Q.矯正後の歯は後戻りする?
A.確実に後戻りは起こります。
目次
矯正治療のゴールは「美しい歯並び」と「安定したかみ合わせ」

矯正治療は、歯並びやかみ合わせを整えることで、見た目の美しさや噛む機能の向上、虫歯や歯周病の予防などを目的に行われます。
治療の過程では、ワイヤー矯正やマウスピース型矯正装置(インビザラインなど)を使用して、歯を理想の位置へ少しずつ動かしていきます。
治療が終わった後、多くの方が「これで終わった」と感じるかもしれません。
しかし、矯正治療にはもう一つ大切なステップが存在します。
それが「保定(ほてい)」と呼ばれる、歯の後戻りを防ぐ期間です。
保定期間には「リテーナー」と呼ばれる装置を使用し、治療で得られた歯並びを安定させていきます。
後戻りとは何か?
歯はあごの骨にしっかりと埋まっているように見えますが、実際には「歯根膜(しこんまく)」という弾力性のある組織によって支えられており、元の位置を“記憶”していると言われています。
なぜ後戻りが起こるのか?

矯正後の後戻りには、以下のような原因があります。
- リテーナーをきちんと付けていなかった
リテーナーを面倒だったり付けるのを忘れてしまうと だんだんと歯が元の位置に戻ろうとしてしまいます。 - 歯並びに悪影響を与える癖
歯は、頬や舌などの筋肉の力のバランスが取れた位置に並びます。しかし、唇を噛む・舌で歯を押す・歯ぎしりや食いしばり・頬づえなどの癖があると、この力の均衡が崩れ、歯がすり減ったり傾いたりする原因になります。とくに、舌や唇の癖が残っていると、リテーナーを使っていても歯並びが後戻りしてしまう可能性があります。 - 歯周病が進行していたり加齢により歯を支える骨が減少している
歯周病の進行や加齢で骨が減少している場合は歯がグラグラしていることが多いです。グラグラするということは歯も動きやすいということです。これらを防ぐには定期的なメンテナンスを行なっていただき歯周病のコントロールをすることが大切です。 - 親知らずの影響
特に下の親知らずが生えてくることで、歯列が乱れることがあります。
リテーナーの種類
取り外し式リテーナー(可撤式)代表的なものが以下の2つです。
プレート型(ベッグタイプ)
金属線とプラスチックの土台でできており、上あごや下あごの歯列に合わせて作られます。
金属線が前歯を支える構造になっています。

透明マウスピース型(クリアリテーナー)
インビザラインで使われるような透明のマウスピースと似ており、目立ちにくく、装着時の違和感も少ないため人気です。

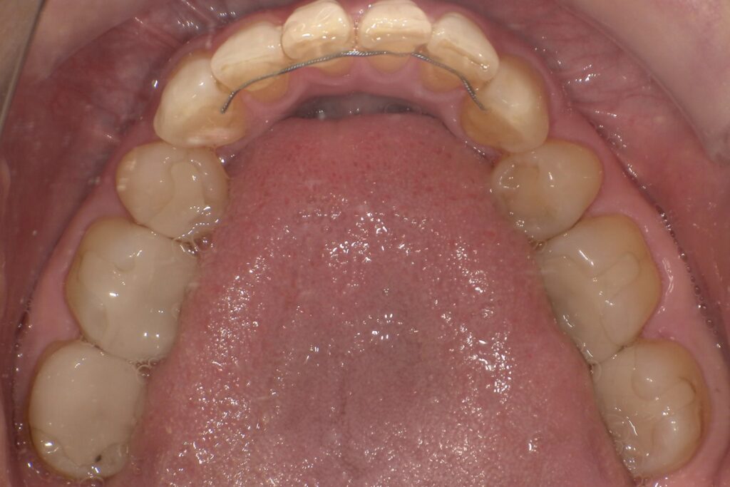
固定式リテーナー(固定保定)
前歯の裏側にワイヤーを接着剤で固定するタイプです。
主に下の前歯に使われ、見た目には全くわかりません。
取り外しの必要がないため装着忘れがなく、長期的な保定に有効ですが
歯石がつきやすい、舌に対する違和感、外れてしまった時に気づかない、虫歯になりやすいなどのリスクがあります。

