差し歯がある場合、ホワイトニングで周りの天然の歯が白くなると、差し歯だけが黄ばんで見えてしまうことがあります。
この場合、新しく作り直す差し歯は、ホワイトニングで白くなった周りの歯の色に合わせて作ってもらうことで、全体として自然で美しい口元になります。
<被せ物の交換を検討する際のポイント>
* 当院で一貫して対応可能: 歯科医院併設の当サロンであれば、ホワイトニングで天然の歯が白くなった後、その色に合わせて被せ物の交換(セラミック治療など)まで、一貫して当院で対応することが可能です。別の歯科医院を探す手間や、連携の心配がありません。
* 素材の選択: 被せ物には、セラミック、ジルコニア、レジンなど様々な素材があります。それぞれの素材の特性(見た目、強度、費用など)を詳しくご説明し、患者様のご希望と口腔内の状態に合わせて最適なものをご提案します。特に、見た目の美しさを重視するなら、天然歯に近い透明感を持つセラミックがおすすめです。
* 色の調整: 新しい被せ物を作る際は、医療ホワイトニングで白くなった天然の歯の色見本(シェードガイド)を参考に、歯科医師が慎重に色を合わせて作製します。
3. 被せ物とホワイトニングの順番が逆だとどうなる?
もし、先に被せ物を新しい白いものに交換してから、医療ホワイトニングを行うとどうなるでしょうか?
この場合、新しく入れた白い被せ物に合わせて天然の歯をホワイトニングすることになりますが、天然の歯が被せ物の色以上に白くなることはありません。
結果として、被せ物の色に合わせた「そこそこの白さ」で満足することになってしまう可能性があります。
また、天然の歯が想定以上に白くなった場合、せっかく新しく入れた被せ物が、また色が合わなくなってしまう…という事態も起こりかねません。
そのため、「まず天然の歯を医療ホワイトニングで最大限に白くする」→「その白さに合わせて被せ物を交換する」という順番が、最も効率的で、理想の白い歯を手に入れるための賢い選択と言えるでしょう。
こんな被せ物がある場合は要注意!〜まずはご相談ください〜

全ての被せ物が、上記のように簡単に交換できるわけではありません。
中には、医療ホワイトニングを始める前に注意が必要なケースもあります。
* 広範囲にわたる銀歯や古い被せ物: 口の中に銀歯が多い場合や、古い被せ物が多く、全体的な修復が必要な場合は、歯科医師との綿密な相談が必要です。
* 治療中の歯がある場合: 虫歯や歯周病の治療が必要な歯がある場合は、ホワイトニングよりも治療が優先される場合があります。当サロンはは歯科医院併設ですので、ホワイトニング前に必要な治療を行うことも可能です。
* 根管治療済みの歯の変色: 神経を抜いた歯(失活歯)は、内部から変色することがあります。通常のホワイトニングでは白くなりにくいため、ウォーキングブリーチ(歯の内部から漂白する方法)など、別の治療が必要になる場合があります。
もし治療が必要な箇所が見つかった場合でも、ホワイトニングと並行して、またはホワイトニング前に必要な歯科治療を行うことが可能ですのでご安心ください。
よくある疑問Q&A:被せ物と医療ホワイトニング
Q1: 被せ物がある歯でも、医療ホワイトニングはできますか?
A1: はい、できます。医療ホワイトニングは、ご自身の天然の歯を対象とした施術です。被せ物自体が白くなることはありませんが、周りの天然の歯を白くすることで、全体のトーンアップを目指せます。ただし、被せ物の色が天然の歯と大きく異なり、その差が気になる場合は、天然の歯が白くなった後に被せ物の交換を検討することをおすすめします。当サロンであれば、その後の治療まで一貫してサポートいたします。
Q2: 医療ホワイトニングで被せ物が傷ついたりしませんか?
A2: 当サロンで使用する医療ホワイトニング剤は、歯の表面を削ったり溶かしたりするものではありませんので、被せ物を傷つける心配はありません。ご安心ください。
Q3: 被せ物の交換は、ホワイトニング後すぐにできますか?
