
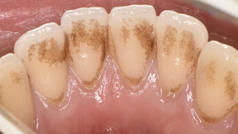
毎日丁寧に歯を磨いているのに、鏡を見ると歯が黄色い。
特に、歯と歯の間や、歯の裏側にこびりついた茶色い汚れが気になって、人前で思い切り笑えない。
あなたは、そんな風に感じていませんか?
その頑固な黄ばみや汚れは、歯磨きだけでは落ちない「着色汚れ(ステイン)」かもしれません。
しかし、諦める必要はありません。
歯科医院で行う「エアーフロー」というクリーニングは、歯を傷つけることなく、その着色汚れを効率的に除去するためのプロの技術です。これは、一般的なホワイトニングとは異なり、あなたの歯本来の白さを取り戻すことに特化しています。
この記事では、エアーフローの仕組みや効果、そしてホワイトニングとの違いを徹底的に解説します。あなたの歯を健康的に、そして美しく保つための新しい選択肢を、ぜひ知ってください。
目次
1. エアーフローとは?知っておきたい3つの基本

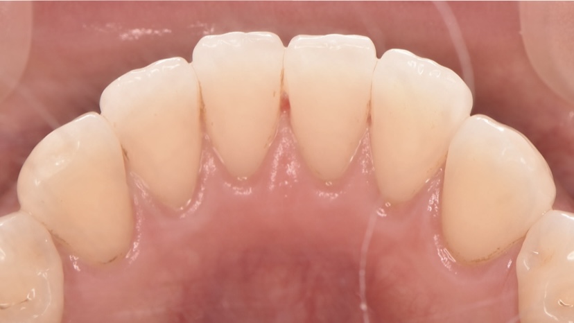
エアーフローとは、歯を傷つけることなく歯の表面の汚れを吹き飛ばす、最新のクリーニング方法です。
特殊な微粒子パウダーと水、空気を組み合わせて噴射し、歯の表面にこびりついた着色や汚れ、細菌の膜(バイオフィルム)を短時間で除去します。
これまでのクリーニングでは落としきれなかった細かな汚れまでしっかり取り除けるため、歯本来のツヤと透明感を取り戻すことができます。
< エアーフローの洗浄メカニズムとは?超微細パウダーと水の力>
エアーフローの最大の特徴は、その洗浄メカニズムにあります。
専用の機器から、超微細なパウダー(エリスリトールやグリシンなど)と水をジェット水流で噴射し、歯の表面に当てて洗浄します。
このパウダーは非常に粒子が細かく、歯を傷つけることなく汚れだけを優しく吹き飛ばします。
また、歯の表面だけでなく、歯と歯の間や歯ぐきの境目、さらには歯周ポケット内部のバイオフィルムにもアプローチできるのが大きな特長です。
これにより、歯ブラシやフロスでは届かない細部まで清掃でき、口腔内全体をより清潔な状態に保つことが可能になります。
<従来のクリーニング(スケーリング)との違いは?>
歯科医院で行われる従来のクリーニング(スケーリング)は、主に歯石(硬くなった汚れ)を除去することを目的としています。
器具や超音波スケーラーを使って歯石を削り取るため、キーンという音や振動を感じることがあり、苦手な方も多いのではないでしょうか。
一方、エアーフローは歯石ではなく、歯の表面に付着した着色汚れやバイオフィルムの除去に特化しています。
歯を削るわけではないため、痛みや不快感がほとんどなく、施術後はツルツルとした爽快感が得られます。
また、従来の方法に比べて施術時間が短く、歯面全体を均一に清掃できるのも魅力です。
当サロンでは、スケーリングとエアーフローを組み合わせて行うことで、歯石と着色の両方をしっかりケアすることができる、プロフェッショナルクリーニングを行っています。
<どんな汚れが落ちて、何が落ちないの?>
エアーフローが得意とするのは、歯の外側に付着した「外来性の着色汚れ」の除去です。
具体的には、以下のような汚れに効果があります。