保定期間はどのくらい必要?
保定期間は原則一生続けていくことをお勧めしています。
一般的には約2年程度通院してもらっています。
矯正治療直後の半年~1年間は「最も歯が動きやすい時期」であるため、毎日きちんとリテーナーを使用することが大切です。
特に成人矯正では、あごの成長が止まっていても筋肉や舌の影響で歯列が変化しやすいため、夜間のみの使用を長期間続けることが望ましいとされています。
リテーナーの使用方法と注意点
使用時間の目安(個人差があります)
- 治療直後:1日20時間以上装着(食事と歯磨き以外の時間)
- 3ヶ月~半年:1日12時間~8時間
- 半年以降:就寝時のみ(夜間のみの使用を継続)
飲食について
- 食事の際はリテーナーを外しましょう。
装着したまま食べるとリテーナーに亀裂が入ったり破損の原因になります。
また食べ物のカスが挟まって細菌が繁殖し虫歯の原因になったり、食品に含まれる色素によって変色する可能性があります。 - 飲み物は、糖分の入っていない水であればリテーナーを装着したまま飲んでも問題ありません。
ただし、お茶やコーヒーなどの飲み物はリテーナーの着色の原因になるため外して飲んで下さい。糖分を含む飲み物(ジュース、スポーツドリンクなど)も装置に糖分が残り、虫歯の原因になるため避けて下さい。
※使用時間や終了時期は歯科医師の指示に従いましょう。
リテーナーのお手入れ・保管方法について

リテーナーのお手入れ方法
- リテーナーは毎日洗浄するようにしましょう。
基本的な洗い方は流水下でやわらかい歯ブラシで軽くこすって汚れを落とします。
歯科医院やドラッグストアで、リテーナー専用の洗浄剤(錠剤タイプや粉末タイプ)が売られていますので、週に2~3回は洗浄剤につけておくと臭いや雑菌の繁殖を抑えられます - 歯磨き粉を使って洗わないように注意しましょう。
歯磨き粉には研磨剤が入ったているので、リテーナーの表面に細かい傷をつけてしまう原因になります。傷がつくと雑菌が繁殖しやすくなります。 - お湯で洗浄するのもリテーナーが変形したり劣化する原因になるため、気をつけましょう。
リテーナーの保管方法
- 洗浄したリテーナーはケースに入れて保管するようにしましょう。
ケースに入れずにおくと破損や粉末の原因になります。
テッシュに包んでおく方がいますが、ゴミと間違えて捨ててしまう可能性があるので避けましょう。
保定期間中によくあるトラブル

歯ぐきが痛くなった
その部分だけ器具が強く当たっている可能性があります。早めに歯科医院で相談しましょう。
リテーナーが合わない、外れている、浮いている
装置がフィットとしないと感じたまま装着すると、歯をしっかり固定することができずに
後戻りを起こしてしまうので、気づいた時点ですぐに歯科医院に相談しましょう。
歯が凹凸してきた
歯が後戻りを起こし始めていることになります。
今使っているリテーナーが合っていない場合は作り直す必要があります。
リテーナーが壊れた
リテーナーが壊れてしまったら、すぐに歯科医院に連絡し指示を仰いで下さい。
リテーナーを失くした
失くした時点ですぐに歯科医院に連絡し、再制作の予約をとるようにして下さい。
リテーナーを使わないとどうなる?
リテーナーの使用を怠ると、以下のような問題が起こる可能性があります。
- 前歯が傾いて戻ってしまう
- かみ合わせがズレる
- 口元のバランスが崩れる
- 治療前のような歯並びに戻ることもある(重度な後戻り)
後戻りが進んでしまった場合、再矯正が必要になることもあります。
せっかく時間と費用をかけて整えた歯並びを維持するためにも、リテーナーの使用は非常に重要です。
矯正治療は自由診療のため医院により費用が異なります。
直す範囲によっても金額が異なりますので歯科医院に問い合わせをしていただくことをおすすめします。
まとめ

矯正治療が終わった後も、歯は自然と元の位置に戻ろうとする力が働きます。
この「後戻り」を防ぐために欠かせないのが、リテーナーの使用です。
取り外し式や固定式など種類はさまざまですが、最も大切なのは「継続して使用すること」です。
矯正治療はゴールではなく、保定期間を経て初めて「完成」します。
治療で得られた美しい歯並びを長く保つために、リテーナーを正しく使い、定期的なチェックを受けながら、健康で美しい口元を維持していきましょう。
こちらのブログではこれからも、矯正治療や歯科治療に関する情報を発信していきますので、皆様のお口の健康に少しでも役立てていただけますと幸いです。
山形市での矯正はごとう歯科・矯正歯科クリニック✨🍀
👉ごとう歯科・矯正歯科クリニック公式LINEアカウント:https://lin.ee/UAGDkMQ
小児歯科についてもっと知りたい方はこちら:小児歯科 | ごとう歯科・矯正歯科クリニック