A3: 医療ホワイトニング直後は、歯の色が一時的に不安定になることがあります。そのため、被せ物の色合わせは、ホワイトニング後、1週間程度期間を空けてから行うのが理想的です。
Q4: 被せ物が多いのですが、医療ホワイトニングは意味ないですか?
A4: いいえ、そんなことはありません。たとえ被せ物が多くても、天然の歯が白くなることで、口元全体の印象は格段に明るくなります。また、将来的に被せ物を交換する際も、医療ホワイトニングで白くなった天然の歯の色に合わせて作れるため、より自然で美しい仕上がりを目指せます。
Q5: 銀歯があるのですが、医療ホワイトニング後に目立ちませんか?
A5: 銀歯はホワイトニングでは白くなりません。そのため、周りの歯が白くなると、銀歯がより目立つように感じるかもしれません。もし銀歯が気になるようでしたら、医療ホワイトニング後に白いセラミックなどの素材に交換することも検討できます。当院で銀歯を白い詰め物・被せ物に変える治療も可能です。
白い歯と自然な口元を手に入れるためのロードマップ

被せ物がある方が、理想の白い歯と自然な口元を手に入れるためのステップをまとめました。
* カウンセリングと精密な歯の状態チェック:
まずは当サロンにご来院いただき、現在の歯の色や被せ物の状態、ホワイトニングへのご希望などを詳しくお伺いします。不安なことや疑問に思っていることは、何でもお気軽にご相談ください。虫歯や歯周病の有無も確認し、必要であれば先に治療を行います。
* 医療ホワイトニングで天然の歯を白く:
歯科医師・歯科衛生士の管理のもと、ご自身の天然の歯を、希望の白さまで医療ホワイトニングで白くしていきます。当院の医療ホワイトニングで、見違えるほどの白さを実感してください。
* (必要であれば)被せ物の交換治療:
天然の歯が白くなった後、被せ物の色が気になる場合は、その白さに合わせて新しい被せ物(セラミックなど)への交換治療を当院で行います。ホワイトニングから被せ物治療まで、全て当院で完結できるため、スムーズに理想の口元を目指せます。
* 白い歯の維持とメンテナンス:
ホワイトニング後も、白い歯を長く保つために、日頃からのセルフケアとメンテナンスが大切です。定期的なクリーニングとホワイトニングのタッチアップで、美しい笑顔を長くキープしましょう。
まとめ:被せ物があっても、輝く白い歯は手に入る!〜当サロンにお任せください〜

「被せ物があるから…」と、白い歯を諦めていた方も、この記事を読んで希望が持てたのではないでしょうか?
医療ホワイトニングで白くなるのは天然の歯だけですが、その白さに合わせて被せ物を調整することで、全体として調和の取れた、自然で美しい口元を手に入れることができます。
当サロンは、山形県では貴重な歯科医院併設のサロンですので、お客様一人ひとりの歯の状態やご希望に寄り添い、ホワイトニングから被せ物の治療まで、トータルでサポートさせていただきます。
被せ物がある方も、どうぞご安心してお気軽にご相談ください。
輝く白い歯は、あなたの笑顔をより一層魅力的にし、自信を与えてくれます。
ぜひこの機会に、理想の白い歯を手に入れて、新しい自分を発見してみませんか?
皆様のご来院を心よりお待ちしております!