- ・コーヒーや紅茶などによるステイン
- ・赤ワインのタンニンなど飲み物由来の着色
- ・カレーやチョコレートなど食べ物由来の着色
- ・タバコのヤニなどによる黄ばみ
一方で、次のような歯の内部に原因がある変色は、エアーフローでは改善できません。
- ・加齢による象牙質の黄ばみ
- ・遺伝的に歯が黄色っぽいケース
- ・テトラサイクリン歯(抗生物質による変色)
そのため、エアーフロー『歯を白くする』というよりも、『本来の歯の色を取り戻す』ためのケアです。
歯の内部の色を変えるには、ホワイトニング(薬剤による漂白)が必要になりますが、まずはエアーフローで表面の汚れを落としておくことで、ホワイトニングの効果をより高めることができます。
2. エアーフローとホワイトニングの決定的な違いとは?
エアーフローとホワイトニングは、「歯を白くする」という点で同じように見えますが、その目的とメカニズムは全く異なります。
• エアーフロー: 着色除去(クリーニング)


歯の表面の汚れを物理的に取り除くことで、歯本来の白さを回復させる。例えるなら、汚れたシャツを丁寧に洗濯して綺麗にするイメージです。
• ホワイトニング: 歯の漂白(ブリーチング)


薬剤(過酸化水素など)を使い、歯の内部にある色素を化学的に分解することで、歯そのものを白くする。例えるなら、シャツをブリーチ剤で脱色し、元の色より白くするイメージです。
この違いを理解しておけば、どちらの治療法が自分の悩みに合っているのかを正しく判断できます。
どちらを選ぶべき?
• エアーフロー: 毎日の歯磨きでは落ちない汚れが気になる方、ホワイトニング前の下準備として、または定期的なメンテナンスとして最適です。
• ホワイトニング: 歯の地の色自体を変えたい方、より白い歯を目指したい方に推奨されます。
3. 気持ちいい!エアーフローの6つのメリット
エアーフローは、その快適さと効果の高さから、多くの人々に支持されています。
メリット1:痛みがほとんどない
エアーフローは歯を削ったり、強い圧をかけたりしないため、施術中の痛みはほとんどありません。
麻酔も不要で、リラックスして受けられます。
メリット2:スピーディーな施術
1回の施術は、およそ30分から1時間程度で完了します。忙しい方でも気軽に受けられるのが魅力です。
メリット3:歯を傷つけない
歯の表面のエナメル質よりもはるかに柔らかい超微細なパウダーを使用するため、歯を傷つける心配がありません。歯の健康を保ちながら美しさを追求できます。
メリット4:歯周病・虫歯予防にも
着色汚れやバイオフィルムは、虫歯や歯周病の原因となる細菌の温床です。
これらを徹底的に除去することで、病気のリスクを大幅に下げることができます。
メリット5:口の中がスッキリ爽快
施術後は、歯の表面がツルツルになり、口の中全体が驚くほどスッキリします。
この爽快感は、一度体験するとやみつきになるでしょう。
メリット6:歯ぐきにも優しい
エアーフローは、歯周ポケット内のバイオフィルムも除去できるため、歯周病予防にも効果的です。
歯ぐきへの刺激も少ないため、歯ぐきの健康維持にも役立ちます。
4. 治療計画と費用・頻度
エアーフローは、歯科医院によって提供方法や費用が異なります。
・費用相場: 自費診療の場合、5,000円~15,000円程度が一般的です。
・ 保険適用: 基本的に自費診療となりますが、歯周病治療の一環として行う場合は保険が適用されるケースもあります。詳細はかかりつけの歯科医師にご確認ください。
・施術時間: 30分~60分
・施術頻度: 歯の着色や汚れの付き方によって異なりますが、3ヶ月~半年に一度のペースで受けることをお勧めします。定期的に受けることで、美しい歯を長く維持できます。
5.当サロンのプロフェッショナルクリーニングで歯の本来の美しさを取り戻そう!