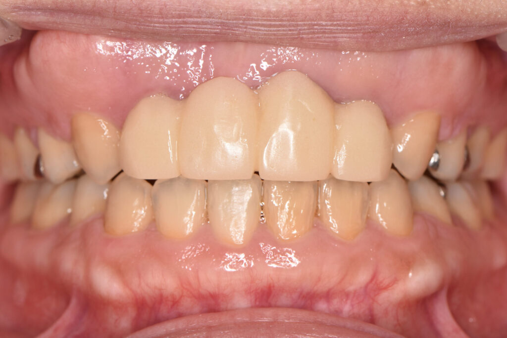
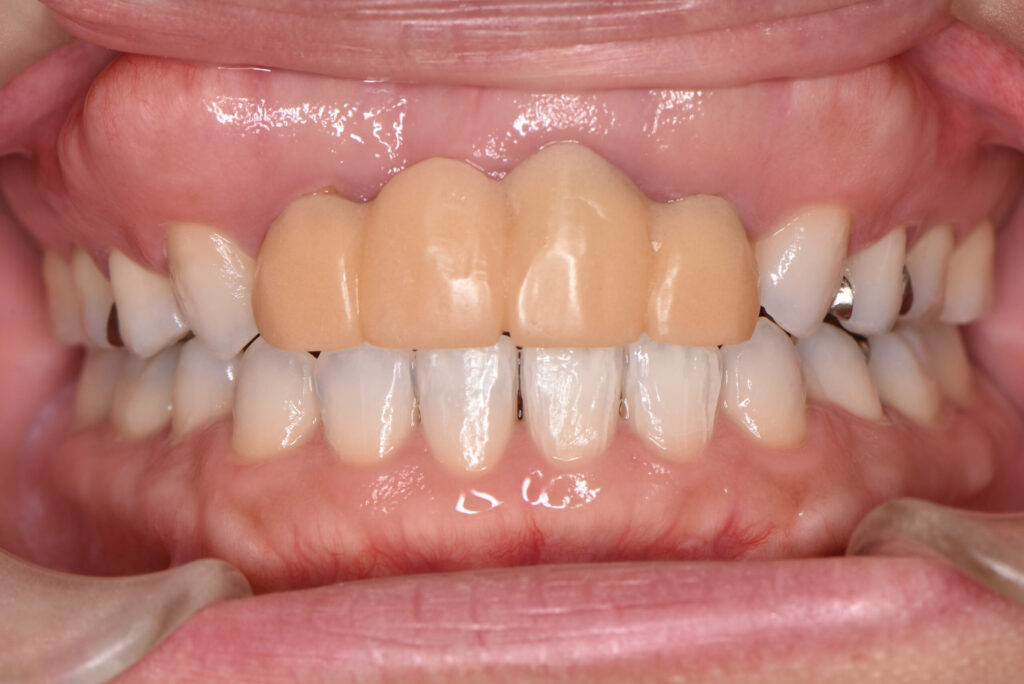
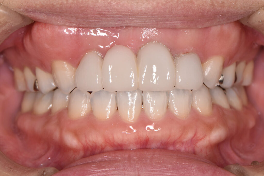
症例紹介



| 年齢・性別 | 30代女性 |
| 主訴 | 以前から歯の色が気になっており、歯科矯正後 より気になるようになった。 前歯に仮歯が入っているので歯の色を自然な白さにしてから入れ替えたい。 |
| 治療内容 | プロフェッショナルクリーニング オフィスホワイトニング ホームホワイトニング ※オフィスホワイトニングとホームホワイトニングを並行して行うデュアルホワイトニング セラミック治療 |
| 期間・回数 | プロフェッショナルクリーニング1回 オフィスホワイトニング4回 ホームホワイトニング2ヶ月間 |
| 副作用 | 知覚過敏様症状、歯茎、舌、口唇、粘膜等に違和感 |
| ホワイトニングコース内容 | ナチュラル美白プラン2ヶ月コース プロフェッショナルクリーニング1回 オフィスホワイトニング4回 ホームホワイトニング2ヶ月分 マウスピース作成 マウスピース付属品 ベリーホワイト(歯磨剤) NBトゥースペースト(歯磨剤/トリートメント) |
| ホワイトニング費用 | ¥124,100-(税込) ※自由診療となります |
| オールセラミックブリッジ費用 | ¥476,300-(税込) ※自由診療となります |
最後までお読みいただきありがとうございました。
こちらのブログではこれからも、ホワイトニングや矯正治療に関する情報を発信していきますので、皆様のお口の美と健康に少しでも役立てていただけますと幸いです。
山形市でのホワイトニングはデンタルサロンFuu✨🍀
👉ごとう歯科・矯正歯科クリニック公式LINEアカウント:https://lin.ee/UAGDkMQ
ホワイトニングについてもっと知りたい方はこちら:山形市でホワイトニングならごとう歯科・矯正歯科クリニック|白い歯の治療
過去のおすすめ記事:【色で選ぶ?白さで選ぶ?】あなたに似合うホワイトニングの“ゴール”とは? | ごとう歯科・矯正歯科クリニック