当サロンでは、オーガニック素材を使ったプロフェショナルクリーニングで、歯と歯ぐき、舌までしっかりお手入れ出来ます!
施術時間は60~90分で着色や汚れの状況を見て判断します。
施術内容は以下の通りです。
- ・オーガニックアロマリップセラムでリップケア
- ・歯の間の汚れや歯石の除去
- ・エアーフローで表面の着色やバイオフィルムをやさしく除去
- ・専用ペーストで歯の傷を修復しながらトリートメント
- ・歯肉マッサージ、舌ケア、フッ素塗布
中でもエアーフローは、歯と歯のすき間や溝まで届き、歯のツヤと透明感を引き出す注目ケアです。
歯の黄ばみや着色が気になる方も、痛みなくスッキリ!
プロの手で口腔内全体を健康に、美しく保ちましょう。
6. Q&A:エアーフローに関するよくある質問
Q1. 本当に痛くないですか?
ほとんどの患者様が痛みを感じません。汚れの付着度によりパウダーの種類や機械のパワーを変える場合がございますが、基本的にエアーフローは歯を削るのではなく、微細なパウダーを水と空気の力で吹き付けて汚れを飛ばすため、不快感や刺激は最小限に抑えられます。従来の歯石除去のように金属の器具を歯に直接当てることはありません。
ただし、知覚過敏がある方や、歯茎に炎症がある場合は、水やパウダーが当たった際に多少の刺激を感じる場合があります。その場合当サロンでは、機械のパワーや、パウダー量を調整しながら行うなど、不快感を軽減するための工夫をしていますのでご安心ください。
Q2. 1回でどのくらい効果が出ますか?
1回の施術で、歯の表面のコーヒーやタバコによる着色汚れ(ステイン)や虫歯・歯周病の原因となるバイオフィルムは除去できます。施術直後から、歯の表面がツルツルになり、歯本来の自然な白さや明るさを取り戻したことを実感いただけます。特にヤニなどの頑固な汚れにお悩みの方には、大きな変化を感じていただきやすいです。歯を傷つけず、快適に爽快感のある口元へ導きます。効果を長持ちさせるには、3ヶ月~6ヶ月ごとの定期的な施術をおすすめします。
Q3. エアーフローとホワイトニングとどちらを先にやるべきですか?
ホワイトニングを検討している場合は、先にエアーフローを受けることを強くお勧めします。エアーフローは歯の表面に付着した着色汚れ(ステイン)や、プラーク(歯垢)を徹底的に除去するプロのクリーニングです。この汚れが残っていると、その後のホワイトニング剤の浸透を妨げ、効果が低下してしまいます。まずはエアーフローで歯の表面をリセットし、ベストな状態にしてからホワイトニングを行うことで、薬剤が均一に浸透し、より高い漂白効果を得ることができます。
Q4. 歯ぐきから出血しても大丈夫ですか?
多くの場合、ご心配いりません。エアーフローは、基本的に歯茎を傷つけにくいクリーニングですが、施術中に出血が見られる主な原因は、歯茎に炎症があるサインです。特に歯周病や歯肉炎がある場合、施術中に一時的に出血することがあります。しかし、これは歯周ポケット内の細菌の塊(バイオフィルム)が除去されている証拠でもあります。通常、施術後の出血はすぐ止まり、数日後には炎症が落ち着き、引き締まった健康な歯茎へと改善に向かいます。エアーフローは歯周病の改善にも役立ちます。ただし重症の歯周病の場合は他の治療を優先することもございますので、ご相談ください。
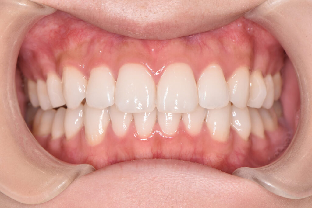
7. まとめ:美しさと健康を両立させる第一歩

歯の黄ばみを「仕方ない」と諦めてしまう前に、エアーフローという選択肢があることを思い出してください。
エアーフローは、単に着色汚れを落とすだけでなく、歯周病や虫歯の予防にも繋がる、歯の健康と美しさを同時に叶える優れたプロフェッショナルケアです。
歯の健康は、日々のケアとプロの定期的なケアの並行して行うことで守られます。ぜひ、信頼できる歯科医院に相談し、歯の専門家によるクリーニングの心地よさを体験してみてください。
あなたの歯本来の白さを取り戻し、自信に満ちた笑顔を手に入れましょう。
こちらのブログではこれからも、矯正治療や歯科治療に関する情報を発信していきますので、皆様のお口の健康に少しでも役立てていただけますと幸いです。
山形市での矯正はごとう歯科・矯正歯科クリニック✨🍀
👉ごとう歯科・矯正歯科クリニック公式LINEアカウント:https://lin.ee/UAGDkMQ
ホワイトニングについてもっと知りたい方はこちら:山形市でホワイトニングならごとう歯科・矯正歯科クリニック|白い歯の治療
過去のおすすめ記事:矯正中は口内炎ができやすくなる?早く治すためのポイントをご紹介 | ごとう歯科・矯正歯科クリニック
【せっかく矯正したのに歯並びがずれてきた😱再矯正できるの?目立たず手軽に歯並びを直す方法】 | ごとう歯科・矯正歯科クリニック
お口の健康を育てるには?家族みんなで季節の食材を取り入れ健康的なお口の中を目指そう! | ごとう歯科・矯正歯科クリニック


